Lecidea plana (J. Lahm) Nyl.
Flora, 55: 552, 1872. Basionym: Lecidella plana J. Lahm in Körber - Parerga Lichenol.: 211, 1861.
Synonyms: Catillaria eximia Malme; Catillaria stromatoides H. Magn.; Lecidea enteromorpha (Flot.) Vain.; Lecidea latypea Ach. non auct.
Distribution: N - Ven, TAA (Nascimbene & al. 2022), Lomb, Piem (Isocrono & al. 2004), VA (Piervittori & al. 2001, Matteucci & al. 2015c), Emil (Fariselli & al. 2020). C - Tosc, Sar.
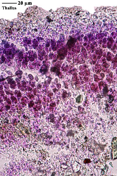
Description: Thallus crustose, endosubstratic or thinly episubstratic, whitish to grey, granular to rarely rimose-areolate, most often inconspicuous, without a distinct prothallus. Medulla white, I-. Apothecia lecideine, black, adnate, often confluent, round or irregular in outline by mutual compression, 0.4-1.5(-1.8) mm across, with a slightly concave to slightly convex, usually epruinose disc and a thin, entire or sinuous, often finally excluded proper margin. Proper exciple green-black to blue green in outer part, yellowish grey and filled with minute crystals within, of radiating, thin-walled, 3-5 µm thick hyphae; epithecium bright green to green-black, intensifying green in K, N+ purple, K-; hymenium colourless, (35-)55-85(-100) μm high; paraphyses coherent, simple or rarely branched, 2-3 µm thick at mid-level, the apical cell 4-5 µm wide, with a dark green cap; hypothecium colourless or pale yellowish brown, of vertically arranged hyphae, 50-80 μm high, I+ blue. Asci 8-spored, clavate, Lecidea-type. Ascospores 1-celled, hyaline, ellipsoid, sometimes pseudodiblastic (containing 2 large oil droplets), (7.5-)8-12(-14) x (2.5-)3.5-4.5 µm. Photobiont chlorococcoid. Spot tests: cortex and medulla K-, C-, KC-, P-, UV-. Chemistry: planaic acid (major), sometimes traces of 4-0-demethylplanaic acid. Note: a circumpolar, arctic-alpine to boreal-montane lichen (Hertel 2006) found on acid siliceous rocks, often on iron-rich substrata, on low boulders
Growth form: Crustose
Substrata: rocks
Photobiont: green algae other than Trentepohlia
Reproductive strategy: mainly sexual
Species of metal-rich rocks
Commonnes-rarity: (info)
Alpine belt: common
Subalpine belt: rather common
Oromediterranean belt: extremely rare
Montane belt: extremely rare
Submediterranean belt: absent
Padanian area: absent
Humid submediterranean belt: absent
Humid mediterranean belt: absent
Dry mediterranean belt: absent

Predictive model
Herbarium samples


Felix Schumm - CC BY-SA 4.0
[20675], Germany, Bayern, Regierungsbezirk Niederbayern, Landkreis
Regen: Bayerischer Wald zwischen Bischofsmais und Habischried; bei
nder Talstation Gaiskopfbahn, an bodennahen Granitfelsen, 850 m,
48°55'52'' N, 13°02'37'' E.. Leg. K. Kalb (Nr. KK42550), 5.10.2002,
det. K. Kalb - TLC: planaic acid (major), anal. K. Kalb.


Felix Schumm - CC BY-SA 4.0
[20637], Österreich, Lungau, Karneralm, 47°29'89'' N, 13°47'22,02''E,
1900 m, auf Silikatgestein. Leg. F. Schumm & U. Schwarz, 2.9.2019,
det. F. Schumm - Thallus grau, K+ gelblich, Mark J+ blau-violett,
Sporen ca. 11.5 x 3.8 μm, Epithecium grünlich-braun, 11.4 μm, Hymenium
70μm, J+ blau, Hypothecium braun. TLC needed.


Felix Schumm - CC BY-SA 4.0
[20637], Österreich, Lungau, Karneralm, 47°29'89'' N, 13°47'22,02''E,
1900 m, auf Silikatgestein. Leg. F. Schumm & U. Schwarz, 2.9.2019,
det. F. Schumm - Thallus grau, K+ gelblich, Mark J+ blau-violett,
Sporen ca. 11.5 x 3.8 μm, Epithecium grünlich-braun, 11.4 μm, Hymenium
70μm, J+ blau, Hypothecium braun. TLC needed.


Felix Schumm - CC BY-SA 4.0
[20637], Österreich, Lungau, Karneralm, 47°29'89'' N, 13°47'22,02''E,
1900 m, auf Silikatgestein. Leg. F. Schumm & U. Schwarz, 2.9.2019,
det. F. Schumm - Thallus grau, K+ gelblich, Mark J+ blau-violett,
Sporen ca. 11.5 x 3.8 μm, Epithecium grünlich-braun, 11.4 μm, Hymenium
70μm, J+ blau, Hypothecium braun. TLC needed.


Felix Schumm - CC BY-SA 4.0
[20637], Österreich, Lungau, Karneralm, 47°29'89'' N, 13°47'22,02''E,
1900 m, auf Silikatgestein. Leg. F. Schumm & U. Schwarz, 2.9.2019,
det. F. Schumm - Thallus grau, K+ gelblich, Mark J+ blau-violett,
Sporen ca. 11.5 x 3.8 μm, Epithecium grünlich-braun, 11.4 μm, Hymenium
70μm, J+ blau, Hypothecium braun. TLC needed.


Felix Schumm - CC BY-SA 4.0
[20637], Österreich, Lungau, Karneralm, 47°29'89'' N, 13°47'22,02''E,
1900 m, auf Silikatgestein. Leg. F. Schumm & U. Schwarz, 2.9.2019,
det. F. Schumm - Thallus grau, K+ gelblich, Mark J+ blau-violett,
Sporen ca. 11.5 x 3.8 μm, Epithecium grünlich-braun, 11.4 μm, Hymenium
70μm, J+ blau, Hypothecium braun. TLC needed.


Felix Schumm - CC BY-SA 4.0
[20637], Österreich, Lungau, Karneralm, 47°29'89'' N, 13°47'22,02''E,
1900 m, auf Silikatgestein. Leg. F. Schumm & U. Schwarz, 2.9.2019,
det. F. Schumm - Thallus grau, K+ gelblich, Mark J+ blau-violett,
Sporen ca. 11.5 x 3.8 μm, Epithecium grünlich-braun, 11.4 μm, Hymenium
70μm, J+ blau, Hypothecium braun. TLC needed.


Felix Schumm - CC BY-SA 4.0
[20637], Österreich, Lungau, Karneralm, 47°29'89'' N, 13°47'22,02''E,
1900 m, auf Silikatgestein. Leg. F. Schumm & U. Schwarz, 2.9.2019,
det. F. Schumm - Thallus grau, K+ gelblich, Mark J+ blau-violett,
Sporen ca. 11.5 x 3.8 μm, Epithecium grünlich-braun, 11.4 μm, Hymenium
70μm, J+ blau, Hypothecium braun. TLC needed.


Felix Schumm - CC BY-SA 4.0
[20637], Österreich, Lungau, Karneralm, 47°29'89'' N, 13°47'22,02''E,
1900 m, auf Silikatgestein. Leg. F. Schumm & U. Schwarz, 2.9.2019,
det. F. Schumm - Thallus grau, K+ gelblich, Mark J+ blau-violett,
Sporen ca. 11.5 x 3.8 μm, Epithecium grünlich-braun, 11.4 μm, Hymenium
70μm, J+ blau, Hypothecium braun. TLC needed.


Felix Schumm - CC BY-SA 4.0
[20637], Österreich, Lungau, Karneralm, 47°29'89'' N, 13°47'22,02''E,
1900 m, auf Silikatgestein. Leg. F. Schumm & U. Schwarz, 2.9.2019,
det. F. Schumm - Thallus grau, K+ gelblich, Mark J+ blau-violett,
Sporen ca. 11.5 x 3.8 μm, Epithecium grünlich-braun, 11.4 μm, Hymenium
70μm, J+ blau, Hypothecium braun. TLC needed.


Felix Schumm - CC BY-SA 4.0
[20637], Österreich, Lungau, Karneralm, 47°29'89'' N, 13°47'22,02''E,
1900 m, auf Silikatgestein. Leg. F. Schumm & U. Schwarz, 2.9.2019,
det. F. Schumm - Thallus grau, K+ gelblich, Mark J+ blau-violett,
Sporen ca. 11.5 x 3.8 μm, Epithecium grünlich-braun, 11.4 μm, Hymenium
70μm, J+ blau, Hypothecium braun. TLC needed.


Felix Schumm - CC BY-SA 4.0
[20637], Österreich, Lungau, Karneralm, 47°29'89'' N, 13°47'22,02''E,
1900 m, auf Silikatgestein. Leg. F. Schumm & U. Schwarz, 2.9.2019,
det. F. Schumm - Thallus grau, K+ gelblich, Mark J+ blau-violett,
Sporen ca. 11.5 x 3.8 μm, Epithecium grünlich-braun, 11.4 μm, Hymenium
70μm, J+ blau, Hypothecium braun. TLC needed.


Felix Schumm - CC BY-SA 4.0
[20637], Österreich, Lungau, Karneralm, 47°29'89'' N, 13°47'22,02''E,
1900 m, auf Silikatgestein. Leg. F. Schumm & U. Schwarz, 2.9.2019,
det. F. Schumm - Thallus grau, K+ gelblich, Mark J+ blau-violett,
Sporen ca. 11.5 x 3.8 μm, Epithecium grünlich-braun, 11.4 μm, Hymenium
70μm, J+ blau, Hypothecium braun. TLC needed.


Felix Schumm - CC BY-SA 4.0
[20637], Österreich, Lungau, Karneralm, 47°29'89'' N, 13°47'22,02''E,
1900 m, auf Silikatgestein. Leg. F. Schumm & U. Schwarz, 2.9.2019,
det. F. Schumm - Thallus grau, K+ gelblich, Mark J+ blau-violett,
Sporen ca. 11.5 x 3.8 μm, Epithecium grünlich-braun, 11.4 μm, Hymenium
70μm, J+ blau, Hypothecium braun. TLC needed.


Felix Schumm - CC BY-SA 4.0
[20637], Österreich, Lungau, Karneralm, 47°29'89'' N, 13°47'22,02''E,
1900 m, auf Silikatgestein. Leg. F. Schumm & U. Schwarz, 2.9.2019,
det. F. Schumm - Thallus grau, K+ gelblich, Mark J+ blau-violett,
Sporen ca. 11.5 x 3.8 μm, Epithecium grünlich-braun, 11.4 μm, Hymenium
70μm, J+ blau, Hypothecium braun. TLC needed.


Felix Schumm - CC BY-SA 4.0
[20637], Österreich, Lungau, Karneralm, 47°29'89'' N, 13°47'22,02''E,
1900 m, auf Silikatgestein. Leg. F. Schumm & U. Schwarz, 2.9.2019,
det. F. Schumm - Thallus grau, K+ gelblich, Mark J+ blau-violett,
Sporen ca. 11.5 x 3.8 μm, Epithecium grünlich-braun, 11.4 μm, Hymenium
70μm, J+ blau, Hypothecium braun. TLC needed.


Felix Schumm - CC BY-SA 4.0
[20675], Germany, Bayern, Regierungsbezirk Niederbayern, Landkreis
Regen: Bayerischer Wald zwischen Bischofsmais und Habischried; bei
nder Talstation Gaiskopfbahn, an bodennahen Granitfelsen, 850 m,
48°55'52'' N, 13°02'37'' E.. Leg. K. Kalb (Nr. KK42550), 5.10.2002,
det. K. Kalb - TLC: planaic acid (major), anal. K. Kalb.


Felix Schumm - CC BY-SA 4.0
[20675], Germany, Bayern, Regierungsbezirk Niederbayern, Landkreis
Regen: Bayerischer Wald zwischen Bischofsmais und Habischried; bei
nder Talstation Gaiskopfbahn, an bodennahen Granitfelsen, 850 m,
48°55'52'' N, 13°02'37'' E.. Leg. K. Kalb (Nr. KK42550), 5.10.2002,
det. K. Kalb - TLC: planaic acid (major), anal. K. Kalb.


Felix Schumm - CC BY-SA 4.0
[20675], Germany, Bayern, Regierungsbezirk Niederbayern, Landkreis
Regen: Bayerischer Wald zwischen Bischofsmais und Habischried; bei
nder Talstation Gaiskopfbahn, an bodennahen Granitfelsen, 850 m,
48°55'52'' N, 13°02'37'' E.. Leg. K. Kalb (Nr. KK42550), 5.10.2002,
det. K. Kalb - TLC: planaic acid (major), anal. K. Kalb.


Felix Schumm - CC BY-SA 4.0
[20675], Germany, Bayern, Regierungsbezirk Niederbayern, Landkreis
Regen: Bayerischer Wald zwischen Bischofsmais und Habischried; bei
nder Talstation Gaiskopfbahn, an bodennahen Granitfelsen, 850 m,
48°55'52'' N, 13°02'37'' E.. Leg. K. Kalb (Nr. KK42550), 5.10.2002,
det. K. Kalb - TLC: planaic acid (major), anal. K. Kalb.


Felix Schumm - CC BY-SA 4.0
[20675], Germany, Bayern, Regierungsbezirk Niederbayern, Landkreis
Regen: Bayerischer Wald zwischen Bischofsmais und Habischried; bei
nder Talstation Gaiskopfbahn, an bodennahen Granitfelsen, 850 m,
48°55'52'' N, 13°02'37'' E.. Leg. K. Kalb (Nr. KK42550), 5.10.2002,
det. K. Kalb - TLC: planaic acid (major), anal. K. Kalb.


Felix Schumm - CC BY-SA 4.0
[20675], Germany, Bayern, Regierungsbezirk Niederbayern, Landkreis
Regen: Bayerischer Wald zwischen Bischofsmais und Habischried; bei
nder Talstation Gaiskopfbahn, an bodennahen Granitfelsen, 850 m,
48°55'52'' N, 13°02'37'' E.. Leg. K. Kalb (Nr. KK42550), 5.10.2002,
det. K. Kalb - TLC: planaic acid (major), anal. K. Kalb.


Felix Schumm - CC BY-SA 4.0
[20675], Germany, Bayern, Regierungsbezirk Niederbayern, Landkreis
Regen: Bayerischer Wald zwischen Bischofsmais und Habischried; bei
nder Talstation Gaiskopfbahn, an bodennahen Granitfelsen, 850 m,
48°55'52'' N, 13°02'37'' E.. Leg. K. Kalb (Nr. KK42550), 5.10.2002,
det. K. Kalb - TLC: planaic acid (major), anal. K. Kalb.


Felix Schumm - CC BY-SA 4.0
[20675], Germany, Bayern, Regierungsbezirk Niederbayern, Landkreis
Regen: Bayerischer Wald zwischen Bischofsmais und Habischried; bei
nder Talstation Gaiskopfbahn, an bodennahen Granitfelsen, 850 m,
48°55'52'' N, 13°02'37'' E.. Leg. K. Kalb (Nr. KK42550), 5.10.2002,
det. K. Kalb - TLC: planaic acid (major), anal. K. Kalb.


Felix Schumm - CC BY-SA 4.0
[20675], Germany, Bayern, Regierungsbezirk Niederbayern, Landkreis
Regen: Bayerischer Wald zwischen Bischofsmais und Habischried; bei
nder Talstation Gaiskopfbahn, an bodennahen Granitfelsen, 850 m,
48°55'52'' N, 13°02'37'' E.. Leg. K. Kalb (Nr. KK42550), 5.10.2002,
det. K. Kalb - TLC: planaic acid (major), anal. K. Kalb.
Growth form: Crustose
Substrata: rocks
Photobiont: green algae other than Trentepohlia
Reproductive strategy: mainly sexual
Species of metal-rich rocks
Commonnes-rarity: (info)
Alpine belt: common
Subalpine belt: rather common
Oromediterranean belt: extremely rare
Montane belt: extremely rare
Submediterranean belt: absent
Padanian area: absent
Humid submediterranean belt: absent
Humid mediterranean belt: absent
Dry mediterranean belt: absent

Predictive model
| Herbarium samples |

Felix Schumm - CC BY-SA 4.0
[20675], Germany, Bayern, Regierungsbezirk Niederbayern, Landkreis Regen: Bayerischer Wald zwischen Bischofsmais und Habischried; bei nder Talstation Gaiskopfbahn, an bodennahen Granitfelsen, 850 m, 48°55'52'' N, 13°02'37'' E.. Leg. K. Kalb (Nr. KK42550), 5.10.2002, det. K. Kalb - TLC: planaic acid (major), anal. K. Kalb.

Felix Schumm - CC BY-SA 4.0
[20637], Österreich, Lungau, Karneralm, 47°29'89'' N, 13°47'22,02''E, 1900 m, auf Silikatgestein. Leg. F. Schumm & U. Schwarz, 2.9.2019, det. F. Schumm - Thallus grau, K+ gelblich, Mark J+ blau-violett, Sporen ca. 11.5 x 3.8 μm, Epithecium grünlich-braun, 11.4 μm, Hymenium 70μm, J+ blau, Hypothecium braun. TLC needed.

Felix Schumm - CC BY-SA 4.0
[20637], Österreich, Lungau, Karneralm, 47°29'89'' N, 13°47'22,02''E, 1900 m, auf Silikatgestein. Leg. F. Schumm & U. Schwarz, 2.9.2019, det. F. Schumm - Thallus grau, K+ gelblich, Mark J+ blau-violett, Sporen ca. 11.5 x 3.8 μm, Epithecium grünlich-braun, 11.4 μm, Hymenium 70μm, J+ blau, Hypothecium braun. TLC needed.

Felix Schumm - CC BY-SA 4.0
[20637], Österreich, Lungau, Karneralm, 47°29'89'' N, 13°47'22,02''E, 1900 m, auf Silikatgestein. Leg. F. Schumm & U. Schwarz, 2.9.2019, det. F. Schumm - Thallus grau, K+ gelblich, Mark J+ blau-violett, Sporen ca. 11.5 x 3.8 μm, Epithecium grünlich-braun, 11.4 μm, Hymenium 70μm, J+ blau, Hypothecium braun. TLC needed.

Felix Schumm - CC BY-SA 4.0
[20637], Österreich, Lungau, Karneralm, 47°29'89'' N, 13°47'22,02''E, 1900 m, auf Silikatgestein. Leg. F. Schumm & U. Schwarz, 2.9.2019, det. F. Schumm - Thallus grau, K+ gelblich, Mark J+ blau-violett, Sporen ca. 11.5 x 3.8 μm, Epithecium grünlich-braun, 11.4 μm, Hymenium 70μm, J+ blau, Hypothecium braun. TLC needed.

Felix Schumm - CC BY-SA 4.0
[20637], Österreich, Lungau, Karneralm, 47°29'89'' N, 13°47'22,02''E, 1900 m, auf Silikatgestein. Leg. F. Schumm & U. Schwarz, 2.9.2019, det. F. Schumm - Thallus grau, K+ gelblich, Mark J+ blau-violett, Sporen ca. 11.5 x 3.8 μm, Epithecium grünlich-braun, 11.4 μm, Hymenium 70μm, J+ blau, Hypothecium braun. TLC needed.

Felix Schumm - CC BY-SA 4.0
[20637], Österreich, Lungau, Karneralm, 47°29'89'' N, 13°47'22,02''E, 1900 m, auf Silikatgestein. Leg. F. Schumm & U. Schwarz, 2.9.2019, det. F. Schumm - Thallus grau, K+ gelblich, Mark J+ blau-violett, Sporen ca. 11.5 x 3.8 μm, Epithecium grünlich-braun, 11.4 μm, Hymenium 70μm, J+ blau, Hypothecium braun. TLC needed.

Felix Schumm - CC BY-SA 4.0
[20637], Österreich, Lungau, Karneralm, 47°29'89'' N, 13°47'22,02''E, 1900 m, auf Silikatgestein. Leg. F. Schumm & U. Schwarz, 2.9.2019, det. F. Schumm - Thallus grau, K+ gelblich, Mark J+ blau-violett, Sporen ca. 11.5 x 3.8 μm, Epithecium grünlich-braun, 11.4 μm, Hymenium 70μm, J+ blau, Hypothecium braun. TLC needed.

Felix Schumm - CC BY-SA 4.0
[20637], Österreich, Lungau, Karneralm, 47°29'89'' N, 13°47'22,02''E, 1900 m, auf Silikatgestein. Leg. F. Schumm & U. Schwarz, 2.9.2019, det. F. Schumm - Thallus grau, K+ gelblich, Mark J+ blau-violett, Sporen ca. 11.5 x 3.8 μm, Epithecium grünlich-braun, 11.4 μm, Hymenium 70μm, J+ blau, Hypothecium braun. TLC needed.

Felix Schumm - CC BY-SA 4.0
[20637], Österreich, Lungau, Karneralm, 47°29'89'' N, 13°47'22,02''E, 1900 m, auf Silikatgestein. Leg. F. Schumm & U. Schwarz, 2.9.2019, det. F. Schumm - Thallus grau, K+ gelblich, Mark J+ blau-violett, Sporen ca. 11.5 x 3.8 μm, Epithecium grünlich-braun, 11.4 μm, Hymenium 70μm, J+ blau, Hypothecium braun. TLC needed.

Felix Schumm - CC BY-SA 4.0
[20637], Österreich, Lungau, Karneralm, 47°29'89'' N, 13°47'22,02''E, 1900 m, auf Silikatgestein. Leg. F. Schumm & U. Schwarz, 2.9.2019, det. F. Schumm - Thallus grau, K+ gelblich, Mark J+ blau-violett, Sporen ca. 11.5 x 3.8 μm, Epithecium grünlich-braun, 11.4 μm, Hymenium 70μm, J+ blau, Hypothecium braun. TLC needed.

Felix Schumm - CC BY-SA 4.0
[20637], Österreich, Lungau, Karneralm, 47°29'89'' N, 13°47'22,02''E, 1900 m, auf Silikatgestein. Leg. F. Schumm & U. Schwarz, 2.9.2019, det. F. Schumm - Thallus grau, K+ gelblich, Mark J+ blau-violett, Sporen ca. 11.5 x 3.8 μm, Epithecium grünlich-braun, 11.4 μm, Hymenium 70μm, J+ blau, Hypothecium braun. TLC needed.

Felix Schumm - CC BY-SA 4.0
[20637], Österreich, Lungau, Karneralm, 47°29'89'' N, 13°47'22,02''E, 1900 m, auf Silikatgestein. Leg. F. Schumm & U. Schwarz, 2.9.2019, det. F. Schumm - Thallus grau, K+ gelblich, Mark J+ blau-violett, Sporen ca. 11.5 x 3.8 μm, Epithecium grünlich-braun, 11.4 μm, Hymenium 70μm, J+ blau, Hypothecium braun. TLC needed.

Felix Schumm - CC BY-SA 4.0
[20637], Österreich, Lungau, Karneralm, 47°29'89'' N, 13°47'22,02''E, 1900 m, auf Silikatgestein. Leg. F. Schumm & U. Schwarz, 2.9.2019, det. F. Schumm - Thallus grau, K+ gelblich, Mark J+ blau-violett, Sporen ca. 11.5 x 3.8 μm, Epithecium grünlich-braun, 11.4 μm, Hymenium 70μm, J+ blau, Hypothecium braun. TLC needed.

Felix Schumm - CC BY-SA 4.0
[20637], Österreich, Lungau, Karneralm, 47°29'89'' N, 13°47'22,02''E, 1900 m, auf Silikatgestein. Leg. F. Schumm & U. Schwarz, 2.9.2019, det. F. Schumm - Thallus grau, K+ gelblich, Mark J+ blau-violett, Sporen ca. 11.5 x 3.8 μm, Epithecium grünlich-braun, 11.4 μm, Hymenium 70μm, J+ blau, Hypothecium braun. TLC needed.

Felix Schumm - CC BY-SA 4.0
[20637], Österreich, Lungau, Karneralm, 47°29'89'' N, 13°47'22,02''E, 1900 m, auf Silikatgestein. Leg. F. Schumm & U. Schwarz, 2.9.2019, det. F. Schumm - Thallus grau, K+ gelblich, Mark J+ blau-violett, Sporen ca. 11.5 x 3.8 μm, Epithecium grünlich-braun, 11.4 μm, Hymenium 70μm, J+ blau, Hypothecium braun. TLC needed.

Felix Schumm - CC BY-SA 4.0
[20675], Germany, Bayern, Regierungsbezirk Niederbayern, Landkreis Regen: Bayerischer Wald zwischen Bischofsmais und Habischried; bei nder Talstation Gaiskopfbahn, an bodennahen Granitfelsen, 850 m, 48°55'52'' N, 13°02'37'' E.. Leg. K. Kalb (Nr. KK42550), 5.10.2002, det. K. Kalb - TLC: planaic acid (major), anal. K. Kalb.

Felix Schumm - CC BY-SA 4.0
[20675], Germany, Bayern, Regierungsbezirk Niederbayern, Landkreis Regen: Bayerischer Wald zwischen Bischofsmais und Habischried; bei nder Talstation Gaiskopfbahn, an bodennahen Granitfelsen, 850 m, 48°55'52'' N, 13°02'37'' E.. Leg. K. Kalb (Nr. KK42550), 5.10.2002, det. K. Kalb - TLC: planaic acid (major), anal. K. Kalb.

Felix Schumm - CC BY-SA 4.0
[20675], Germany, Bayern, Regierungsbezirk Niederbayern, Landkreis Regen: Bayerischer Wald zwischen Bischofsmais und Habischried; bei nder Talstation Gaiskopfbahn, an bodennahen Granitfelsen, 850 m, 48°55'52'' N, 13°02'37'' E.. Leg. K. Kalb (Nr. KK42550), 5.10.2002, det. K. Kalb - TLC: planaic acid (major), anal. K. Kalb.

Felix Schumm - CC BY-SA 4.0
[20675], Germany, Bayern, Regierungsbezirk Niederbayern, Landkreis Regen: Bayerischer Wald zwischen Bischofsmais und Habischried; bei nder Talstation Gaiskopfbahn, an bodennahen Granitfelsen, 850 m, 48°55'52'' N, 13°02'37'' E.. Leg. K. Kalb (Nr. KK42550), 5.10.2002, det. K. Kalb - TLC: planaic acid (major), anal. K. Kalb.

Felix Schumm - CC BY-SA 4.0
[20675], Germany, Bayern, Regierungsbezirk Niederbayern, Landkreis Regen: Bayerischer Wald zwischen Bischofsmais und Habischried; bei nder Talstation Gaiskopfbahn, an bodennahen Granitfelsen, 850 m, 48°55'52'' N, 13°02'37'' E.. Leg. K. Kalb (Nr. KK42550), 5.10.2002, det. K. Kalb - TLC: planaic acid (major), anal. K. Kalb.

Felix Schumm - CC BY-SA 4.0
[20675], Germany, Bayern, Regierungsbezirk Niederbayern, Landkreis Regen: Bayerischer Wald zwischen Bischofsmais und Habischried; bei nder Talstation Gaiskopfbahn, an bodennahen Granitfelsen, 850 m, 48°55'52'' N, 13°02'37'' E.. Leg. K. Kalb (Nr. KK42550), 5.10.2002, det. K. Kalb - TLC: planaic acid (major), anal. K. Kalb.

Felix Schumm - CC BY-SA 4.0
[20675], Germany, Bayern, Regierungsbezirk Niederbayern, Landkreis Regen: Bayerischer Wald zwischen Bischofsmais und Habischried; bei nder Talstation Gaiskopfbahn, an bodennahen Granitfelsen, 850 m, 48°55'52'' N, 13°02'37'' E.. Leg. K. Kalb (Nr. KK42550), 5.10.2002, det. K. Kalb - TLC: planaic acid (major), anal. K. Kalb.

Felix Schumm - CC BY-SA 4.0
[20675], Germany, Bayern, Regierungsbezirk Niederbayern, Landkreis Regen: Bayerischer Wald zwischen Bischofsmais und Habischried; bei nder Talstation Gaiskopfbahn, an bodennahen Granitfelsen, 850 m, 48°55'52'' N, 13°02'37'' E.. Leg. K. Kalb (Nr. KK42550), 5.10.2002, det. K. Kalb - TLC: planaic acid (major), anal. K. Kalb.

INDEX FUNGORUM
GBIF
DOLICHENS