Lecidella stigmatea (Ach.) Hertel & Leuckert
Willdenowia, 5: 375, 1969. Basionym: Lecidea stigmatea Ach. - Lichenogr. Univ.: 10, 1810.
Synonyms: Bacidia biseptata H. Magn.; Bacidia ostrogothica Malme; Biatora arctoides Hellb.; Lecidea arthoniza Nyl.; Lecidea caesiocinerea H. Magn.; Lecidea cinnamomea Flörke ex Hellb.; Lecidea diasemoides Nyl.; Lecidea enteroleuca auct. p.p. non Ach.; Lecidea femerensis Erichsen; Lecidea glabra (Kremp.) Hellb.; Lecidea imitatrix Zahlbr.; Lecidea incongrua (Nyl.) Nyl.; Lecidea prominula Borrer; Lecidea restricta Stirt.; Lecidea sabuletorum var. aequata Flörke; Lecidea subcongrua Nyl. non sensu Vain.; Lecidea subsequens Nyl.; Lecidea vulgata var. ferruginea H. Magn.; Lecidea vulgata Zahlbr. nom. illegit.; Lecidella aequata (Flörke) Kremp.; Lecidella glabra Kremp.; Lecidella incongrua (Nyl.) Arnold; Lecidella micacea Körb.; Lecidella vulgata (Zahlbr.) M. Choisy
Distribution: N - VG (Castello 2002, Martellos & Castello 2004, Tretiach & al. 2007b), Frl (Tretiach & Hafellner 2000), Ven (Brackel 2013), TAA (Hertel & Schuhwerk 2010, Nascimbene & al. 2022), Lomb (Valcuvia & al. 2003, De Vita & Valcuvia 2004), Piem (Valcuvia 2002, 2002b, Isocrono & al. 2006), VA (Piervittori & Isocrono 1999, Piervittori & al. 2004, Isocrono & al. 2008, Favero-Longo & Piervittori 2009, Matteucci & al. 2015c), Emil (Nimis & al. 1996, Tretiach & al. 2008, Fariselli & al. 2020), Lig (Valcuvia & al. 2000). C - Tosc, Marc (Nimis & Tretiach 1999), Umb (Panfili 2000b, Ravera & al. 2006), Laz (Genovesi & al. 2011, Brackel 2015), Abr (Nimis & Tretiach 1999), Mol (Garofalo & al. 1999, Nimis & Tretiach 1999, Caporale & al. 2008, Brackel 2020), Sar (Nöske 2000). S - Camp (Garofalo & al. 1999), Pugl (Garofalo & al. 1999), Bas (Nimis & Tretiach 1999), Cal (Nimis & Puntillo 2003, Puntillo 2011), Si (Nimis & al. 1994, Grillo 1998, Grillo & Caniglia 2004, Brackel 2008b, 2008c, Liistro & Cataldo 2011, Ottonello & al. 2011, Puglisi & Cataldo 2019).
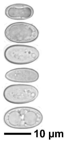
Description: Thallus crustose, very variable, endo- or episubstratic, rarely > 0.5 mm thick, rimose-areolate to verrucose, sometimes poorly evident, dirty white, pale grey or stained brown to rust-red. Cortex sometimes overlain by an up to 15 μm thick epinecral layer; medulla white, I-. Apothecia lecideine, black, sessile and strongly constricted at base, 0.3-1.5(-2) mm across, with a flat to weakly convex disc and a thin, finally often excluded proper margin. Proper exciple up to 130 μm wide laterally, greenish black to greenish brown in outer part, colourless within, without crystals; epithecium bluish green, olivaceous green, violet or brownish, 6-12 μm high, N+ purple; hymenium colourless, 60-85 µm high, not inspersed with oil droplets; paraphyses easily made free in K, mostly simple, rarely anastomosing or branched, 1.5-2 μm thick at mid-level, the apical cells up to 4.5 μm wide; hypothecium colourless to rarely pale straw-coloured. Asci 8-spored, clavate, with an intensely K/I+ blue tholus penetrated by a faintly amyloid, broadly cylindrical axial mass, and a poorly developed ocular chamber, the wall K/I-, surrounded by a K/I+ blue outer layer, approaching the Lecanora-type. Ascospores 1-celled, hyaline, ellipsoid to ovoid, 10-17 x 6-9 µm, with a thick, smooth wall, not halonate. Pycnidia black, globose, semi-immersed. Conidia thread-like, more or less curved, 15-28 x c. 1 µm. Photobiont chlorococcoid. Spot tests: thallus K- or K+ yellow, C- or very rarely C+ orange, KC- or very rarely KC+ orange, P- or P+ pale yellow. Chemistry: different chemotypes: a) atranorin and zeorin, b) lichexanthone, norlichexanthone and zeorin, c) zeorin only.
Note: a widespread holarctic species found on base-rich and more or less calciferous siliceous rocks; the species is morphologically variable and ecologically wide-ranging; it is often found in disturbed habitats, especially on sandstone walls, also within small conurbations, sometimes starting the life-cycle on the thalli of other crustose lichens. For the chemistry see Knoph & Leuckert (1997).
Growth form: Crustose
Substrata: rocks
Photobiont: green algae other than Trentepohlia
Reproductive strategy: mainly sexual
paras (occasionally) of crustose ichens
Commonnes-rarity: (info)
Alpine belt: rather rare
Subalpine belt: rather rare
Oromediterranean belt: rare
Montane belt: rather rare
Submediterranean belt: common
Padanian area: rare
Humid submediterranean belt: common
Humid mediterranean belt: rare
Dry mediterranean belt: extremely rare

Predictive model
Herbarium samples


Pier Luigi Nimis; Owner: Department of Life Sciences, University of Trieste
Italy, Friuli Venezia Giulia, Trieste, Trieste, Via Giorgieri
12/02/2017


Pier Luigi Nimis; Owner: Department of Life Sciences, University of Trieste
Italy, Friuli Venezia Giulia, Trieste, Trieste, Via Giorgieri
12/02/2017


Pier Luigi Nimis; Owner: Department of Life Sciences, University of Trieste
Italy, Friuli Venezia Giulia, Trieste, Trieste, Via Giorgieri
12/02/2017


Felix Schumm – CC BY-SA 4.0
[776], Germany, Baden-Württemberg, Kreis Göppingen, bei Heiningen zwischen Sielenwang und Kornberg, Kalksteine in Steppenheide, ca. 720 m. Leg. et det. Schumm 10.11.1968, vid. Klement 1969.


Felix Schumm – CC BY-SA 4.0
[776], Germany, Baden-Württemberg, Kreis Göppingen, bei Heiningen zwischen Sielenwang und Kornberg, Kalksteine in Steppenheide, ca. 720 m. Leg. et det. Schumm 10.11.1968, vid. Klement 1969.


Felix Schumm – CC BY-SA 4.0
[776], Germany, Baden-Württemberg, Kreis Göppingen, bei Heiningen zwischen Sielenwang und Kornberg, Kalksteine in Steppenheide, ca. 720 m. Leg. et det. Schumm 10.11.1968, vid. Klement 1969.


Felix Schumm CC BY-SA 4.0
[776], Germany, Baden-Württemberg, Kreis Göppingen, bei Heiningen zwischen Sielenwang und Kornberg, Kalksteine in Steppenheide, ca. 720 m. Leg. et det. Schumm 10.11.1968, vid. Klement 1969.


Felix Schumm CC BY-SA 4.0
[776], Germany, Baden-Württemberg, Kreis Göppingen, bei Heiningen zwischen Sielenwang und Kornberg, Kalksteine in Steppenheide, ca. 720 m. Leg. et det. Schumm 10.11.1968, vid. Klement 1969.


Felix Schumm CC BY-SA 4.0
[776], Germany, Baden-Württemberg, Kreis Göppingen, bei Heiningen zwischen Sielenwang und Kornberg, Kalksteine in Steppenheide, ca. 720 m. Leg. et det. Schumm 10.11.1968, vid. Klement 1969.


Felix Schumm CC BY-SA 4.0
[776], Germany, Baden-Württemberg, Kreis Göppingen, bei Heiningen zwischen Sielenwang und Kornberg, Kalksteine in Steppenheide, ca. 720 m. Leg. et det. Schumm 10.11.1968, vid. Klement 1969.


Felix Schumm CC BY-SA 4.0
[776], Germany, Baden-Württemberg, Kreis Göppingen, bei Heiningen zwischen Sielenwang und Kornberg, Kalksteine in Steppenheide, ca. 720 m. Leg. et det. Schumm 10.11.1968, vid. Klement 1969.


Felix Schumm CC BY-SA 4.0
[776], Germany, Baden-Württemberg, Kreis Göppingen, bei Heiningen zwischen Sielenwang und Kornberg, Kalksteine in Steppenheide, ca. 720 m. Leg. et det. Schumm 10.11.1968, vid. Klement 1969.


Felix Schumm CC BY-SA 4.0
[776], Germany, Baden-Württemberg, Kreis Göppingen, bei Heiningen zwischen Sielenwang und Kornberg, Kalksteine in Steppenheide, ca. 720 m. Leg. et det. Schumm 10.11.1968, vid. Klement 1969.


Felix Schumm CC BY-SA 4.0
[776], Germany, Baden-Württemberg, Kreis Göppingen, bei Heiningen zwischen Sielenwang und Kornberg, Kalksteine in Steppenheide, ca. 720 m. Leg. et det. Schumm 10.11.1968, vid. Klement 1969.


Felix Schumm CC BY-SA 4.0
[776], Germany, Baden-Württemberg, Kreis Göppingen, bei Heiningen zwischen Sielenwang und Kornberg, Kalksteine in Steppenheide, ca. 720 m. Leg. et det. Schumm 10.11.1968, vid. Klement 1969.


Felix Schumm CC BY-SA 4.0
[776], Germany, Baden-Württemberg, Kreis Göppingen, bei Heiningen zwischen Sielenwang und Kornberg, Kalksteine in Steppenheide, ca. 720 m. Leg. et det. Schumm 10.11.1968, vid. Klement 1969.


Felix Schumm CC BY-SA 4.0
[776], Germany, Baden-Württemberg, Kreis Göppingen, bei Heiningen zwischen Sielenwang und Kornberg, Kalksteine in Steppenheide, ca. 720 m. Leg. et det. Schumm 10.11.1968, vid. Klement 1969.


Felix Schumm – CC BY-SA 4.0
[776], Germany, Baden-Württemberg, Kreis Göppingen, bei Heiningen zwischen Sielenwang und Kornberg, Kalksteine in Steppenheide, ca. 720 m. Leg. et det. Schumm 10.11.1968, vid. Klement 1969.

Courtesy Danièle et Olivier Gonnet - Source: https://www.afl-lichenologie.fr/Photos_AFL/Photos_AFL_L/Texte_L_4/Lecidella_stigmatea_egenea.htm
France, session AFL 20174 - Pic Sant-Michel - Vercors - Isère
chémomorphotype egenea

Courtesy Danièle et Olivier Gonnet - Source: https://www.afl-lichenologie.fr/Photos_AFL/Photos_AFL_L/Texte_L_4/Lecidella_stigmatea_egenea.htm
France, session AFL 20174 - Pic Sant-Michel - Vercors - Isère
chémomorphotype egenea

Courtesy Danièle et Olivier Gonnet - Source: https://www.afl-lichenologie.fr/Photos_AFL/Photos_AFL_L/Texte_L_3/Lecidella_stigmatea.htm
France, session AFL 2014 - Parc du Mercantour
chémomorphotype micacea

Courtesy Danièle et Olivier Gonnet - Source: https://www.afl-lichenologie.fr/Photos_AFL/Photos_AFL_L/Texte_L_5/Lecidella_stigmatea_stigmatea.htm
France, 25/8/2017 - Thoiry - Ain
chémomorphotype stigmatea

Bernard Bouffinier - Source: http://www.lichensmaritimes.org/index.php?task=fiche&lichen=333&lang=en
France, St. Anne la Palud

Bernard Bouffinier - Source: http://www.lichensmaritimes.org/index.php?task=fiche&lichen=333&lang=en
France, Coadry

Bernard Bouffinier - Source: http://www.lichensmaritimes.org/index.php?task=fiche&lichen=333&lang=en
France, Corse, Calvi

Bernard Bouffinier - Source: http://www.lichensmaritimes.org/index.php?task=fiche&lichen=333&lang=en
France, Crozon

Bernard Bouffinier - Source: http://www.lichensmaritimes.org/index.php?task=fiche&lichen=333&lang=en
France, Lomergat

Bernard Bouffinier - Source: http://www.lichensmaritimes.org/index.php?task=fiche&lichen=333&lang=en
France, Lomergat

Bernard Bouffinier - Source: http://www.lichensmaritimes.org/index.php?task=fiche&lichen=333&lang=en
France, Port Merrien

Bernard Bouffinier - Source: http://www.lichensmaritimes.org/index.php?task=fiche&lichen=333&lang=en
France, Rostudel

Bernard Bouffinier - Source: http://www.lichensmaritimes.org/index.php?task=fiche&lichen=333&lang=en
France, Saint Eloy

Ulrich Kirschbaum CC BY-SA 4.0 - Source: https://www.thm.de/lse/ulrich-kirschbaum/flechtenbilder
Central Europe; Germany: Hesse

Ulrich Kirschbaum CC BY-SA 4.0 - Source: https://www.thm.de/lse/ulrich-kirschbaum/flechtenbilder
Central Europe; Germany: Hesse

Ulrich Kirschbaum CC BY-SA 4.0 - Source: https://www.thm.de/lse/ulrich-kirschbaum/flechtenbilder
Central Europe; Germany: Hesse

Marta González Garcia - Centro de Estudios Micologicos Asturianos
Spain, Puerto de Vegarada (León), 2-VI-2023, en el mortero del Fortín de Otero, construido durante la guerra civil española.

Marta González Garcia - Centro de Estudios Micologicos Asturianos
Spain, Puerto de Vegarada (León), 2-VI-2023, en el mortero del Fortín de Otero, construido durante la guerra civil española.

Marta González Garcia - Centro de Estudios Micologicos Asturianos
Spain, Puerto de Vegarada (León), 2-VI-2023, en el mortero del Fortín de Otero, construido durante la guerra civil española.

Marta González Garcia - Centro de Estudios Micologicos Asturianos
Spain, Puerto de Vegarada (León), 2-VI-2023, en el mortero del Fortín de Otero, construido durante la guerra civil española.

Marta González Garcia - Centro de Estudios Micologicos Asturianos
Spain, Puerto de Vegarada (León), 2-VI-2023, en el mortero del Fortín de Otero, construido durante la guerra civil española.

Marta González Garcia - Centro de Estudios Micologicos Asturianos
Spain, Puerto de Vegarada (León), 2-VI-2023, en el mortero del Fortín de Otero, construido durante la guerra civil española.

Marta González Garcia - Centro de Estudios Micologicos Asturianos
Spain, Puerto de Vegarada (León), 2-VI-2023, en el mortero del Fortín de Otero, construido durante la guerra civil española.


Felix Schumm - CC BY-SA 4.0
[16560], Germany, Baden-Württemberg, Kreis Göppingen, Messelstein
bei Donzdorf, 48,69045° N, 9,83113° E, 750 m. An Kalkfelsen. TK:
3
7324. leg. F. Schumm, 25.07.2010, det. F. Schumm, 01.2011. - Sporen
hyalin, 1-zellig, ca. 15 x 9 μm. Hypothecium hell, Excipulum innen hell
außen grün, K grün bleibend, Epithecium braun, 5 μm, K+ violett,
Hymenium nicht inspers. Paraphysen unverzweigt.


Felix Schumm - CC BY-SA 4.0
[16560], Germany, Baden-Württemberg, Kreis Göppingen, Messelstein
bei Donzdorf, 48,69045° N, 9,83113° E, 750 m. An Kalkfelsen. TK:
3
7324. leg. F. Schumm, 25.07.2010, det. F. Schumm, 01.2011. - Sporen
hyalin, 1-zellig, ca. 15 x 9 μm. Hypothecium hell, Excipulum innen hell
außen grün, K grün bleibend, Epithecium braun, 5 μm, K+ violett,
Hymenium nicht inspers. Paraphysen unverzweigt.


Felix Schumm - CC BY-SA 4.0
[16560], Germany, Baden-Württemberg, Kreis Göppingen, Messelstein
bei Donzdorf, 48,69045° N, 9,83113° E, 750 m. An Kalkfelsen. TK:
3
7324. leg. F. Schumm, 25.07.2010, det. F. Schumm, 01.2011. - Sporen
hyalin, 1-zellig, ca. 15 x 9 μm. Hypothecium hell, Excipulum innen hell
außen grün, K grün bleibend, Epithecium braun, 5 μm, K+ violett,
Hymenium nicht inspers. Paraphysen unverzweigt.


Felix Schumm - CC BY-SA 4.0
[16560], Germany, Baden-Württemberg, Kreis Göppingen, Messelstein
bei Donzdorf, 48,69045° N, 9,83113° E, 750 m. An Kalkfelsen. TK:
3
7324. leg. F. Schumm, 25.07.2010, det. F. Schumm, 01.2011. - Sporen
hyalin, 1-zellig, ca. 15 x 9 μm. Hypothecium hell, Excipulum innen hell
außen grün, K grün bleibend, Epithecium braun, 5 μm, K+ violett,
Hymenium nicht inspers. Paraphysen unverzweigt.


Felix Schumm - CC BY-SA 4.0
[16560], Germany, Baden-Württemberg, Kreis Göppingen, Messelstein
bei Donzdorf, 48,69045° N, 9,83113° E, 750 m. An Kalkfelsen. TK:
3
7324. leg. F. Schumm, 25.07.2010, det. F. Schumm, 01.2011. - Sporen
hyalin, 1-zellig, ca. 15 x 9 μm. Hypothecium hell, Excipulum innen hell
außen grün, K grün bleibend, Epithecium braun, 5 μm, K+ violett,
Hymenium nicht inspers. Paraphysen unverzweigt.


Felix Schumm - CC BY-SA 4.0
[16560], Germany, Baden-Württemberg, Kreis Göppingen, Messelstein
bei Donzdorf, 48,69045° N, 9,83113° E, 750 m. An Kalkfelsen. TK:
3
7324. leg. F. Schumm, 25.07.2010, det. F. Schumm, 01.2011. - Sporen
hyalin, 1-zellig, ca. 15 x 9 μm. Hypothecium hell, Excipulum innen hell
außen grün, K grün bleibend, Epithecium braun, 5 μm, K+ violett,
Hymenium nicht inspers. Paraphysen unverzweigt.


Felix Schumm - CC BY-SA 4.0
[16560], Germany, Baden-Württemberg, Kreis Göppingen, Messelstein
bei Donzdorf, 48,69045° N, 9,83113° E, 750 m. An Kalkfelsen. TK:
3
7324. leg. F. Schumm, 25.07.2010, det. F. Schumm, 01.2011. - Sporen
hyalin, 1-zellig, ca. 15 x 9 μm. Hypothecium hell, Excipulum innen hell
außen grün, K grün bleibend, Epithecium braun, 5 μm, K+ violett,
Hymenium nicht inspers. Paraphysen unverzweigt.


Felix Schumm - CC BY-SA 4.0
[16560], Germany, Baden-Württemberg, Kreis Göppingen, Messelstein
bei Donzdorf, 48,69045° N, 9,83113° E, 750 m. An Kalkfelsen. TK:
3
7324. leg. F. Schumm, 25.07.2010, det. F. Schumm, 01.2011. - Sporen
hyalin, 1-zellig, ca. 15 x 9 μm. Hypothecium hell, Excipulum innen hell
außen grün, K grün bleibend, Epithecium braun, 5 μm, K+ violett,
Hymenium nicht inspers. Paraphysen unverzweigt.


Felix Schumm - CC BY-SA 4.0
[16560], Germany, Baden-Württemberg, Kreis Göppingen, Messelstein
bei Donzdorf, 48,69045° N, 9,83113° E, 750 m. An Kalkfelsen. TK:
3
7324. leg. F. Schumm, 25.07.2010, det. F. Schumm, 01.2011. - Sporen
hyalin, 1-zellig, ca. 15 x 9 μm. Hypothecium hell, Excipulum innen hell
außen grün, K grün bleibend, Epithecium braun, 5 μm, K+ violett,
Hymenium nicht inspers. Paraphysen unverzweigt.


Felix Schumm - CC BY-SA 4.0
[16560], Germany, Baden-Württemberg, Kreis Göppingen, Messelstein
bei Donzdorf, 48,69045° N, 9,83113° E, 750 m. An Kalkfelsen. TK:
3
7324. leg. F. Schumm, 25.07.2010, det. F. Schumm, 01.2011. - Sporen
hyalin, 1-zellig, ca. 15 x 9 μm. Hypothecium hell, Excipulum innen hell
außen grün, K grün bleibend, Epithecium braun, 5 μm, K+ violett,
Hymenium nicht inspers. Paraphysen unverzweigt.


Felix Schumm - CC BY-SA 4.0
[16560], Germany, Baden-Württemberg, Kreis Göppingen, Messelstein
bei Donzdorf, 48,69045° N, 9,83113° E, 750 m. An Kalkfelsen. TK:
3
7324. leg. F. Schumm, 25.07.2010, det. F. Schumm, 01.2011. - Sporen
hyalin, 1-zellig, ca. 15 x 9 μm. Hypothecium hell, Excipulum innen hell
außen grün, K grün bleibend, Epithecium braun, 5 μm, K+ violett,
Hymenium nicht inspers. Paraphysen unverzweigt.


Felix Schumm - CC BY-SA 4.0
[16560], Germany, Baden-Württemberg, Kreis Göppingen, Messelstein
bei Donzdorf, 48,69045° N, 9,83113° E, 750 m. An Kalkfelsen. TK:
3
7324. leg. F. Schumm, 25.07.2010, det. F. Schumm, 01.2011. - Sporen
hyalin, 1-zellig, ca. 15 x 9 μm. Hypothecium hell, Excipulum innen hell
außen grün, K grün bleibend, Epithecium braun, 5 μm, K+ violett,
Hymenium nicht inspers. Paraphysen unverzweigt.


Felix Schumm - CC BY-SA 4.0
[16560], Germany, Baden-Württemberg, Kreis Göppingen, Messelstein
bei Donzdorf, 48,69045° N, 9,83113° E, 750 m. An Kalkfelsen. TK:
3
7324. leg. F. Schumm, 25.07.2010, det. F. Schumm, 01.2011. - Sporen
hyalin, 1-zellig, ca. 15 x 9 μm. Hypothecium hell, Excipulum innen hell
außen grün, K grün bleibend, Epithecium braun, 5 μm, K+ violett,
Hymenium nicht inspers. Paraphysen unverzweigt.


Felix Schumm - CC BY-SA 4.0
[16560], Germany, Baden-Württemberg, Kreis Göppingen, Messelstein
bei Donzdorf, 48,69045° N, 9,83113° E, 750 m. An Kalkfelsen. TK:
3
7324. leg. F. Schumm, 25.07.2010, det. F. Schumm, 01.2011. - Sporen
hyalin, 1-zellig, ca. 15 x 9 μm. Hypothecium hell, Excipulum innen hell
außen grün, K grün bleibend, Epithecium braun, 5 μm, K+ violett,
Hymenium nicht inspers. Paraphysen unverzweigt.


Felix Schumm - CC BY-SA 4.0
[16560], Germany, Baden-Württemberg, Kreis Göppingen, Messelstein
bei Donzdorf, 48,69045° N, 9,83113° E, 750 m. An Kalkfelsen. TK:
3
7324. leg. F. Schumm, 25.07.2010, det. F. Schumm, 01.2011. - Sporen
hyalin, 1-zellig, ca. 15 x 9 μm. Hypothecium hell, Excipulum innen hell
außen grün, K grün bleibend, Epithecium braun, 5 μm, K+ violett,
Hymenium nicht inspers. Paraphysen unverzweigt.


Felix Schumm - CC BY-SA 4.0
[16560], Germany, Baden-Württemberg, Kreis Göppingen, Messelstein
bei Donzdorf, 48,69045° N, 9,83113° E, 750 m. An Kalkfelsen. TK:
3
7324. leg. F. Schumm, 25.07.2010, det. F. Schumm, 01.2011. - Sporen
hyalin, 1-zellig, ca. 15 x 9 μm. Hypothecium hell, Excipulum innen hell
außen grün, K grün bleibend, Epithecium braun, 5 μm, K+ violett,
Hymenium nicht inspers. Paraphysen unverzweigt.


Felix Schumm - CC BY-SA 4.0
[16560], Germany, Baden-Württemberg, Kreis Göppingen, Messelstein
bei Donzdorf, 48,69045° N, 9,83113° E, 750 m. An Kalkfelsen. TK:
3
7324. leg. F. Schumm, 25.07.2010, det. F. Schumm, 01.2011. - Sporen
hyalin, 1-zellig, ca. 15 x 9 μm. Hypothecium hell, Excipulum innen hell
außen grün, K grün bleibend, Epithecium braun, 5 μm, K+ violett,
Hymenium nicht inspers. Paraphysen unverzweigt.


Felix Schumm - CC BY-SA 4.0
16587, Germany, Baden-Württemberg, Kreis Reutlingen, 2.5 km
westlich von Münsingen, Altes Lager auf dem ehemaligen Truppenü3
bungsplatz, 48.41935° N, 9.53646° E, 817 m, auf Kalkblock, TK:
7523/3. Leg. F. Schumm, 14.08.2010, det. F. Schumm, 2010. - Sporen
hyalin, 1-zellig, 8/Ascus. Hypothecium und inneres Excipipulum hell,
Paraphysen locker, unverzweigt.


Felix Schumm - CC BY-SA 4.0
16587, Germany, Baden-Württemberg, Kreis Reutlingen, 2.5 km
westlich von Münsingen, Altes Lager auf dem ehemaligen Truppenü3
bungsplatz, 48.41935° N, 9.53646° E, 817 m, auf Kalkblock, TK:
7523/3. Leg. F. Schumm, 14.08.2010, det. F. Schumm, 2010. - Sporen
hyalin, 1-zellig, 8/Ascus. Hypothecium und inneres Excipipulum hell,
Paraphysen locker, unverzweigt.


Felix Schumm - CC BY-SA 4.0
16587, Germany, Baden-Württemberg, Kreis Reutlingen, 2.5 km
westlich von Münsingen, Altes Lager auf dem ehemaligen Truppenü3
bungsplatz, 48.41935° N, 9.53646° E, 817 m, auf Kalkblock, TK:
7523/3. Leg. F. Schumm, 14.08.2010, det. F. Schumm, 2010. - Sporen
hyalin, 1-zellig, 8/Ascus. Hypothecium und inneres Excipipulum hell,
Paraphysen locker, unverzweigt.


Felix Schumm - CC BY-SA 4.0
16587, Germany, Baden-Württemberg, Kreis Reutlingen, 2.5 km
westlich von Münsingen, Altes Lager auf dem ehemaligen Truppenü3
bungsplatz, 48.41935° N, 9.53646° E, 817 m, auf Kalkblock, TK:
7523/3. Leg. F. Schumm, 14.08.2010, det. F. Schumm, 2010. - Sporen
hyalin, 1-zellig, 8/Ascus. Hypothecium und inneres Excipipulum hell,
Paraphysen locker, unverzweigt.


Felix Schumm - CC BY-SA 4.0
16587, Germany, Baden-Württemberg, Kreis Reutlingen, 2.5 km
westlich von Münsingen, Altes Lager auf dem ehemaligen Truppenü3
bungsplatz, 48.41935° N, 9.53646° E, 817 m, auf Kalkblock, TK:
7523/3. Leg. F. Schumm, 14.08.2010, det. F. Schumm, 2010. - Sporen
hyalin, 1-zellig, 8/Ascus. Hypothecium und inneres Excipipulum hell,
Paraphysen locker, unverzweigt.


Felix Schumm - CC BY-SA 4.0
16587, Germany, Baden-Württemberg, Kreis Reutlingen, 2.5 km
westlich von Münsingen, Altes Lager auf dem ehemaligen Truppenü3
bungsplatz, 48.41935° N, 9.53646° E, 817 m, auf Kalkblock, TK:
7523/3. Leg. F. Schumm, 14.08.2010, det. F. Schumm, 2010. - Sporen
hyalin, 1-zellig, 8/Ascus. Hypothecium und inneres Excipipulum hell,
Paraphysen locker, unverzweigt.


Felix Schumm - CC BY-SA 4.0
16587, Germany, Baden-Württemberg, Kreis Reutlingen, 2.5 km
westlich von Münsingen, Altes Lager auf dem ehemaligen Truppenü3
bungsplatz, 48.41935° N, 9.53646° E, 817 m, auf Kalkblock, TK:
7523/3. Leg. F. Schumm, 14.08.2010, det. F. Schumm, 2010. - Sporen
hyalin, 1-zellig, 8/Ascus. Hypothecium und inneres Excipipulum hell,
Paraphysen locker, unverzweigt.


Felix Schumm - CC BY-SA 4.0
16587, Germany, Baden-Württemberg, Kreis Reutlingen, 2.5 km
westlich von Münsingen, Altes Lager auf dem ehemaligen Truppenü3
bungsplatz, 48.41935° N, 9.53646° E, 817 m, auf Kalkblock, TK:
7523/3. Leg. F. Schumm, 14.08.2010, det. F. Schumm, 2010. - Sporen
hyalin, 1-zellig, 8/Ascus. Hypothecium und inneres Excipipulum hell,
Paraphysen locker, unverzweigt.


Felix Schumm - CC BY-SA 4.0
16587, Germany, Baden-Württemberg, Kreis Reutlingen, 2.5 km
westlich von Münsingen, Altes Lager auf dem ehemaligen Truppenü3
bungsplatz, 48.41935° N, 9.53646° E, 817 m, auf Kalkblock, TK:
7523/3. Leg. F. Schumm, 14.08.2010, det. F. Schumm, 2010. - Sporen
hyalin, 1-zellig, 8/Ascus. Hypothecium und inneres Excipipulum hell,
Paraphysen locker, unverzweigt.


Felix Schumm - CC BY-SA 4.0
16587, Germany, Baden-Württemberg, Kreis Reutlingen, 2.5 km
westlich von Münsingen, Altes Lager auf dem ehemaligen Truppenü3
bungsplatz, 48.41935° N, 9.53646° E, 817 m, auf Kalkblock, TK:
7523/3. Leg. F. Schumm, 14.08.2010, det. F. Schumm, 2010. - Sporen
hyalin, 1-zellig, 8/Ascus. Hypothecium und inneres Excipipulum hell,
Paraphysen locker, unverzweigt.


Felix Schumm - CC BY-SA 4.0
16587, Germany, Baden-Württemberg, Kreis Reutlingen, 2.5 km
westlich von Münsingen, Altes Lager auf dem ehemaligen Truppenü3
bungsplatz, 48.41935° N, 9.53646° E, 817 m, auf Kalkblock, TK:
7523/3. Leg. F. Schumm, 14.08.2010, det. F. Schumm, 2010. - Sporen
hyalin, 1-zellig, 8/Ascus. Hypothecium und inneres Excipipulum hell,
Paraphysen locker, unverzweigt.


Felix Schumm - CC BY-SA 4.0
16587, Germany, Baden-Württemberg, Kreis Reutlingen, 2.5 km
westlich von Münsingen, Altes Lager auf dem ehemaligen Truppenü3
bungsplatz, 48.41935° N, 9.53646° E, 817 m, auf Kalkblock, TK:
7523/3. Leg. F. Schumm, 14.08.2010, det. F. Schumm, 2010. - Sporen
hyalin, 1-zellig, 8/Ascus. Hypothecium und inneres Excipipulum hell,
Paraphysen locker, unverzweigt.


Felix Schumm - CC BY-SA 4.0
16587, Germany, Baden-Württemberg, Kreis Reutlingen, 2.5 km
westlich von Münsingen, Altes Lager auf dem ehemaligen Truppenü3
bungsplatz, 48.41935° N, 9.53646° E, 817 m, auf Kalkblock, TK:
7523/3. Leg. F. Schumm, 14.08.2010, det. F. Schumm, 2010. - Sporen
hyalin, 1-zellig, 8/Ascus. Hypothecium und inneres Excipipulum hell,
Paraphysen locker, unverzweigt.


Felix Schumm - CC BY-SA 4.0
16587, Germany, Baden-Württemberg, Kreis Reutlingen, 2.5 km
westlich von Münsingen, Altes Lager auf dem ehemaligen Truppenü3
bungsplatz, 48.41935° N, 9.53646° E, 817 m, auf Kalkblock, TK:
7523/3. Leg. F. Schumm, 14.08.2010, det. F. Schumm, 2010. - Sporen
hyalin, 1-zellig, 8/Ascus. Hypothecium und inneres Excipipulum hell,
Paraphysen locker, unverzweigt.


Felix Schumm - CC BY-SA 4.0
16587, Germany, Baden-Württemberg, Kreis Reutlingen, 2.5 km
westlich von Münsingen, Altes Lager auf dem ehemaligen Truppenü3
bungsplatz, 48.41935° N, 9.53646° E, 817 m, auf Kalkblock, TK:
7523/3. Leg. F. Schumm, 14.08.2010, det. F. Schumm, 2010. - Sporen
hyalin, 1-zellig, 8/Ascus. Hypothecium und inneres Excipipulum hell,
Paraphysen locker, unverzweigt.


Felix Schumm - CC BY-SA 4.0
16587, Germany, Baden-Württemberg, Kreis Reutlingen, 2.5 km
westlich von Münsingen, Altes Lager auf dem ehemaligen Truppenü3
bungsplatz, 48.41935° N, 9.53646° E, 817 m, auf Kalkblock, TK:
7523/3. Leg. F. Schumm, 14.08.2010, det. F. Schumm, 2010. - Sporen
hyalin, 1-zellig, 8/Ascus. Hypothecium und inneres Excipipulum hell,
Paraphysen locker, unverzweigt.


Felix Schumm - CC BY-SA 4.0
16587, Germany, Baden-Württemberg, Kreis Reutlingen, 2.5 km
westlich von Münsingen, Altes Lager auf dem ehemaligen Truppenü3
bungsplatz, 48.41935° N, 9.53646° E, 817 m, auf Kalkblock, TK:
7523/3. Leg. F. Schumm, 14.08.2010, det. F. Schumm, 2010. - Sporen
hyalin, 1-zellig, 8/Ascus. Hypothecium und inneres Excipipulum hell,
Paraphysen locker, unverzweigt.


Felix Schumm - CC BY-SA 4.0
16587, Germany, Baden-Württemberg, Kreis Reutlingen, 2.5 km
westlich von Münsingen, Altes Lager auf dem ehemaligen Truppenü3
bungsplatz, 48.41935° N, 9.53646° E, 817 m, auf Kalkblock, TK:
7523/3. Leg. F. Schumm, 14.08.2010, det. F. Schumm, 2010. - Sporen
hyalin, 1-zellig, 8/Ascus. Hypothecium und inneres Excipipulum hell,
Paraphysen locker, unverzweigt.


Felix Schumm - CC BY-SA 4.0
16587, Germany, Baden-Württemberg, Kreis Reutlingen, 2.5 km
westlich von Münsingen, Altes Lager auf dem ehemaligen Truppenü3
bungsplatz, 48.41935° N, 9.53646° E, 817 m, auf Kalkblock, TK:
7523/3. Leg. F. Schumm, 14.08.2010, det. F. Schumm, 2010. - Sporen
hyalin, 1-zellig, 8/Ascus. Hypothecium und inneres Excipipulum hell,
Paraphysen locker, unverzweigt.


Felix Schumm - CC BY-SA 4.0
16587, Germany, Baden-Württemberg, Kreis Reutlingen, 2.5 km
westlich von Münsingen, Altes Lager auf dem ehemaligen Truppenü3
bungsplatz, 48.41935° N, 9.53646° E, 817 m, auf Kalkblock, TK:
7523/3. Leg. F. Schumm, 14.08.2010, det. F. Schumm, 2010. - Sporen
hyalin, 1-zellig, 8/Ascus. Hypothecium und inneres Excipipulum hell,
Paraphysen locker, unverzweigt.
Growth form: Crustose
Substrata: rocks
Photobiont: green algae other than Trentepohlia
Reproductive strategy: mainly sexual
paras (occasionally) of crustose ichens
Commonnes-rarity: (info)
Alpine belt: rather rare
Subalpine belt: rather rare
Oromediterranean belt: rare
Montane belt: rather rare
Submediterranean belt: common
Padanian area: rare
Humid submediterranean belt: common
Humid mediterranean belt: rare
Dry mediterranean belt: extremely rare

Predictive model
| Herbarium samples |

Pier Luigi Nimis; Owner: Department of Life Sciences, University of Trieste
Italy, Friuli Venezia Giulia, Trieste, Trieste, Via Giorgieri
12/02/2017

Pier Luigi Nimis; Owner: Department of Life Sciences, University of Trieste
Italy, Friuli Venezia Giulia, Trieste, Trieste, Via Giorgieri
12/02/2017

Pier Luigi Nimis; Owner: Department of Life Sciences, University of Trieste
Italy, Friuli Venezia Giulia, Trieste, Trieste, Via Giorgieri
12/02/2017

Felix Schumm – CC BY-SA 4.0
[776], Germany, Baden-Württemberg, Kreis Göppingen, bei Heiningen zwischen Sielenwang und Kornberg, Kalksteine in Steppenheide, ca. 720 m. Leg. et det. Schumm 10.11.1968, vid. Klement 1969.

Felix Schumm – CC BY-SA 4.0
[776], Germany, Baden-Württemberg, Kreis Göppingen, bei Heiningen zwischen Sielenwang und Kornberg, Kalksteine in Steppenheide, ca. 720 m. Leg. et det. Schumm 10.11.1968, vid. Klement 1969.

Felix Schumm – CC BY-SA 4.0
[776], Germany, Baden-Württemberg, Kreis Göppingen, bei Heiningen zwischen Sielenwang und Kornberg, Kalksteine in Steppenheide, ca. 720 m. Leg. et det. Schumm 10.11.1968, vid. Klement 1969.

Felix Schumm CC BY-SA 4.0
[776], Germany, Baden-Württemberg, Kreis Göppingen, bei Heiningen zwischen Sielenwang und Kornberg, Kalksteine in Steppenheide, ca. 720 m. Leg. et det. Schumm 10.11.1968, vid. Klement 1969.

Felix Schumm CC BY-SA 4.0
[776], Germany, Baden-Württemberg, Kreis Göppingen, bei Heiningen zwischen Sielenwang und Kornberg, Kalksteine in Steppenheide, ca. 720 m. Leg. et det. Schumm 10.11.1968, vid. Klement 1969.

Felix Schumm CC BY-SA 4.0
[776], Germany, Baden-Württemberg, Kreis Göppingen, bei Heiningen zwischen Sielenwang und Kornberg, Kalksteine in Steppenheide, ca. 720 m. Leg. et det. Schumm 10.11.1968, vid. Klement 1969.

Felix Schumm CC BY-SA 4.0
[776], Germany, Baden-Württemberg, Kreis Göppingen, bei Heiningen zwischen Sielenwang und Kornberg, Kalksteine in Steppenheide, ca. 720 m. Leg. et det. Schumm 10.11.1968, vid. Klement 1969.

Felix Schumm CC BY-SA 4.0
[776], Germany, Baden-Württemberg, Kreis Göppingen, bei Heiningen zwischen Sielenwang und Kornberg, Kalksteine in Steppenheide, ca. 720 m. Leg. et det. Schumm 10.11.1968, vid. Klement 1969.

Felix Schumm CC BY-SA 4.0
[776], Germany, Baden-Württemberg, Kreis Göppingen, bei Heiningen zwischen Sielenwang und Kornberg, Kalksteine in Steppenheide, ca. 720 m. Leg. et det. Schumm 10.11.1968, vid. Klement 1969.

Felix Schumm CC BY-SA 4.0
[776], Germany, Baden-Württemberg, Kreis Göppingen, bei Heiningen zwischen Sielenwang und Kornberg, Kalksteine in Steppenheide, ca. 720 m. Leg. et det. Schumm 10.11.1968, vid. Klement 1969.

Felix Schumm CC BY-SA 4.0
[776], Germany, Baden-Württemberg, Kreis Göppingen, bei Heiningen zwischen Sielenwang und Kornberg, Kalksteine in Steppenheide, ca. 720 m. Leg. et det. Schumm 10.11.1968, vid. Klement 1969.

Felix Schumm CC BY-SA 4.0
[776], Germany, Baden-Württemberg, Kreis Göppingen, bei Heiningen zwischen Sielenwang und Kornberg, Kalksteine in Steppenheide, ca. 720 m. Leg. et det. Schumm 10.11.1968, vid. Klement 1969.

Felix Schumm CC BY-SA 4.0
[776], Germany, Baden-Württemberg, Kreis Göppingen, bei Heiningen zwischen Sielenwang und Kornberg, Kalksteine in Steppenheide, ca. 720 m. Leg. et det. Schumm 10.11.1968, vid. Klement 1969.

Felix Schumm CC BY-SA 4.0
[776], Germany, Baden-Württemberg, Kreis Göppingen, bei Heiningen zwischen Sielenwang und Kornberg, Kalksteine in Steppenheide, ca. 720 m. Leg. et det. Schumm 10.11.1968, vid. Klement 1969.

Felix Schumm – CC BY-SA 4.0
[776], Germany, Baden-Württemberg, Kreis Göppingen, bei Heiningen zwischen Sielenwang und Kornberg, Kalksteine in Steppenheide, ca. 720 m. Leg. et det. Schumm 10.11.1968, vid. Klement 1969.
Courtesy Danièle et Olivier Gonnet - Source: https://www.afl-lichenologie.fr/Photos_AFL/Photos_AFL_L/Texte_L_4/Lecidella_stigmatea_egenea.htm
France, session AFL 20174 - Pic Sant-Michel - Vercors - Isère
chémomorphotype egenea
Courtesy Danièle et Olivier Gonnet - Source: https://www.afl-lichenologie.fr/Photos_AFL/Photos_AFL_L/Texte_L_4/Lecidella_stigmatea_egenea.htm
France, session AFL 20174 - Pic Sant-Michel - Vercors - Isère
chémomorphotype egenea
Courtesy Danièle et Olivier Gonnet - Source: https://www.afl-lichenologie.fr/Photos_AFL/Photos_AFL_L/Texte_L_3/Lecidella_stigmatea.htm
France, session AFL 2014 - Parc du Mercantour
chémomorphotype micacea
Courtesy Danièle et Olivier Gonnet - Source: https://www.afl-lichenologie.fr/Photos_AFL/Photos_AFL_L/Texte_L_5/Lecidella_stigmatea_stigmatea.htm
France, 25/8/2017 - Thoiry - Ain
chémomorphotype stigmatea
Bernard Bouffinier - Source: http://www.lichensmaritimes.org/index.php?task=fiche&lichen=333&lang=en
France, St. Anne la Palud
Bernard Bouffinier - Source: http://www.lichensmaritimes.org/index.php?task=fiche&lichen=333&lang=en
France, Coadry
Bernard Bouffinier - Source: http://www.lichensmaritimes.org/index.php?task=fiche&lichen=333&lang=en
France, Corse, Calvi
Bernard Bouffinier - Source: http://www.lichensmaritimes.org/index.php?task=fiche&lichen=333&lang=en
France, Crozon
Bernard Bouffinier - Source: http://www.lichensmaritimes.org/index.php?task=fiche&lichen=333&lang=en
France, Lomergat
Bernard Bouffinier - Source: http://www.lichensmaritimes.org/index.php?task=fiche&lichen=333&lang=en
France, Lomergat
Bernard Bouffinier - Source: http://www.lichensmaritimes.org/index.php?task=fiche&lichen=333&lang=en
France, Port Merrien
Bernard Bouffinier - Source: http://www.lichensmaritimes.org/index.php?task=fiche&lichen=333&lang=en
France, Rostudel
Bernard Bouffinier - Source: http://www.lichensmaritimes.org/index.php?task=fiche&lichen=333&lang=en
France, Saint Eloy
Ulrich Kirschbaum CC BY-SA 4.0 - Source: https://www.thm.de/lse/ulrich-kirschbaum/flechtenbilder
Central Europe; Germany: Hesse
Ulrich Kirschbaum CC BY-SA 4.0 - Source: https://www.thm.de/lse/ulrich-kirschbaum/flechtenbilder
Central Europe; Germany: Hesse
Ulrich Kirschbaum CC BY-SA 4.0 - Source: https://www.thm.de/lse/ulrich-kirschbaum/flechtenbilder
Central Europe; Germany: Hesse
Marta González Garcia - Centro de Estudios Micologicos Asturianos
Spain, Puerto de Vegarada (León), 2-VI-2023, en el mortero del Fortín de Otero, construido durante la guerra civil española.
Marta González Garcia - Centro de Estudios Micologicos Asturianos
Spain, Puerto de Vegarada (León), 2-VI-2023, en el mortero del Fortín de Otero, construido durante la guerra civil española.
Marta González Garcia - Centro de Estudios Micologicos Asturianos
Spain, Puerto de Vegarada (León), 2-VI-2023, en el mortero del Fortín de Otero, construido durante la guerra civil española.
Marta González Garcia - Centro de Estudios Micologicos Asturianos
Spain, Puerto de Vegarada (León), 2-VI-2023, en el mortero del Fortín de Otero, construido durante la guerra civil española.
Marta González Garcia - Centro de Estudios Micologicos Asturianos
Spain, Puerto de Vegarada (León), 2-VI-2023, en el mortero del Fortín de Otero, construido durante la guerra civil española.
Marta González Garcia - Centro de Estudios Micologicos Asturianos
Spain, Puerto de Vegarada (León), 2-VI-2023, en el mortero del Fortín de Otero, construido durante la guerra civil española.
Marta González Garcia - Centro de Estudios Micologicos Asturianos
Spain, Puerto de Vegarada (León), 2-VI-2023, en el mortero del Fortín de Otero, construido durante la guerra civil española.

Felix Schumm - CC BY-SA 4.0
[16560], Germany, Baden-Württemberg, Kreis Göppingen, Messelstein bei Donzdorf, 48,69045° N, 9,83113° E, 750 m. An Kalkfelsen. TK: 3 7324. leg. F. Schumm, 25.07.2010, det. F. Schumm, 01.2011. - Sporen hyalin, 1-zellig, ca. 15 x 9 μm. Hypothecium hell, Excipulum innen hell außen grün, K grün bleibend, Epithecium braun, 5 μm, K+ violett, Hymenium nicht inspers. Paraphysen unverzweigt.

Felix Schumm - CC BY-SA 4.0
[16560], Germany, Baden-Württemberg, Kreis Göppingen, Messelstein bei Donzdorf, 48,69045° N, 9,83113° E, 750 m. An Kalkfelsen. TK: 3 7324. leg. F. Schumm, 25.07.2010, det. F. Schumm, 01.2011. - Sporen hyalin, 1-zellig, ca. 15 x 9 μm. Hypothecium hell, Excipulum innen hell außen grün, K grün bleibend, Epithecium braun, 5 μm, K+ violett, Hymenium nicht inspers. Paraphysen unverzweigt.

Felix Schumm - CC BY-SA 4.0
[16560], Germany, Baden-Württemberg, Kreis Göppingen, Messelstein bei Donzdorf, 48,69045° N, 9,83113° E, 750 m. An Kalkfelsen. TK: 3 7324. leg. F. Schumm, 25.07.2010, det. F. Schumm, 01.2011. - Sporen hyalin, 1-zellig, ca. 15 x 9 μm. Hypothecium hell, Excipulum innen hell außen grün, K grün bleibend, Epithecium braun, 5 μm, K+ violett, Hymenium nicht inspers. Paraphysen unverzweigt.

Felix Schumm - CC BY-SA 4.0
[16560], Germany, Baden-Württemberg, Kreis Göppingen, Messelstein bei Donzdorf, 48,69045° N, 9,83113° E, 750 m. An Kalkfelsen. TK: 3 7324. leg. F. Schumm, 25.07.2010, det. F. Schumm, 01.2011. - Sporen hyalin, 1-zellig, ca. 15 x 9 μm. Hypothecium hell, Excipulum innen hell außen grün, K grün bleibend, Epithecium braun, 5 μm, K+ violett, Hymenium nicht inspers. Paraphysen unverzweigt.

Felix Schumm - CC BY-SA 4.0
[16560], Germany, Baden-Württemberg, Kreis Göppingen, Messelstein bei Donzdorf, 48,69045° N, 9,83113° E, 750 m. An Kalkfelsen. TK: 3 7324. leg. F. Schumm, 25.07.2010, det. F. Schumm, 01.2011. - Sporen hyalin, 1-zellig, ca. 15 x 9 μm. Hypothecium hell, Excipulum innen hell außen grün, K grün bleibend, Epithecium braun, 5 μm, K+ violett, Hymenium nicht inspers. Paraphysen unverzweigt.

Felix Schumm - CC BY-SA 4.0
[16560], Germany, Baden-Württemberg, Kreis Göppingen, Messelstein bei Donzdorf, 48,69045° N, 9,83113° E, 750 m. An Kalkfelsen. TK: 3 7324. leg. F. Schumm, 25.07.2010, det. F. Schumm, 01.2011. - Sporen hyalin, 1-zellig, ca. 15 x 9 μm. Hypothecium hell, Excipulum innen hell außen grün, K grün bleibend, Epithecium braun, 5 μm, K+ violett, Hymenium nicht inspers. Paraphysen unverzweigt.

Felix Schumm - CC BY-SA 4.0
[16560], Germany, Baden-Württemberg, Kreis Göppingen, Messelstein bei Donzdorf, 48,69045° N, 9,83113° E, 750 m. An Kalkfelsen. TK: 3 7324. leg. F. Schumm, 25.07.2010, det. F. Schumm, 01.2011. - Sporen hyalin, 1-zellig, ca. 15 x 9 μm. Hypothecium hell, Excipulum innen hell außen grün, K grün bleibend, Epithecium braun, 5 μm, K+ violett, Hymenium nicht inspers. Paraphysen unverzweigt.

Felix Schumm - CC BY-SA 4.0
[16560], Germany, Baden-Württemberg, Kreis Göppingen, Messelstein bei Donzdorf, 48,69045° N, 9,83113° E, 750 m. An Kalkfelsen. TK: 3 7324. leg. F. Schumm, 25.07.2010, det. F. Schumm, 01.2011. - Sporen hyalin, 1-zellig, ca. 15 x 9 μm. Hypothecium hell, Excipulum innen hell außen grün, K grün bleibend, Epithecium braun, 5 μm, K+ violett, Hymenium nicht inspers. Paraphysen unverzweigt.

Felix Schumm - CC BY-SA 4.0
[16560], Germany, Baden-Württemberg, Kreis Göppingen, Messelstein bei Donzdorf, 48,69045° N, 9,83113° E, 750 m. An Kalkfelsen. TK: 3 7324. leg. F. Schumm, 25.07.2010, det. F. Schumm, 01.2011. - Sporen hyalin, 1-zellig, ca. 15 x 9 μm. Hypothecium hell, Excipulum innen hell außen grün, K grün bleibend, Epithecium braun, 5 μm, K+ violett, Hymenium nicht inspers. Paraphysen unverzweigt.

Felix Schumm - CC BY-SA 4.0
[16560], Germany, Baden-Württemberg, Kreis Göppingen, Messelstein bei Donzdorf, 48,69045° N, 9,83113° E, 750 m. An Kalkfelsen. TK: 3 7324. leg. F. Schumm, 25.07.2010, det. F. Schumm, 01.2011. - Sporen hyalin, 1-zellig, ca. 15 x 9 μm. Hypothecium hell, Excipulum innen hell außen grün, K grün bleibend, Epithecium braun, 5 μm, K+ violett, Hymenium nicht inspers. Paraphysen unverzweigt.

Felix Schumm - CC BY-SA 4.0
[16560], Germany, Baden-Württemberg, Kreis Göppingen, Messelstein bei Donzdorf, 48,69045° N, 9,83113° E, 750 m. An Kalkfelsen. TK: 3 7324. leg. F. Schumm, 25.07.2010, det. F. Schumm, 01.2011. - Sporen hyalin, 1-zellig, ca. 15 x 9 μm. Hypothecium hell, Excipulum innen hell außen grün, K grün bleibend, Epithecium braun, 5 μm, K+ violett, Hymenium nicht inspers. Paraphysen unverzweigt.

Felix Schumm - CC BY-SA 4.0
[16560], Germany, Baden-Württemberg, Kreis Göppingen, Messelstein bei Donzdorf, 48,69045° N, 9,83113° E, 750 m. An Kalkfelsen. TK: 3 7324. leg. F. Schumm, 25.07.2010, det. F. Schumm, 01.2011. - Sporen hyalin, 1-zellig, ca. 15 x 9 μm. Hypothecium hell, Excipulum innen hell außen grün, K grün bleibend, Epithecium braun, 5 μm, K+ violett, Hymenium nicht inspers. Paraphysen unverzweigt.

Felix Schumm - CC BY-SA 4.0
[16560], Germany, Baden-Württemberg, Kreis Göppingen, Messelstein bei Donzdorf, 48,69045° N, 9,83113° E, 750 m. An Kalkfelsen. TK: 3 7324. leg. F. Schumm, 25.07.2010, det. F. Schumm, 01.2011. - Sporen hyalin, 1-zellig, ca. 15 x 9 μm. Hypothecium hell, Excipulum innen hell außen grün, K grün bleibend, Epithecium braun, 5 μm, K+ violett, Hymenium nicht inspers. Paraphysen unverzweigt.

Felix Schumm - CC BY-SA 4.0
[16560], Germany, Baden-Württemberg, Kreis Göppingen, Messelstein bei Donzdorf, 48,69045° N, 9,83113° E, 750 m. An Kalkfelsen. TK: 3 7324. leg. F. Schumm, 25.07.2010, det. F. Schumm, 01.2011. - Sporen hyalin, 1-zellig, ca. 15 x 9 μm. Hypothecium hell, Excipulum innen hell außen grün, K grün bleibend, Epithecium braun, 5 μm, K+ violett, Hymenium nicht inspers. Paraphysen unverzweigt.

Felix Schumm - CC BY-SA 4.0
[16560], Germany, Baden-Württemberg, Kreis Göppingen, Messelstein bei Donzdorf, 48,69045° N, 9,83113° E, 750 m. An Kalkfelsen. TK: 3 7324. leg. F. Schumm, 25.07.2010, det. F. Schumm, 01.2011. - Sporen hyalin, 1-zellig, ca. 15 x 9 μm. Hypothecium hell, Excipulum innen hell außen grün, K grün bleibend, Epithecium braun, 5 μm, K+ violett, Hymenium nicht inspers. Paraphysen unverzweigt.

Felix Schumm - CC BY-SA 4.0
[16560], Germany, Baden-Württemberg, Kreis Göppingen, Messelstein bei Donzdorf, 48,69045° N, 9,83113° E, 750 m. An Kalkfelsen. TK: 3 7324. leg. F. Schumm, 25.07.2010, det. F. Schumm, 01.2011. - Sporen hyalin, 1-zellig, ca. 15 x 9 μm. Hypothecium hell, Excipulum innen hell außen grün, K grün bleibend, Epithecium braun, 5 μm, K+ violett, Hymenium nicht inspers. Paraphysen unverzweigt.

Felix Schumm - CC BY-SA 4.0
[16560], Germany, Baden-Württemberg, Kreis Göppingen, Messelstein bei Donzdorf, 48,69045° N, 9,83113° E, 750 m. An Kalkfelsen. TK: 3 7324. leg. F. Schumm, 25.07.2010, det. F. Schumm, 01.2011. - Sporen hyalin, 1-zellig, ca. 15 x 9 μm. Hypothecium hell, Excipulum innen hell außen grün, K grün bleibend, Epithecium braun, 5 μm, K+ violett, Hymenium nicht inspers. Paraphysen unverzweigt.

Felix Schumm - CC BY-SA 4.0
16587, Germany, Baden-Württemberg, Kreis Reutlingen, 2.5 km westlich von Münsingen, Altes Lager auf dem ehemaligen Truppenü3 bungsplatz, 48.41935° N, 9.53646° E, 817 m, auf Kalkblock, TK: 7523/3. Leg. F. Schumm, 14.08.2010, det. F. Schumm, 2010. - Sporen hyalin, 1-zellig, 8/Ascus. Hypothecium und inneres Excipipulum hell, Paraphysen locker, unverzweigt.

Felix Schumm - CC BY-SA 4.0
16587, Germany, Baden-Württemberg, Kreis Reutlingen, 2.5 km westlich von Münsingen, Altes Lager auf dem ehemaligen Truppenü3 bungsplatz, 48.41935° N, 9.53646° E, 817 m, auf Kalkblock, TK: 7523/3. Leg. F. Schumm, 14.08.2010, det. F. Schumm, 2010. - Sporen hyalin, 1-zellig, 8/Ascus. Hypothecium und inneres Excipipulum hell, Paraphysen locker, unverzweigt.

Felix Schumm - CC BY-SA 4.0
16587, Germany, Baden-Württemberg, Kreis Reutlingen, 2.5 km westlich von Münsingen, Altes Lager auf dem ehemaligen Truppenü3 bungsplatz, 48.41935° N, 9.53646° E, 817 m, auf Kalkblock, TK: 7523/3. Leg. F. Schumm, 14.08.2010, det. F. Schumm, 2010. - Sporen hyalin, 1-zellig, 8/Ascus. Hypothecium und inneres Excipipulum hell, Paraphysen locker, unverzweigt.

Felix Schumm - CC BY-SA 4.0
16587, Germany, Baden-Württemberg, Kreis Reutlingen, 2.5 km westlich von Münsingen, Altes Lager auf dem ehemaligen Truppenü3 bungsplatz, 48.41935° N, 9.53646° E, 817 m, auf Kalkblock, TK: 7523/3. Leg. F. Schumm, 14.08.2010, det. F. Schumm, 2010. - Sporen hyalin, 1-zellig, 8/Ascus. Hypothecium und inneres Excipipulum hell, Paraphysen locker, unverzweigt.

Felix Schumm - CC BY-SA 4.0
16587, Germany, Baden-Württemberg, Kreis Reutlingen, 2.5 km westlich von Münsingen, Altes Lager auf dem ehemaligen Truppenü3 bungsplatz, 48.41935° N, 9.53646° E, 817 m, auf Kalkblock, TK: 7523/3. Leg. F. Schumm, 14.08.2010, det. F. Schumm, 2010. - Sporen hyalin, 1-zellig, 8/Ascus. Hypothecium und inneres Excipipulum hell, Paraphysen locker, unverzweigt.

Felix Schumm - CC BY-SA 4.0
16587, Germany, Baden-Württemberg, Kreis Reutlingen, 2.5 km westlich von Münsingen, Altes Lager auf dem ehemaligen Truppenü3 bungsplatz, 48.41935° N, 9.53646° E, 817 m, auf Kalkblock, TK: 7523/3. Leg. F. Schumm, 14.08.2010, det. F. Schumm, 2010. - Sporen hyalin, 1-zellig, 8/Ascus. Hypothecium und inneres Excipipulum hell, Paraphysen locker, unverzweigt.

Felix Schumm - CC BY-SA 4.0
16587, Germany, Baden-Württemberg, Kreis Reutlingen, 2.5 km westlich von Münsingen, Altes Lager auf dem ehemaligen Truppenü3 bungsplatz, 48.41935° N, 9.53646° E, 817 m, auf Kalkblock, TK: 7523/3. Leg. F. Schumm, 14.08.2010, det. F. Schumm, 2010. - Sporen hyalin, 1-zellig, 8/Ascus. Hypothecium und inneres Excipipulum hell, Paraphysen locker, unverzweigt.

Felix Schumm - CC BY-SA 4.0
16587, Germany, Baden-Württemberg, Kreis Reutlingen, 2.5 km westlich von Münsingen, Altes Lager auf dem ehemaligen Truppenü3 bungsplatz, 48.41935° N, 9.53646° E, 817 m, auf Kalkblock, TK: 7523/3. Leg. F. Schumm, 14.08.2010, det. F. Schumm, 2010. - Sporen hyalin, 1-zellig, 8/Ascus. Hypothecium und inneres Excipipulum hell, Paraphysen locker, unverzweigt.

Felix Schumm - CC BY-SA 4.0
16587, Germany, Baden-Württemberg, Kreis Reutlingen, 2.5 km westlich von Münsingen, Altes Lager auf dem ehemaligen Truppenü3 bungsplatz, 48.41935° N, 9.53646° E, 817 m, auf Kalkblock, TK: 7523/3. Leg. F. Schumm, 14.08.2010, det. F. Schumm, 2010. - Sporen hyalin, 1-zellig, 8/Ascus. Hypothecium und inneres Excipipulum hell, Paraphysen locker, unverzweigt.

Felix Schumm - CC BY-SA 4.0
16587, Germany, Baden-Württemberg, Kreis Reutlingen, 2.5 km westlich von Münsingen, Altes Lager auf dem ehemaligen Truppenü3 bungsplatz, 48.41935° N, 9.53646° E, 817 m, auf Kalkblock, TK: 7523/3. Leg. F. Schumm, 14.08.2010, det. F. Schumm, 2010. - Sporen hyalin, 1-zellig, 8/Ascus. Hypothecium und inneres Excipipulum hell, Paraphysen locker, unverzweigt.

Felix Schumm - CC BY-SA 4.0
16587, Germany, Baden-Württemberg, Kreis Reutlingen, 2.5 km westlich von Münsingen, Altes Lager auf dem ehemaligen Truppenü3 bungsplatz, 48.41935° N, 9.53646° E, 817 m, auf Kalkblock, TK: 7523/3. Leg. F. Schumm, 14.08.2010, det. F. Schumm, 2010. - Sporen hyalin, 1-zellig, 8/Ascus. Hypothecium und inneres Excipipulum hell, Paraphysen locker, unverzweigt.

Felix Schumm - CC BY-SA 4.0
16587, Germany, Baden-Württemberg, Kreis Reutlingen, 2.5 km westlich von Münsingen, Altes Lager auf dem ehemaligen Truppenü3 bungsplatz, 48.41935° N, 9.53646° E, 817 m, auf Kalkblock, TK: 7523/3. Leg. F. Schumm, 14.08.2010, det. F. Schumm, 2010. - Sporen hyalin, 1-zellig, 8/Ascus. Hypothecium und inneres Excipipulum hell, Paraphysen locker, unverzweigt.

Felix Schumm - CC BY-SA 4.0
16587, Germany, Baden-Württemberg, Kreis Reutlingen, 2.5 km westlich von Münsingen, Altes Lager auf dem ehemaligen Truppenü3 bungsplatz, 48.41935° N, 9.53646° E, 817 m, auf Kalkblock, TK: 7523/3. Leg. F. Schumm, 14.08.2010, det. F. Schumm, 2010. - Sporen hyalin, 1-zellig, 8/Ascus. Hypothecium und inneres Excipipulum hell, Paraphysen locker, unverzweigt.

Felix Schumm - CC BY-SA 4.0
16587, Germany, Baden-Württemberg, Kreis Reutlingen, 2.5 km westlich von Münsingen, Altes Lager auf dem ehemaligen Truppenü3 bungsplatz, 48.41935° N, 9.53646° E, 817 m, auf Kalkblock, TK: 7523/3. Leg. F. Schumm, 14.08.2010, det. F. Schumm, 2010. - Sporen hyalin, 1-zellig, 8/Ascus. Hypothecium und inneres Excipipulum hell, Paraphysen locker, unverzweigt.

Felix Schumm - CC BY-SA 4.0
16587, Germany, Baden-Württemberg, Kreis Reutlingen, 2.5 km westlich von Münsingen, Altes Lager auf dem ehemaligen Truppenü3 bungsplatz, 48.41935° N, 9.53646° E, 817 m, auf Kalkblock, TK: 7523/3. Leg. F. Schumm, 14.08.2010, det. F. Schumm, 2010. - Sporen hyalin, 1-zellig, 8/Ascus. Hypothecium und inneres Excipipulum hell, Paraphysen locker, unverzweigt.

Felix Schumm - CC BY-SA 4.0
16587, Germany, Baden-Württemberg, Kreis Reutlingen, 2.5 km westlich von Münsingen, Altes Lager auf dem ehemaligen Truppenü3 bungsplatz, 48.41935° N, 9.53646° E, 817 m, auf Kalkblock, TK: 7523/3. Leg. F. Schumm, 14.08.2010, det. F. Schumm, 2010. - Sporen hyalin, 1-zellig, 8/Ascus. Hypothecium und inneres Excipipulum hell, Paraphysen locker, unverzweigt.

Felix Schumm - CC BY-SA 4.0
16587, Germany, Baden-Württemberg, Kreis Reutlingen, 2.5 km westlich von Münsingen, Altes Lager auf dem ehemaligen Truppenü3 bungsplatz, 48.41935° N, 9.53646° E, 817 m, auf Kalkblock, TK: 7523/3. Leg. F. Schumm, 14.08.2010, det. F. Schumm, 2010. - Sporen hyalin, 1-zellig, 8/Ascus. Hypothecium und inneres Excipipulum hell, Paraphysen locker, unverzweigt.

Felix Schumm - CC BY-SA 4.0
16587, Germany, Baden-Württemberg, Kreis Reutlingen, 2.5 km westlich von Münsingen, Altes Lager auf dem ehemaligen Truppenü3 bungsplatz, 48.41935° N, 9.53646° E, 817 m, auf Kalkblock, TK: 7523/3. Leg. F. Schumm, 14.08.2010, det. F. Schumm, 2010. - Sporen hyalin, 1-zellig, 8/Ascus. Hypothecium und inneres Excipipulum hell, Paraphysen locker, unverzweigt.

Felix Schumm - CC BY-SA 4.0
16587, Germany, Baden-Württemberg, Kreis Reutlingen, 2.5 km westlich von Münsingen, Altes Lager auf dem ehemaligen Truppenü3 bungsplatz, 48.41935° N, 9.53646° E, 817 m, auf Kalkblock, TK: 7523/3. Leg. F. Schumm, 14.08.2010, det. F. Schumm, 2010. - Sporen hyalin, 1-zellig, 8/Ascus. Hypothecium und inneres Excipipulum hell, Paraphysen locker, unverzweigt.

INDEX FUNGORUM
GBIF
DOLICHENS