Lecidella elaeochroma (Ach.) M. Choisy var. elaeochroma f. elaeochroma
Bull. Mens. Soc. linn. Lyon, 19: 19, 1950. Basionym: Lecidea parasema var. elaeochroma Ach. - Meth. Lich.: 36, 1803.
Synonyms: Biatora ambigua A. Massal.; Biatora tabescens Körb.; Lecidea achrista (Sommerf.) Britzelm.; Lecidea achristotera Nyl.; Lecidea elaeochroma (Ach.) Ach.; Lecidea enteroleuca var. olivacea (Hoffm.) Fr.; Lecidea limitata auct.; Lecidea olivacea (Hoffm.) A. Massal.; Lecidea parasema auct. p.p. non (Ach.) Ach.; Lecidea parasema var. rugulosa Ach.; Lecidella achristotera (Nyl.) Hertel & Leuckert; Lecidella enteroleuca (Ach.) Körb.; Lecidella olivacea (Hoffm.) Hazsl.
Distribution: N - VG (Castello 1996, 2002, Carvalho 1997, Martellos & Castello 2004, Castello & Skert 2005), Frl (Hinteregger 1994, Badin & Nimis 1996, Castello & Skert 2005, Bernini & al. 2010), Ven (Hinteregger 1994, Nimis & al. 1996c, Nascimbene & Caniglia 1997, 2000b, 2002c, 2003c, 2007, Lazzarin 1997, 2000, 2000b, Caniglia & al. 1999, Valcuvia & al. 2000c, Lazzarin 2000b, Nascimbene 2005c, 2008, 2008c, Thor & Nascimbene 2007, Nascimbene & Marini 2007, 2010, Nascimbene & al. 2008e, 2013b, 2015, Brackel 2013, Watson 2014), TAA (De Benetti & Caniglia 1993, Hinteregger 1994, Nascimbene & Caniglia 2000b, Caniglia & al. 2002, Nascimbene 2003, 2005b, 2006c, 2008b, 2014, Gottardini & al. 2004, Nascimbene & al. 2005, 2006, 2007b, 2014, 2022, Zarabska & al. 2009, Nimis & al. 2015), Lomb (Lecid. Exs. 249: Hertel 1992a, Arosio & Rinaldi 1995, Grieco & Groppali 1995, Valcuvia & Gianatti 1995, Zocchi & al. 1997, Roella 1999, Casarini & al. 2000, Arosio & al. 2000, 2003, Valcuvia & al. 2003, Dalle Vedove & al. 2004, Anderi & al. 2005, Valcuvia & Truzzi 2007b, Furlanetto 2010, Gheza & al. 2015, 2020, 2022b, 2023), Piem (Caniglia & al. 1992, Morisi & Sereno 1995, Arosio & al. 1998, Isocrono & Falletti 1999, Piervittori 2003, Griselli & al. 2000, 2003, Castino 2004, Isocrono & al. 2004, 2005b, 2006, 2007, 2009, Morisi 2005, Isocrono & Piervittori 2008, Furlanetto 2010, Matteucci & al. 2010, Giordani & Malaspina 2016), VA (Piervittori & Maffei 1996, 2001, Piervittori & Isocrono 1997, 1999, Piervittori & al. 2001, Matteucci & al. 2008, 2008c, Ongaro & al. 2022), Emil (Bassi 1995, Gasparo & Tretiach 1996, Nimis & al. 1996, Valcuvia & Grieco 1995, Gasparo & Tretiach 1996, Dalle Vedove & al. 2002, Sallese 2003, Marconi & al. 2006, Morselli & Regazzi 2006, Tretiach & al. 2008, Cioffi 2009, Benesperi 2009, Malavasi 2014, Gerdol & al. 2014, Brackel 2015, Fariselli & al. 2020, Fariselli 2022), Lig (Castello & al. 1994, Brunialti & al. 1999, Putortì & al. 1999b, Valcuvia & al. 2000, Giordani & al. 2001, 2002, 2025, Brunialti & Giordani 2003, Giordani 2006, Giordani & Incerti 2008). C - Tosc (Tretiach & Nimis 1994, Loppi & Corsini 1995, 2003, Loppi & Putortì 1995, 1995b, 2001, Loppi & al. 1994, 1995, 1996b, 1996c, 1997, 1997b, 1997e, 1998, 1998b, 2002, 2002b, 2002c, 2003, 2004, 2004c, 2006, Loppi 1996, 1996b, 1999a, Loppi & De Dominicis 1996, 1996b, Monaci & al. 1997, Loppi & Nascimbene 1998, 2010, Putortì & al. 1998, Putortì & Loppi 1999, 1999b, Tretiach & Ganis 1999, Benesperi 2000a, 2006, 2011, Bacci & al. 2000, Loppi & Pirintsos 2000, Senese & Critelli 2000, Paoli & Loppi 2001, 2008, Laganà & al. 2002, Lorenzini & al. 2003, Loppi & Frati 2004, Frati & al. 2006b, 2007, Benesperi & al. 2007, 2013, Lastrucci & al. 2009, Brunialti & Frati 2010, 2012b, Paoli & al. 2012, 2012b, 2013, 2015d, Brackel 2015, Nascimbene & al. 2015, Frati & Brunialti 2023, Fačkovcová & al. 2024), Marc (Gasparo & al. 1989, Nimis & Tretiach 1999, Frati & Brunialti 2006, Brackel 2015, Pieri & al. 2015), Umb (Ravera 1998, Nimis & Tretiach 1999, Panfili 2000b, 2007, Ravera & al. 2006, Ciotti & al. 2009, Brackel 2015), Laz (Knoph & Schmidt 1995, Bartoli & al. 1997, Ravera & al. 1999, Ravera 2002, 2008b, Massari & Ravera 2002, Nimis & Tretiach 2004, Ruisi & al. 2005, Stofer 2006, Munzi & al. 2007, Ravera & Genovesi 2008, Zucconi & al. 2013, Brackel 2015), Abr (Recchia & al. 1993, Olivieri & Pacioni 1996, Olivieri & al. 1997, 1997b, Loppi & al. 1999, Nimis & Tretiach 1999, Stofer 2006, Brackel 2015, Caporale & al. 2016, Corona & al. 2016, Di Nuzzo & al. 2021, Gheza & al. 2021, Vallese & al. 2022), Mol (Garofalo & al. 1999, Nimis & Tretiach 1999, Caporale & al. 2008, Ravera & al. 2010, Paoli & al. 2011, 2015, Genovesi & Ravera 2014, Brackel 2015, 2020, Caporale & Ravera 2020), Sar (Knoph & Schmidt 1995, Zedda 1995, 2002, 2002b, Loi & al. 2000, Zedda & Sipman 2001, Zedda & al. 2001, Rizzi & al. 2011, Cossu 2013, Neuwirth 2018, Brackel & Berger 2019, Lich. Ital. Exs. 53: Isocrono & al. 2021, Di Nuzzo & al. 2022). S - Camp (Garofalo & al. 1999, 2010, Ricciardi & al. 2000, Aprile & al. 2002, 2003, 2003b, 2011, Nimis & Tretiach 2004, Brunialti & al. 2010, 2013, Catalano & al. 2010, 2012, 2016, Ravera & Brunialti 2013), Pugl (Garofalo & al. 1999, Nimis & Tretiach 1999, Durini & Medagli 2002, 2004, Brackel 2011, Gianfreda & Matino 2020), Bas (Bartoli & Puntillo 1998, Nimis & Tretiach 1999, Potenza 2006, Paoli & al. 2006, Potenza & al. 2010, Brackel 2011, Cassola & al. 2025), Cal (Puntillo 1995, 1996, van den Boom & Giralt 2002, Puntillo & Puntillo 2004, Incerti & Nimis 2006, Brackel & Puntillo 2016, 2023), Si (Merlo 1993, 2004, 2004b, Ottonello & al. 1994, 2011, Nimis & al. 1994, 1996b, Ottonello & Salone 1994, Ottonello & al. 1994, Grillo & Cristaudo 1995, Ottonello 1996, Grillo & al. 1996, 2002, Ottonello & Romano 1997, Schicchi & al. 1997, Grillo 1998, Czeczuga & al. 1999, Grillo & Caniglia 2004, 2006, Caniglia & Grillo 2006b, Stofer 2006, Brackel 2008b, 2008c, Grillo & Cataldo 2008, 2008b, Gianguzzi & al. 2009, Liistro & Cataldo 2011, Cataldo & Minissale 2015, Puglisi & Cataldo 2019, Campisi & al. 2020).
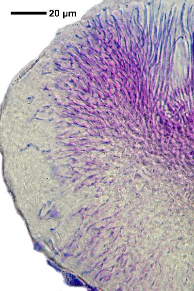
Description: Thallus crustose, episubstratic, continuous to verrucose, usually up to 0.5 mm thick, whitish to yellowish grey, often delimited by a dark prothallus. Apothecia common, lecideine, black (brown in old or damaged specimens, whitish in rare unpigmented forms), sessile, (0.6-)0.8-1.8 mm across, with a flat to finally convex disc and a smooth to flexuose, often shiny, >0.1 mm thick, finally excluded proper margin. Proper exciple blue-green in outer part, colourless to yellowish brown within, sometimes with crystals dissolving in K; epithecium blackish green, bluish green to dull grey-blue, rarely olive, usually without crystals, N+ purple; hymenium colourless, not inspersed or inspersed with small oil droplets (L. achristotera), 40-80(-100) µm high; paraphyses easily made free in K, simple, rarely anastomosing or branched in upper part, not capitate; hypothecium brownish orange (K+ bright red-brown) to reddish brown. Asci 8-spored, clavate, with an intensely K/I+ blue tholus penetrated by a faintly amyloid, broadly cylindrical axial mass, and a poorly developed ocular chamber, the wall K/I-, surrounded by a K/I+ blue outer layer, approaching the Lecanora-type. Ascospores 1-celled, hyaline, thick-walled, broadly ellipsoid to ellipsoid, 9-19 x (4.5-)6-10 µm, often biguttulate. Pycnidia dark, immersed. Conidia thread-like, more or less curved. Photobiont chlorococcoid. Spot tests: thallus K- or K+ pale yellow, KC+ yellow, C+ orange, P- or P+ pale yellow (reactions often weak and patchy), UV+ orange, K/UV+ green. Chemistry: arthothelin, granulosin, different xanthones, and variable, usually low amounts of atranorin.Note: this is the commonest epiphytic lichen of Italy, with an extraordinarily wide ecological and altitudinal range, occurring both in natural forests and in urban environments. In NW Europe the species is also saxicolous, especially on brick walls (Aptroot, in litt.). According to Zhao & al. (2015) the species might prove to be heterogeneous. Some records could refer to L. euphorea.
Growth form: Crustose
Substrata: bark
Photobiont: green algae other than Trentepohlia
Reproductive strategy: mainly sexual
Pioneer species
Commonnes-rarity: (info)
Alpine belt: absent
Subalpine belt: very rare
Oromediterranean belt: extremely rare
Montane belt: rather common
Submediterranean belt: extremely common
Padanian area: rather common
Humid submediterranean belt: extremely common
Humid mediterranean belt: extremely common
Dry mediterranean belt: extremely common

Predictive model
Herbarium samples


Andrea Moro; Owner: Department of Life Sciences, University of Trieste
Italy, Friuli-Venezia Giulia, TS, Basovizza; altitude: 2
2008.02.21


P.L.Nimis; Owner: Department of Life Sciences, University of Trieste
Herbarium: TSB (38275)
2008.02.23


P.L.Nimis; Owner: Department of Life Sciences, University of Trieste
Herbarium: TSB (36767)
2008.02.28


P.L.Nimis; Owner: Department of Life Sciences, University of Trieste
Herbarium: TSB (36767)
2008.02.28


P.L.Nimis; Owner: Department of Life Sciences, University of Trieste
Herbarium: TSB (36767)
2008.02.28


Juri Nascimbene; Owner: Department of Life Sciences, University of Trieste
Italy, Trentino-Alto Adige, Trento, Villa Welsperg, Centro Visitatori del Parco di Paneveggio; altitude: 1030 m
03.04.2009


Andrea Moro; Owner: Department of Life Sciences, University of Triedte
Italy, Friuli Venezia Giulia, Trieste, Trieste Karst, Rocca di Monrupino
20/02/2017


Andrea Moro; Owner: Department of Life Sciences, University of Triedte
Italy, Friuli Venezia Giulia, Trieste, Trieste Karst, Rocca di Monrupino
20/02/2017


Andrea Moro; Owner: Department of Life Sciences, University of Triedte
Italy, Friuli Venezia Giulia, Trieste, Trieste Karst, Rocca di Monrupino
20/02/2017


Andrea Moro; Owner: Department of Life Sciences, University of Triedte
Italy, Friuli Venezia Giulia, Trieste, Trieste Karst, Rocca di Monrupino
20/02/2017


Andrea Moro; Owner: Department of Life Sciences, University of Triedte
Italy, Friuli Venezia Giulia, Trieste, Trieste Karst, Rocca di Monrupino
20/02/2017


Andrea Moro; Owner: Department of Life Sciences, University of Trieste
Italy, Friuli Venezia Giulia, Udine, Lago di Sauris, Bosco della Stua, Carnic Alps (Ampezzo Carnico) 1000 m; altitude: 1000 m
12/08/2017


Andrea Moro; Owner: Department of Life Sciences, University of Trieste
Italy, Friuli Venezia Giulia, Udine, Lago di Sauris, Bosco della Stua, Carnic Alps (Ampezzo Carnico) 1000 m; altitude: 1000 m
12/08/2017


Felix Schumm – CC BY-SA 4.0
Image from: F. Schumm (2008) - Flechten Madeiras, der Kanaren und Azoren. Beck, OHG - ISBN: 978-3-00-023700-3

Courtesy Danièle et Olivier Gonnet - Source: https://www.afl-lichenologie.fr/Photos_AFL/Photos_AFL_L/Lecidella_elaeochroma.htm
France, Haute-Savoie 2010

Courtesy Danièle et Olivier Gonnet - Source: https://www.afl-lichenologie.fr/Photos_AFL/Photos_AFL_L/Lecidella_elaeochroma.htm
France, Haute-Savoie 2010

Courtesy Danièle et Olivier Gonnet - Source: https://www.afl-lichenologie.fr/Photos_AFL/Photos_AFL_L/Lecidella_elaeochroma.htm
France, Haute-Savoie 2010

Courtesy Danièle et Olivier Gonnet - Source: https://www.afl-lichenologie.fr/Photos_AFL/Photos_AFL_L/Lecidella_elaeochroma.htm
France, Haute-Savoie 2010

Courtesy Danièle et Olivier Gonnet - Source: https://www.afl-lichenologie.fr/Photos_AFL/Photos_AFL_L/Lecidella_elaeochroma.htm
France, Haute-Savoie 2010

Joël Querellou - Source: http://www.lichensmaritimes.org/index.php?task=fiche&lichen=428&lang=en
France, Brest

Joël Querellou - Source: http://www.lichensmaritimes.org/index.php?task=fiche&lichen=428&lang=en
France, Treompan

Joël Querellou - Source: http://www.lichensmaritimes.org/index.php?task=fiche&lichen=428&lang=en
France, Treompan

Joël Querellou - Source: http://www.lichensmaritimes.org/index.php?task=fiche&lichen=428&lang=en
France, Treompan

Joël Querellou - Source: http://www.lichensmaritimes.org/index.php?task=fiche&lichen=428&lang=en
France, Treompan

Joël Querellou - Source: http://www.lichensmaritimes.org/index.php?task=fiche&lichen=428&lang=en
France, Brest

Bernard Bouffinier - Source: http://www.lichensmaritimes.org/index.php?task=fiche&lichen=428&lang=en
France, La Palue

Bernard Bouffinier - Source: http://www.lichensmaritimes.org/index.php?task=fiche&lichen=428&lang=en
France, Crozon

Bernard Bouffinier - Source: http://www.lichensmaritimes.org/index.php?task=fiche&lichen=428&lang=en
France, Crozon

Joël Querellou - Source: http://www.lichensmaritimes.org/index.php?task=fiche&lichen=428&lang=en
France, Brest

Joël Querellou - Source: http://www.lichensmaritimes.org/index.php?task=fiche&lichen=428&lang=en
France, Brest

Joël Querellou - Source: http://www.lichensmaritimes.org/index.php?task=fiche&lichen=428&lang=en
France, Brest

Jacques Haine - Source: http://www.lichensmaritimes.org/index.php?task=fiche&lichen=428&lang=en
France

Jacques Haine - Source: http://www.lichensmaritimes.org/index.php?task=fiche&lichen=428&lang=en
France, Roscanvel

Jacques Haine - Source: http://www.lichensmaritimes.org/index.php?task=fiche&lichen=428&lang=en
Belgium

Jacques Haine - Source: http://www.lichensmaritimes.org/index.php?task=fiche&lichen=428&lang=en
France, Roscanvel

Jacques Haine - Source: http://www.lichensmaritimes.org/index.php?task=fiche&lichen=428&lang=en
Belgium

Jacques Haine - Source: http://www.lichensmaritimes.org/index.php?task=fiche&lichen=428&lang=en
Belgium

Jacques Haine - Source: http://www.lichensmaritimes.org/index.php?task=fiche&lichen=428&lang=en
Belgium

Jacques Haine - Source: http://www.lichensmaritimes.org/index.php?task=fiche&lichen=428&lang=en
Belgium

Jacques Haine - Source: http://www.lichensmaritimes.org/index.php?task=fiche&lichen=428&lang=en
France, Roscanvel

Ulrich Kirschbaum CC BY-SA 4.0 - Source: https://www.thm.de/lse/ulrich-kirschbaum/flechtenbilder
Central Europe; Germany: Hesse.

Ulrich Kirschbaum CC BY-SA 4.0 - Source: https://www.thm.de/lse/ulrich-kirschbaum/flechtenbilder
Central Europe; Germany: Hesse.


Felix Schumm - CC BY-SA 4.0
[11359]. PORTUGAL, MADEIRA: Nördlich Funchal an der Straße
zwischen Monte und Poiso; Erica-Kiefern-Fichtenzone mit viel Degelia
plumbea; 32°42.364' N, 16°53.625' W, 1330 m; an Nadelhölzern. Leg.
F. Schumm, 27.12.2003, det. F. Schumm, 01.2004. - C+ orange. Sporen
1-zellig, hyalin, zu 8, 14,2-16,3 x 8,7-10,9 μm; Epithecium ca. 33 μm,
Paraphysenenden mit schwach grünlichen Kappen; Hymenium nicht
inspers, 55 μm; Hypothecium braun, ca. 44 μm; Paraphysen relativ
dick, mäßig verzweigt, in K leicht trennbar.


Felix Schumm - CC BY-SA 4.0
[11359]. PORTUGAL, MADEIRA: Nördlich Funchal an der Straße
zwischen Monte und Poiso; Erica-Kiefern-Fichtenzone mit viel Degelia
plumbea; 32°42.364' N, 16°53.625' W, 1330 m; an Nadelhölzern. Leg.
F. Schumm, 27.12.2003, det. F. Schumm, 01.2004. - C+ orange. Sporen
1-zellig, hyalin, zu 8, 14,2-16,3 x 8,7-10,9 μm; Epithecium ca. 33 μm,
Paraphysenenden mit schwach grünlichen Kappen; Hymenium nicht
inspers, 55 μm; Hypothecium braun, ca. 44 μm; Paraphysen relativ
dick, mäßig verzweigt, in K leicht trennbar.


Felix Schumm - CC BY-SA 4.0
[11359]. PORTUGAL, MADEIRA: Nördlich Funchal an der Straße
zwischen Monte und Poiso; Erica-Kiefern-Fichtenzone mit viel Degelia
plumbea; 32°42.364' N, 16°53.625' W, 1330 m; an Nadelhölzern. Leg.
F. Schumm, 27.12.2003, det. F. Schumm, 01.2004. - C+ orange. Sporen
1-zellig, hyalin, zu 8, 14,2-16,3 x 8,7-10,9 μm; Epithecium ca. 33 μm,
Paraphysenenden mit schwach grünlichen Kappen; Hymenium nicht
inspers, 55 μm; Hypothecium braun, ca. 44 μm; Paraphysen relativ
dick, mäßig verzweigt, in K leicht trennbar.


Felix Schumm - CC BY-SA 4.0
[11359]. PORTUGAL, MADEIRA: Nördlich Funchal an der Straße
zwischen Monte und Poiso; Erica-Kiefern-Fichtenzone mit viel Degelia
plumbea; 32°42.364' N, 16°53.625' W, 1330 m; an Nadelhölzern. Leg.
F. Schumm, 27.12.2003, det. F. Schumm, 01.2004. - C+ orange. Sporen
1-zellig, hyalin, zu 8, 14,2-16,3 x 8,7-10,9 μm; Epithecium ca. 33 μm,
Paraphysenenden mit schwach grünlichen Kappen; Hymenium nicht
inspers, 55 μm; Hypothecium braun, ca. 44 μm; Paraphysen relativ
dick, mäßig verzweigt, in K leicht trennbar.


Felix Schumm - CC BY-SA 4.0
[11359]. PORTUGAL, MADEIRA: Nördlich Funchal an der Straße
zwischen Monte und Poiso; Erica-Kiefern-Fichtenzone mit viel Degelia
plumbea; 32°42.364' N, 16°53.625' W, 1330 m; an Nadelhölzern. Leg.
F. Schumm, 27.12.2003, det. F. Schumm, 01.2004. - C+ orange. Sporen
1-zellig, hyalin, zu 8, 14,2-16,3 x 8,7-10,9 μm; Epithecium ca. 33 μm,
Paraphysenenden mit schwach grünlichen Kappen; Hymenium nicht
inspers, 55 μm; Hypothecium braun, ca. 44 μm; Paraphysen relativ
dick, mäßig verzweigt, in K leicht trennbar.


Felix Schumm - CC BY-SA 4.0
[11359]. PORTUGAL, MADEIRA: Nördlich Funchal an der Straße
zwischen Monte und Poiso; Erica-Kiefern-Fichtenzone mit viel Degelia
plumbea; 32°42.364' N, 16°53.625' W, 1330 m; an Nadelhölzern. Leg.
F. Schumm, 27.12.2003, det. F. Schumm, 01.2004. - C+ orange. Sporen
1-zellig, hyalin, zu 8, 14,2-16,3 x 8,7-10,9 μm; Epithecium ca. 33 μm,
Paraphysenenden mit schwach grünlichen Kappen; Hymenium nicht
inspers, 55 μm; Hypothecium braun, ca. 44 μm; Paraphysen relativ
dick, mäßig verzweigt, in K leicht trennbar.


Felix Schumm - CC BY-SA 4.0
[11359]. PORTUGAL, MADEIRA: Nördlich Funchal an der Straße
zwischen Monte und Poiso; Erica-Kiefern-Fichtenzone mit viel Degelia
plumbea; 32°42.364' N, 16°53.625' W, 1330 m; an Nadelhölzern. Leg.
F. Schumm, 27.12.2003, det. F. Schumm, 01.2004. - C+ orange. Sporen
1-zellig, hyalin, zu 8, 14,2-16,3 x 8,7-10,9 μm; Epithecium ca. 33 μm,
Paraphysenenden mit schwach grünlichen Kappen; Hymenium nicht
inspers, 55 μm; Hypothecium braun, ca. 44 μm; Paraphysen relativ
dick, mäßig verzweigt, in K leicht trennbar.


Felix Schumm - CC BY-SA 4.0
[11359]. PORTUGAL, MADEIRA: Nördlich Funchal an der Straße
zwischen Monte und Poiso; Erica-Kiefern-Fichtenzone mit viel Degelia
plumbea; 32°42.364' N, 16°53.625' W, 1330 m; an Nadelhölzern. Leg.
F. Schumm, 27.12.2003, det. F. Schumm, 01.2004. - C+ orange. Sporen
1-zellig, hyalin, zu 8, 14,2-16,3 x 8,7-10,9 μm; Epithecium ca. 33 μm,
Paraphysenenden mit schwach grünlichen Kappen; Hymenium nicht
inspers, 55 μm; Hypothecium braun, ca. 44 μm; Paraphysen relativ
dick, mäßig verzweigt, in K leicht trennbar.


Felix Schumm - CC BY-SA 4.0
[11359]. PORTUGAL, MADEIRA: Nördlich Funchal an der Straße
zwischen Monte und Poiso; Erica-Kiefern-Fichtenzone mit viel Degelia
plumbea; 32°42.364' N, 16°53.625' W, 1330 m; an Nadelhölzern. Leg.
F. Schumm, 27.12.2003, det. F. Schumm, 01.2004. - C+ orange. Sporen
1-zellig, hyalin, zu 8, 14,2-16,3 x 8,7-10,9 μm; Epithecium ca. 33 μm,
Paraphysenenden mit schwach grünlichen Kappen; Hymenium nicht
inspers, 55 μm; Hypothecium braun, ca. 44 μm; Paraphysen relativ
dick, mäßig verzweigt, in K leicht trennbar.


Felix Schumm - CC BY-SA 4.0
[11359]. PORTUGAL, MADEIRA: Nördlich Funchal an der Straße
zwischen Monte und Poiso; Erica-Kiefern-Fichtenzone mit viel Degelia
plumbea; 32°42.364' N, 16°53.625' W, 1330 m; an Nadelhölzern. Leg.
F. Schumm, 27.12.2003, det. F. Schumm, 01.2004. - C+ orange. Sporen
1-zellig, hyalin, zu 8, 14,2-16,3 x 8,7-10,9 μm; Epithecium ca. 33 μm,
Paraphysenenden mit schwach grünlichen Kappen; Hymenium nicht
inspers, 55 μm; Hypothecium braun, ca. 44 μm; Paraphysen relativ
dick, mäßig verzweigt, in K leicht trennbar.


Felix Schumm - CC BY-SA 4.0
[11359]. PORTUGAL, MADEIRA: Nördlich Funchal an der Straße
zwischen Monte und Poiso; Erica-Kiefern-Fichtenzone mit viel Degelia
plumbea; 32°42.364' N, 16°53.625' W, 1330 m; an Nadelhölzern. Leg.
F. Schumm, 27.12.2003, det. F. Schumm, 01.2004. - C+ orange. Sporen
1-zellig, hyalin, zu 8, 14,2-16,3 x 8,7-10,9 μm; Epithecium ca. 33 μm,
Paraphysenenden mit schwach grünlichen Kappen; Hymenium nicht
inspers, 55 μm; Hypothecium braun, ca. 44 μm; Paraphysen relativ
dick, mäßig verzweigt, in K leicht trennbar.


Felix Schumm - CC BY-SA 4.0
[11359]. PORTUGAL, MADEIRA: Nördlich Funchal an der Straße
zwischen Monte und Poiso; Erica-Kiefern-Fichtenzone mit viel Degelia
plumbea; 32°42.364' N, 16°53.625' W, 1330 m; an Nadelhölzern. Leg.
F. Schumm, 27.12.2003, det. F. Schumm, 01.2004. - C+ orange. Sporen
1-zellig, hyalin, zu 8, 14,2-16,3 x 8,7-10,9 μm; Epithecium ca. 33 μm,
Paraphysenenden mit schwach grünlichen Kappen; Hymenium nicht
inspers, 55 μm; Hypothecium braun, ca. 44 μm; Paraphysen relativ
dick, mäßig verzweigt, in K leicht trennbar.


Felix Schumm - CC BY-SA 4.0
[11359]. PORTUGAL, MADEIRA: Nördlich Funchal an der Straße
zwischen Monte und Poiso; Erica-Kiefern-Fichtenzone mit viel Degelia
plumbea; 32°42.364' N, 16°53.625' W, 1330 m; an Nadelhölzern. Leg.
F. Schumm, 27.12.2003, det. F. Schumm, 01.2004. - C+ orange. Sporen
1-zellig, hyalin, zu 8, 14,2-16,3 x 8,7-10,9 μm; Epithecium ca. 33 μm,
Paraphysenenden mit schwach grünlichen Kappen; Hymenium nicht
inspers, 55 μm; Hypothecium braun, ca. 44 μm; Paraphysen relativ
dick, mäßig verzweigt, in K leicht trennbar.


Felix Schumm - CC BY-SA 4.0
[11359]. PORTUGAL, MADEIRA: Nördlich Funchal an der Straße
zwischen Monte und Poiso; Erica-Kiefern-Fichtenzone mit viel Degelia
plumbea; 32°42.364' N, 16°53.625' W, 1330 m; an Nadelhölzern. Leg.
F. Schumm, 27.12.2003, det. F. Schumm, 01.2004. - C+ orange. Sporen
1-zellig, hyalin, zu 8, 14,2-16,3 x 8,7-10,9 μm; Epithecium ca. 33 μm,
Paraphysenenden mit schwach grünlichen Kappen; Hymenium nicht
inspers, 55 μm; Hypothecium braun, ca. 44 μm; Paraphysen relativ
dick, mäßig verzweigt, in K leicht trennbar.


Felix Schumm - CC BY-SA 4.0
[16498], GERMANY: Baden-Württemberg, Kreis Göppingen, südlich
des Krettenhofes beim Parkplatz Hohrain, 48,73991° N, 9,67280° E,
400m, auf Carpinus. TK: 7224. Leg. F. Schumm, 01.05.2010. det. F.
Schumm, 2010. - Thallus K+ gelblich, C-, KC+ orange, UVL+ dunkelorange.
Sporen hyalin, 1-zellig, 8/Ascus, Excipipulum außen grünlichschwärzlich,
Hypothecium braun, Epith. grünlich-schwärzlich.


Felix Schumm - CC BY-SA 4.0
[16498], GERMANY: Baden-Württemberg, Kreis Göppingen, südlich
des Krettenhofes beim Parkplatz Hohrain, 48,73991° N, 9,67280° E,
400m, auf Carpinus. TK: 7224. Leg. F. Schumm, 01.05.2010. det. F.
Schumm, 2010. - Thallus K+ gelblich, C-, KC+ orange, UVL+ dunkelorange.
Sporen hyalin, 1-zellig, 8/Ascus, Excipipulum außen grünlichschwärzlich,
Hypothecium braun, Epith. grünlich-schwärzlich.


Felix Schumm - CC BY-SA 4.0
[16498], GERMANY: Baden-Württemberg, Kreis Göppingen, südlich
des Krettenhofes beim Parkplatz Hohrain, 48,73991° N, 9,67280° E,
400m, auf Carpinus. TK: 7224. Leg. F. Schumm, 01.05.2010. det. F.
Schumm, 2010. - Thallus K+ gelblich, C-, KC+ orange, UVL+ dunkelorange.
Sporen hyalin, 1-zellig, 8/Ascus, Excipipulum außen grünlichschwärzlich,
Hypothecium braun, Epith. grünlich-schwärzlich.


Felix Schumm - CC BY-SA 4.0
[16498], GERMANY: Baden-Württemberg, Kreis Göppingen, südlich
des Krettenhofes beim Parkplatz Hohrain, 48,73991° N, 9,67280° E,
400m, auf Carpinus. TK: 7224. Leg. F. Schumm, 01.05.2010. det. F.
Schumm, 2010. - Thallus K+ gelblich, C-, KC+ orange, UVL+ dunkelorange.
Sporen hyalin, 1-zellig, 8/Ascus, Excipipulum außen grünlichschwärzlich,
Hypothecium braun, Epith. grünlich-schwärzlich.


Felix Schumm - CC BY-SA 4.0
[16498], GERMANY: Baden-Württemberg, Kreis Göppingen, südlich
des Krettenhofes beim Parkplatz Hohrain, 48,73991° N, 9,67280° E,
400m, auf Carpinus. TK: 7224. Leg. F. Schumm, 01.05.2010. det. F.
Schumm, 2010. - Thallus K+ gelblich, C-, KC+ orange, UVL+ dunkelorange.
Sporen hyalin, 1-zellig, 8/Ascus, Excipipulum außen grünlichschwärzlich,
Hypothecium braun, Epith. grünlich-schwärzlich.


Felix Schumm - CC BY-SA 4.0
[16498], GERMANY: Baden-Württemberg, Kreis Göppingen, südlich
des Krettenhofes beim Parkplatz Hohrain, 48,73991° N, 9,67280° E,
400m, auf Carpinus. TK: 7224. Leg. F. Schumm, 01.05.2010. det. F.
Schumm, 2010. - Thallus K+ gelblich, C-, KC+ orange, UVL+ dunkelorange.
Sporen hyalin, 1-zellig, 8/Ascus, Excipipulum außen grünlichschwärzlich,
Hypothecium braun, Epith. grünlich-schwärzlich.


Felix Schumm - CC BY-SA 4.0
[16498], GERMANY: Baden-Württemberg, Kreis Göppingen, südlich
des Krettenhofes beim Parkplatz Hohrain, 48,73991° N, 9,67280° E,
400m, auf Carpinus. TK: 7224. Leg. F. Schumm, 01.05.2010. det. F.
Schumm, 2010. - Thallus K+ gelblich, C-, KC+ orange, UVL+ dunkelorange.
Sporen hyalin, 1-zellig, 8/Ascus, Excipipulum außen grünlichschwärzlich,
Hypothecium braun, Epith. grünlich-schwärzlich.


Felix Schumm - CC BY-SA 4.0
[16498], GERMANY: Baden-Württemberg, Kreis Göppingen, südlich
des Krettenhofes beim Parkplatz Hohrain, 48,73991° N, 9,67280° E,
400m, auf Carpinus. TK: 7224. Leg. F. Schumm, 01.05.2010. det. F.
Schumm, 2010. - Thallus K+ gelblich, C-, KC+ orange, UVL+ dunkelorange.
Sporen hyalin, 1-zellig, 8/Ascus, Excipipulum außen grünlichschwärzlich,
Hypothecium braun, Epith. grünlich-schwärzlich.


Felix Schumm - CC BY-SA 4.0
[16498], GERMANY: Baden-Württemberg, Kreis Göppingen, südlich
des Krettenhofes beim Parkplatz Hohrain, 48,73991° N, 9,67280° E,
400m, auf Carpinus. TK: 7224. Leg. F. Schumm, 01.05.2010. det. F.
Schumm, 2010. - Thallus K+ gelblich, C-, KC+ orange, UVL+ dunkelorange.
Sporen hyalin, 1-zellig, 8/Ascus, Excipipulum außen grünlichschwärzlich,
Hypothecium braun, Epith. grünlich-schwärzlich.


Felix Schumm - CC BY-SA 4.0
[16498], GERMANY: Baden-Württemberg, Kreis Göppingen, südlich
des Krettenhofes beim Parkplatz Hohrain, 48,73991° N, 9,67280° E,
400m, auf Carpinus. TK: 7224. Leg. F. Schumm, 01.05.2010. det. F.
Schumm, 2010. - Thallus K+ gelblich, C-, KC+ orange, UVL+ dunkelorange.
Sporen hyalin, 1-zellig, 8/Ascus, Excipipulum außen grünlichschwärzlich,
Hypothecium braun, Epith. grünlich-schwärzlich.


Felix Schumm - CC BY-SA 4.0
[16498], GERMANY: Baden-Württemberg, Kreis Göppingen, südlich
des Krettenhofes beim Parkplatz Hohrain, 48,73991° N, 9,67280° E,
400m, auf Carpinus. TK: 7224. Leg. F. Schumm, 01.05.2010. det. F.
Schumm, 2010. - Thallus K+ gelblich, C-, KC+ orange, UVL+ dunkelorange.
Sporen hyalin, 1-zellig, 8/Ascus, Excipipulum außen grünlichschwärzlich,
Hypothecium braun, Epith. grünlich-schwärzlich.


Felix Schumm - CC BY-SA 4.0
[16498], GERMANY: Baden-Württemberg, Kreis Göppingen, südlich
des Krettenhofes beim Parkplatz Hohrain, 48,73991° N, 9,67280° E,
400m, auf Carpinus. TK: 7224. Leg. F. Schumm, 01.05.2010. det. F.
Schumm, 2010. - Thallus K+ gelblich, C-, KC+ orange, UVL+ dunkelorange.
Sporen hyalin, 1-zellig, 8/Ascus, Excipipulum außen grünlichschwärzlich,
Hypothecium braun, Epith. grünlich-schwärzlich.


Felix Schumm - CC BY-SA 4.0
[LS18132], Niederlande, Wilg, Houten, Fort „Memeltje“.ex Hervario
Leo Spier (nr. 1832) - Notizen von L. Spier: Hymenium nicht inspers.
Paraphysen unverzweigt, locker, 1-1.5 μm dick, apical unverdickt.
Hypothecium hyalin, bis schwach gelblich. Sporen hyalin, 1-zellig,
8/Ascus, 8.3-10 x 5-6.7 μm. Chemie: P- - Farbvariante!.


Felix Schumm - CC BY-SA 4.0
[LS18132], Niederlande, Wilg, Houten, Fort „Memeltje“.ex Hervario
Leo Spier (nr. 1832) - Notizen von L. Spier: Hymenium nicht inspers.
Paraphysen unverzweigt, locker, 1-1.5 μm dick, apical unverdickt.
Hypothecium hyalin, bis schwach gelblich. Sporen hyalin, 1-zellig,
8/Ascus, 8.3-10 x 5-6.7 μm. Chemie: P- - Farbvariante!.


Felix Schumm - CC BY-SA 4.0
[LS18132], Niederlande, Wilg, Houten, Fort „Memeltje“.ex Hervario
Leo Spier (nr. 1832) - Notizen von L. Spier: Hymenium nicht inspers.
Paraphysen unverzweigt, locker, 1-1.5 μm dick, apical unverdickt.
Hypothecium hyalin, bis schwach gelblich. Sporen hyalin, 1-zellig,
8/Ascus, 8.3-10 x 5-6.7 μm. Chemie: P- - Farbvariante!.


Felix Schumm - CC BY-SA 4.0
[LS18132], Niederlande, Wilg, Houten, Fort „Memeltje“.ex Hervario
Leo Spier (nr. 1832) - Notizen von L. Spier: Hymenium nicht inspers.
Paraphysen unverzweigt, locker, 1-1.5 μm dick, apical unverdickt.
Hypothecium hyalin, bis schwach gelblich. Sporen hyalin, 1-zellig,
8/Ascus, 8.3-10 x 5-6.7 μm. Chemie: P- - Farbvariante!.


Felix Schumm - CC BY-SA 4.0
[LS18132], Niederlande, Wilg, Houten, Fort „Memeltje“.ex Hervario
Leo Spier (nr. 1832) - Notizen von L. Spier: Hymenium nicht inspers.
Paraphysen unverzweigt, locker, 1-1.5 μm dick, apical unverdickt.
Hypothecium hyalin, bis schwach gelblich. Sporen hyalin, 1-zellig,
8/Ascus, 8.3-10 x 5-6.7 μm. Chemie: P- - Farbvariante!.


Felix Schumm - CC BY-SA 4.0
[LS18132], Niederlande, Wilg, Houten, Fort „Memeltje“.ex Hervario
Leo Spier (nr. 1832) - Notizen von L. Spier: Hymenium nicht inspers.
Paraphysen unverzweigt, locker, 1-1.5 μm dick, apical unverdickt.
Hypothecium hyalin, bis schwach gelblich. Sporen hyalin, 1-zellig,
8/Ascus, 8.3-10 x 5-6.7 μm. Chemie: P- - Farbvariante!.


Felix Schumm - CC BY-SA 4.0
[LS18132], Niederlande, Wilg, Houten, Fort „Memeltje“.ex Hervario
Leo Spier (nr. 1832) - Notizen von L. Spier: Hymenium nicht inspers.
Paraphysen unverzweigt, locker, 1-1.5 μm dick, apical unverdickt.
Hypothecium hyalin, bis schwach gelblich. Sporen hyalin, 1-zellig,
8/Ascus, 8.3-10 x 5-6.7 μm. Chemie: P- - Farbvariante!.


Felix Schumm - CC BY-SA 4.0
[LS18132], Niederlande, Wilg, Houten, Fort „Memeltje“.ex Hervario
Leo Spier (nr. 1832) - Notizen von L. Spier: Hymenium nicht inspers.
Paraphysen unverzweigt, locker, 1-1.5 μm dick, apical unverdickt.
Hypothecium hyalin, bis schwach gelblich. Sporen hyalin, 1-zellig,
8/Ascus, 8.3-10 x 5-6.7 μm. Chemie: P- - Farbvariante!.


Felix Schumm - CC BY-SA 4.0
[LS18132], Niederlande, Wilg, Houten, Fort „Memeltje“.ex Hervario
Leo Spier (nr. 1832) - Notizen von L. Spier: Hymenium nicht inspers.
Paraphysen unverzweigt, locker, 1-1.5 μm dick, apical unverdickt.
Hypothecium hyalin, bis schwach gelblich. Sporen hyalin, 1-zellig,
8/Ascus, 8.3-10 x 5-6.7 μm. Chemie: P- - Farbvariante!.


Felix Schumm - CC BY-SA 4.0
[LS18132], Niederlande, Wilg, Houten, Fort „Memeltje“.ex Hervario
Leo Spier (nr. 1832) - Notizen von L. Spier: Hymenium nicht inspers.
Paraphysen unverzweigt, locker, 1-1.5 μm dick, apical unverdickt.
Hypothecium hyalin, bis schwach gelblich. Sporen hyalin, 1-zellig,
8/Ascus, 8.3-10 x 5-6.7 μm. Chemie: P- - Farbvariante!.


Felix Schumm - CC BY-SA 4.0
[LS18132], Niederlande, Wilg, Houten, Fort „Memeltje“.ex Hervario
Leo Spier (nr. 1832) - Notizen von L. Spier: Hymenium nicht inspers.
Paraphysen unverzweigt, locker, 1-1.5 μm dick, apical unverdickt.
Hypothecium hyalin, bis schwach gelblich. Sporen hyalin, 1-zellig,
8/Ascus, 8.3-10 x 5-6.7 μm. Chemie: P- - Farbvariante!.


Felix Schumm - CC BY-SA 4.0
[LS18132], Niederlande, Wilg, Houten, Fort „Memeltje“.ex Hervario
Leo Spier (nr. 1832) - Notizen von L. Spier: Hymenium nicht inspers.
Paraphysen unverzweigt, locker, 1-1.5 μm dick, apical unverdickt.
Hypothecium hyalin, bis schwach gelblich. Sporen hyalin, 1-zellig,
8/Ascus, 8.3-10 x 5-6.7 μm. Chemie: P- - Farbvariante!.


Felix Schumm - CC BY-SA 4.0
[LS18132], Niederlande, Wilg, Houten, Fort „Memeltje“.ex Hervario
Leo Spier (nr. 1832) - Notizen von L. Spier: Hymenium nicht inspers.
Paraphysen unverzweigt, locker, 1-1.5 μm dick, apical unverdickt.
Hypothecium hyalin, bis schwach gelblich. Sporen hyalin, 1-zellig,
8/Ascus, 8.3-10 x 5-6.7 μm. Chemie: P- - Farbvariante!.


Felix Schumm - CC BY-SA 4.0
[LS18132], Niederlande, Wilg, Houten, Fort „Memeltje“.ex Hervario
Leo Spier (nr. 1832) - Notizen von L. Spier: Hymenium nicht inspers.
Paraphysen unverzweigt, locker, 1-1.5 μm dick, apical unverdickt.
Hypothecium hyalin, bis schwach gelblich. Sporen hyalin, 1-zellig,
8/Ascus, 8.3-10 x 5-6.7 μm. Chemie: P- - Farbvariante!.


Felix Schumm - CC BY-SA 4.0
[LS18132], Niederlande, Wilg, Houten, Fort „Memeltje“.ex Hervario
Leo Spier (nr. 1832) - Notizen von L. Spier: Hymenium nicht inspers.
Paraphysen unverzweigt, locker, 1-1.5 μm dick, apical unverdickt.
Hypothecium hyalin, bis schwach gelblich. Sporen hyalin, 1-zellig,
8/Ascus, 8.3-10 x 5-6.7 μm. Chemie: P- - Farbvariante!.


Felix Schumm - CC BY-SA 4.0
[LS18132], Niederlande, Wilg, Houten, Fort „Memeltje“.ex Hervario
Leo Spier (nr. 1832) - Notizen von L. Spier: Hymenium nicht inspers.
Paraphysen unverzweigt, locker, 1-1.5 μm dick, apical unverdickt.
Hypothecium hyalin, bis schwach gelblich. Sporen hyalin, 1-zellig,
8/Ascus, 8.3-10 x 5-6.7 μm. Chemie: P- - Farbvariante!.


Felix Schumm - CC BY-SA 4.0
[LS18132], Niederlande, Wilg, Houten, Fort „Memeltje“.ex Hervario
Leo Spier (nr. 1832) - Notizen von L. Spier: Hymenium nicht inspers.
Paraphysen unverzweigt, locker, 1-1.5 μm dick, apical unverdickt.
Hypothecium hyalin, bis schwach gelblich. Sporen hyalin, 1-zellig,
8/Ascus, 8.3-10 x 5-6.7 μm. Chemie: P- - Farbvariante!.


Felix Schumm - CC BY-SA 4.0
[LS18132], Niederlande, Wilg, Houten, Fort „Memeltje“.ex Hervario
Leo Spier (nr. 1832) - Notizen von L. Spier: Hymenium nicht inspers.
Paraphysen unverzweigt, locker, 1-1.5 μm dick, apical unverdickt.
Hypothecium hyalin, bis schwach gelblich. Sporen hyalin, 1-zellig,
8/Ascus, 8.3-10 x 5-6.7 μm. Chemie: P- - Farbvariante!.


Felix Schumm - CC BY-SA 4.0
[LS18132], Niederlande, Wilg, Houten, Fort „Memeltje“.ex Hervario
Leo Spier (nr. 1832) - Notizen von L. Spier: Hymenium nicht inspers.
Paraphysen unverzweigt, locker, 1-1.5 μm dick, apical unverdickt.
Hypothecium hyalin, bis schwach gelblich. Sporen hyalin, 1-zellig,
8/Ascus, 8.3-10 x 5-6.7 μm. Chemie: P- - Farbvariante!.


Felix Schumm - CC BY-SA 4.0
[LS18132], Niederlande, Wilg, Houten, Fort „Memeltje“.ex Hervario
Leo Spier (nr. 1832) - Notizen von L. Spier: Hymenium nicht inspers.
Paraphysen unverzweigt, locker, 1-1.5 μm dick, apical unverdickt.
Hypothecium hyalin, bis schwach gelblich. Sporen hyalin, 1-zellig,
8/Ascus, 8.3-10 x 5-6.7 μm. Chemie: P- - Farbvariante!.


Felix Schumm - CC BY-SA 4.0
[LS18132], Niederlande, Wilg, Houten, Fort „Memeltje“.ex Hervario
Leo Spier (nr. 1832) - Notizen von L. Spier: Hymenium nicht inspers.
Paraphysen unverzweigt, locker, 1-1.5 μm dick, apical unverdickt.
Hypothecium hyalin, bis schwach gelblich. Sporen hyalin, 1-zellig,
8/Ascus, 8.3-10 x 5-6.7 μm. Chemie: P- - Farbvariante!.

Collezione lichenologica Abramo Massalongo del Museo di Storia Naturale G. Ligabue di Venezia - Autori: Seggi, Linda; Trabucco, Raffaella Proprietà: Fondazione Musei Civici di Venezia - CC BY-NC
Italy, Veneto, in Euganeis (Rua)
ISOTYPE of Biatora ambigua

Collezione lichenologica Abramo Massalongo del Museo di Storia Naturale G. Ligabue di Venezia - Autori: Seggi, Linda; Trabucco, Raffaella Proprietà: Fondazione Musei Civici di Venezia - CC BY-NC
Italy, Veneto, in op. Tregnago
as Lecidea enteroleuca ?

Collezione lichenologica Abramo Massalongo del Museo di Storia Naturale G. Ligabue di Venezia - Autori: Seggi, Linda; Trabucco, Raffaella Proprietà: Fondazione Musei Civici di Venezia - CC BY-NC
Italy, Veneto, in op. Galzignano 1855
As Lecidea olivaces

Collezione lichenologica Abramo Massalongo del Museo di Storia Naturale G. Ligabue di Venezia - Autori: Seggi, Linda; Trabucco, Raffaella Proprietà: Fondazione Musei Civici di Venezia - CC BY-NC
Italy, Veneto, in op. Galzignano 1855
As Lecidea olivaces
Growth form: Crustose
Substrata: bark
Photobiont: green algae other than Trentepohlia
Reproductive strategy: mainly sexual
Pioneer species
Commonnes-rarity: (info)
Alpine belt: absent
Subalpine belt: very rare
Oromediterranean belt: extremely rare
Montane belt: rather common
Submediterranean belt: extremely common
Padanian area: rather common
Humid submediterranean belt: extremely common
Humid mediterranean belt: extremely common
Dry mediterranean belt: extremely common

Predictive model
Herbarium samples |


Andrea Moro; Owner: Department of Life Sciences, University of Trieste
Italy, Friuli-Venezia Giulia, TS, Basovizza; altitude: 2
2008.02.21


P.L.Nimis; Owner: Department of Life Sciences, University of Trieste
Herbarium: TSB (38275)
2008.02.23


P.L.Nimis; Owner: Department of Life Sciences, University of Trieste
Herbarium: TSB (36767)
2008.02.28


P.L.Nimis; Owner: Department of Life Sciences, University of Trieste
Herbarium: TSB (36767)
2008.02.28


P.L.Nimis; Owner: Department of Life Sciences, University of Trieste
Herbarium: TSB (36767)
2008.02.28


Juri Nascimbene; Owner: Department of Life Sciences, University of Trieste
Italy, Trentino-Alto Adige, Trento, Villa Welsperg, Centro Visitatori del Parco di Paneveggio; altitude: 1030 m
03.04.2009


Andrea Moro; Owner: Department of Life Sciences, University of Triedte
Italy, Friuli Venezia Giulia, Trieste, Trieste Karst, Rocca di Monrupino
20/02/2017


Andrea Moro; Owner: Department of Life Sciences, University of Triedte
Italy, Friuli Venezia Giulia, Trieste, Trieste Karst, Rocca di Monrupino
20/02/2017


Andrea Moro; Owner: Department of Life Sciences, University of Triedte
Italy, Friuli Venezia Giulia, Trieste, Trieste Karst, Rocca di Monrupino
20/02/2017


Andrea Moro; Owner: Department of Life Sciences, University of Triedte
Italy, Friuli Venezia Giulia, Trieste, Trieste Karst, Rocca di Monrupino
20/02/2017


Andrea Moro; Owner: Department of Life Sciences, University of Triedte
Italy, Friuli Venezia Giulia, Trieste, Trieste Karst, Rocca di Monrupino
20/02/2017


Andrea Moro; Owner: Department of Life Sciences, University of Trieste
Italy, Friuli Venezia Giulia, Udine, Lago di Sauris, Bosco della Stua, Carnic Alps (Ampezzo Carnico) 1000 m; altitude: 1000 m
12/08/2017


Andrea Moro; Owner: Department of Life Sciences, University of Trieste
Italy, Friuli Venezia Giulia, Udine, Lago di Sauris, Bosco della Stua, Carnic Alps (Ampezzo Carnico) 1000 m; altitude: 1000 m
12/08/2017


Felix Schumm – CC BY-SA 4.0
Image from: F. Schumm (2008) - Flechten Madeiras, der Kanaren und Azoren. Beck, OHG - ISBN: 978-3-00-023700-3

Courtesy Danièle et Olivier Gonnet - Source: https://www.afl-lichenologie.fr/Photos_AFL/Photos_AFL_L/Lecidella_elaeochroma.htm
France, Haute-Savoie 2010

Courtesy Danièle et Olivier Gonnet - Source: https://www.afl-lichenologie.fr/Photos_AFL/Photos_AFL_L/Lecidella_elaeochroma.htm
France, Haute-Savoie 2010

Courtesy Danièle et Olivier Gonnet - Source: https://www.afl-lichenologie.fr/Photos_AFL/Photos_AFL_L/Lecidella_elaeochroma.htm
France, Haute-Savoie 2010

Courtesy Danièle et Olivier Gonnet - Source: https://www.afl-lichenologie.fr/Photos_AFL/Photos_AFL_L/Lecidella_elaeochroma.htm
France, Haute-Savoie 2010

Courtesy Danièle et Olivier Gonnet - Source: https://www.afl-lichenologie.fr/Photos_AFL/Photos_AFL_L/Lecidella_elaeochroma.htm
France, Haute-Savoie 2010

Joël Querellou - Source: http://www.lichensmaritimes.org/index.php?task=fiche&lichen=428&lang=en
France, Brest

Joël Querellou - Source: http://www.lichensmaritimes.org/index.php?task=fiche&lichen=428&lang=en
France, Treompan

Joël Querellou - Source: http://www.lichensmaritimes.org/index.php?task=fiche&lichen=428&lang=en
France, Treompan

Joël Querellou - Source: http://www.lichensmaritimes.org/index.php?task=fiche&lichen=428&lang=en
France, Treompan

Joël Querellou - Source: http://www.lichensmaritimes.org/index.php?task=fiche&lichen=428&lang=en
France, Treompan

Joël Querellou - Source: http://www.lichensmaritimes.org/index.php?task=fiche&lichen=428&lang=en
France, Brest

Bernard Bouffinier - Source: http://www.lichensmaritimes.org/index.php?task=fiche&lichen=428&lang=en
France, La Palue

Bernard Bouffinier - Source: http://www.lichensmaritimes.org/index.php?task=fiche&lichen=428&lang=en
France, Crozon

Bernard Bouffinier - Source: http://www.lichensmaritimes.org/index.php?task=fiche&lichen=428&lang=en
France, Crozon

Joël Querellou - Source: http://www.lichensmaritimes.org/index.php?task=fiche&lichen=428&lang=en
France, Brest

Joël Querellou - Source: http://www.lichensmaritimes.org/index.php?task=fiche&lichen=428&lang=en
France, Brest

Joël Querellou - Source: http://www.lichensmaritimes.org/index.php?task=fiche&lichen=428&lang=en
France, Brest

Jacques Haine - Source: http://www.lichensmaritimes.org/index.php?task=fiche&lichen=428&lang=en
France

Jacques Haine - Source: http://www.lichensmaritimes.org/index.php?task=fiche&lichen=428&lang=en
France, Roscanvel

Jacques Haine - Source: http://www.lichensmaritimes.org/index.php?task=fiche&lichen=428&lang=en
Belgium

Jacques Haine - Source: http://www.lichensmaritimes.org/index.php?task=fiche&lichen=428&lang=en
France, Roscanvel

Jacques Haine - Source: http://www.lichensmaritimes.org/index.php?task=fiche&lichen=428&lang=en
Belgium

Jacques Haine - Source: http://www.lichensmaritimes.org/index.php?task=fiche&lichen=428&lang=en
Belgium

Jacques Haine - Source: http://www.lichensmaritimes.org/index.php?task=fiche&lichen=428&lang=en
Belgium

Jacques Haine - Source: http://www.lichensmaritimes.org/index.php?task=fiche&lichen=428&lang=en
Belgium

Jacques Haine - Source: http://www.lichensmaritimes.org/index.php?task=fiche&lichen=428&lang=en
France, Roscanvel

Ulrich Kirschbaum CC BY-SA 4.0 - Source: https://www.thm.de/lse/ulrich-kirschbaum/flechtenbilder
Central Europe; Germany: Hesse.

Ulrich Kirschbaum CC BY-SA 4.0 - Source: https://www.thm.de/lse/ulrich-kirschbaum/flechtenbilder
Central Europe; Germany: Hesse.


Felix Schumm - CC BY-SA 4.0
[11359]. PORTUGAL, MADEIRA: Nördlich Funchal an der Straße zwischen Monte und Poiso; Erica-Kiefern-Fichtenzone mit viel Degelia plumbea; 32°42.364' N, 16°53.625' W, 1330 m; an Nadelhölzern. Leg. F. Schumm, 27.12.2003, det. F. Schumm, 01.2004. - C+ orange. Sporen 1-zellig, hyalin, zu 8, 14,2-16,3 x 8,7-10,9 μm; Epithecium ca. 33 μm, Paraphysenenden mit schwach grünlichen Kappen; Hymenium nicht inspers, 55 μm; Hypothecium braun, ca. 44 μm; Paraphysen relativ dick, mäßig verzweigt, in K leicht trennbar.


Felix Schumm - CC BY-SA 4.0
[11359]. PORTUGAL, MADEIRA: Nördlich Funchal an der Straße zwischen Monte und Poiso; Erica-Kiefern-Fichtenzone mit viel Degelia plumbea; 32°42.364' N, 16°53.625' W, 1330 m; an Nadelhölzern. Leg. F. Schumm, 27.12.2003, det. F. Schumm, 01.2004. - C+ orange. Sporen 1-zellig, hyalin, zu 8, 14,2-16,3 x 8,7-10,9 μm; Epithecium ca. 33 μm, Paraphysenenden mit schwach grünlichen Kappen; Hymenium nicht inspers, 55 μm; Hypothecium braun, ca. 44 μm; Paraphysen relativ dick, mäßig verzweigt, in K leicht trennbar.


Felix Schumm - CC BY-SA 4.0
[11359]. PORTUGAL, MADEIRA: Nördlich Funchal an der Straße zwischen Monte und Poiso; Erica-Kiefern-Fichtenzone mit viel Degelia plumbea; 32°42.364' N, 16°53.625' W, 1330 m; an Nadelhölzern. Leg. F. Schumm, 27.12.2003, det. F. Schumm, 01.2004. - C+ orange. Sporen 1-zellig, hyalin, zu 8, 14,2-16,3 x 8,7-10,9 μm; Epithecium ca. 33 μm, Paraphysenenden mit schwach grünlichen Kappen; Hymenium nicht inspers, 55 μm; Hypothecium braun, ca. 44 μm; Paraphysen relativ dick, mäßig verzweigt, in K leicht trennbar.


Felix Schumm - CC BY-SA 4.0
[11359]. PORTUGAL, MADEIRA: Nördlich Funchal an der Straße zwischen Monte und Poiso; Erica-Kiefern-Fichtenzone mit viel Degelia plumbea; 32°42.364' N, 16°53.625' W, 1330 m; an Nadelhölzern. Leg. F. Schumm, 27.12.2003, det. F. Schumm, 01.2004. - C+ orange. Sporen 1-zellig, hyalin, zu 8, 14,2-16,3 x 8,7-10,9 μm; Epithecium ca. 33 μm, Paraphysenenden mit schwach grünlichen Kappen; Hymenium nicht inspers, 55 μm; Hypothecium braun, ca. 44 μm; Paraphysen relativ dick, mäßig verzweigt, in K leicht trennbar.


Felix Schumm - CC BY-SA 4.0
[11359]. PORTUGAL, MADEIRA: Nördlich Funchal an der Straße zwischen Monte und Poiso; Erica-Kiefern-Fichtenzone mit viel Degelia plumbea; 32°42.364' N, 16°53.625' W, 1330 m; an Nadelhölzern. Leg. F. Schumm, 27.12.2003, det. F. Schumm, 01.2004. - C+ orange. Sporen 1-zellig, hyalin, zu 8, 14,2-16,3 x 8,7-10,9 μm; Epithecium ca. 33 μm, Paraphysenenden mit schwach grünlichen Kappen; Hymenium nicht inspers, 55 μm; Hypothecium braun, ca. 44 μm; Paraphysen relativ dick, mäßig verzweigt, in K leicht trennbar.


Felix Schumm - CC BY-SA 4.0
[11359]. PORTUGAL, MADEIRA: Nördlich Funchal an der Straße zwischen Monte und Poiso; Erica-Kiefern-Fichtenzone mit viel Degelia plumbea; 32°42.364' N, 16°53.625' W, 1330 m; an Nadelhölzern. Leg. F. Schumm, 27.12.2003, det. F. Schumm, 01.2004. - C+ orange. Sporen 1-zellig, hyalin, zu 8, 14,2-16,3 x 8,7-10,9 μm; Epithecium ca. 33 μm, Paraphysenenden mit schwach grünlichen Kappen; Hymenium nicht inspers, 55 μm; Hypothecium braun, ca. 44 μm; Paraphysen relativ dick, mäßig verzweigt, in K leicht trennbar.


Felix Schumm - CC BY-SA 4.0
[11359]. PORTUGAL, MADEIRA: Nördlich Funchal an der Straße zwischen Monte und Poiso; Erica-Kiefern-Fichtenzone mit viel Degelia plumbea; 32°42.364' N, 16°53.625' W, 1330 m; an Nadelhölzern. Leg. F. Schumm, 27.12.2003, det. F. Schumm, 01.2004. - C+ orange. Sporen 1-zellig, hyalin, zu 8, 14,2-16,3 x 8,7-10,9 μm; Epithecium ca. 33 μm, Paraphysenenden mit schwach grünlichen Kappen; Hymenium nicht inspers, 55 μm; Hypothecium braun, ca. 44 μm; Paraphysen relativ dick, mäßig verzweigt, in K leicht trennbar.


Felix Schumm - CC BY-SA 4.0
[11359]. PORTUGAL, MADEIRA: Nördlich Funchal an der Straße zwischen Monte und Poiso; Erica-Kiefern-Fichtenzone mit viel Degelia plumbea; 32°42.364' N, 16°53.625' W, 1330 m; an Nadelhölzern. Leg. F. Schumm, 27.12.2003, det. F. Schumm, 01.2004. - C+ orange. Sporen 1-zellig, hyalin, zu 8, 14,2-16,3 x 8,7-10,9 μm; Epithecium ca. 33 μm, Paraphysenenden mit schwach grünlichen Kappen; Hymenium nicht inspers, 55 μm; Hypothecium braun, ca. 44 μm; Paraphysen relativ dick, mäßig verzweigt, in K leicht trennbar.


Felix Schumm - CC BY-SA 4.0
[11359]. PORTUGAL, MADEIRA: Nördlich Funchal an der Straße zwischen Monte und Poiso; Erica-Kiefern-Fichtenzone mit viel Degelia plumbea; 32°42.364' N, 16°53.625' W, 1330 m; an Nadelhölzern. Leg. F. Schumm, 27.12.2003, det. F. Schumm, 01.2004. - C+ orange. Sporen 1-zellig, hyalin, zu 8, 14,2-16,3 x 8,7-10,9 μm; Epithecium ca. 33 μm, Paraphysenenden mit schwach grünlichen Kappen; Hymenium nicht inspers, 55 μm; Hypothecium braun, ca. 44 μm; Paraphysen relativ dick, mäßig verzweigt, in K leicht trennbar.


Felix Schumm - CC BY-SA 4.0
[11359]. PORTUGAL, MADEIRA: Nördlich Funchal an der Straße zwischen Monte und Poiso; Erica-Kiefern-Fichtenzone mit viel Degelia plumbea; 32°42.364' N, 16°53.625' W, 1330 m; an Nadelhölzern. Leg. F. Schumm, 27.12.2003, det. F. Schumm, 01.2004. - C+ orange. Sporen 1-zellig, hyalin, zu 8, 14,2-16,3 x 8,7-10,9 μm; Epithecium ca. 33 μm, Paraphysenenden mit schwach grünlichen Kappen; Hymenium nicht inspers, 55 μm; Hypothecium braun, ca. 44 μm; Paraphysen relativ dick, mäßig verzweigt, in K leicht trennbar.


Felix Schumm - CC BY-SA 4.0
[11359]. PORTUGAL, MADEIRA: Nördlich Funchal an der Straße zwischen Monte und Poiso; Erica-Kiefern-Fichtenzone mit viel Degelia plumbea; 32°42.364' N, 16°53.625' W, 1330 m; an Nadelhölzern. Leg. F. Schumm, 27.12.2003, det. F. Schumm, 01.2004. - C+ orange. Sporen 1-zellig, hyalin, zu 8, 14,2-16,3 x 8,7-10,9 μm; Epithecium ca. 33 μm, Paraphysenenden mit schwach grünlichen Kappen; Hymenium nicht inspers, 55 μm; Hypothecium braun, ca. 44 μm; Paraphysen relativ dick, mäßig verzweigt, in K leicht trennbar.


Felix Schumm - CC BY-SA 4.0
[11359]. PORTUGAL, MADEIRA: Nördlich Funchal an der Straße zwischen Monte und Poiso; Erica-Kiefern-Fichtenzone mit viel Degelia plumbea; 32°42.364' N, 16°53.625' W, 1330 m; an Nadelhölzern. Leg. F. Schumm, 27.12.2003, det. F. Schumm, 01.2004. - C+ orange. Sporen 1-zellig, hyalin, zu 8, 14,2-16,3 x 8,7-10,9 μm; Epithecium ca. 33 μm, Paraphysenenden mit schwach grünlichen Kappen; Hymenium nicht inspers, 55 μm; Hypothecium braun, ca. 44 μm; Paraphysen relativ dick, mäßig verzweigt, in K leicht trennbar.


Felix Schumm - CC BY-SA 4.0
[11359]. PORTUGAL, MADEIRA: Nördlich Funchal an der Straße zwischen Monte und Poiso; Erica-Kiefern-Fichtenzone mit viel Degelia plumbea; 32°42.364' N, 16°53.625' W, 1330 m; an Nadelhölzern. Leg. F. Schumm, 27.12.2003, det. F. Schumm, 01.2004. - C+ orange. Sporen 1-zellig, hyalin, zu 8, 14,2-16,3 x 8,7-10,9 μm; Epithecium ca. 33 μm, Paraphysenenden mit schwach grünlichen Kappen; Hymenium nicht inspers, 55 μm; Hypothecium braun, ca. 44 μm; Paraphysen relativ dick, mäßig verzweigt, in K leicht trennbar.


Felix Schumm - CC BY-SA 4.0
[11359]. PORTUGAL, MADEIRA: Nördlich Funchal an der Straße zwischen Monte und Poiso; Erica-Kiefern-Fichtenzone mit viel Degelia plumbea; 32°42.364' N, 16°53.625' W, 1330 m; an Nadelhölzern. Leg. F. Schumm, 27.12.2003, det. F. Schumm, 01.2004. - C+ orange. Sporen 1-zellig, hyalin, zu 8, 14,2-16,3 x 8,7-10,9 μm; Epithecium ca. 33 μm, Paraphysenenden mit schwach grünlichen Kappen; Hymenium nicht inspers, 55 μm; Hypothecium braun, ca. 44 μm; Paraphysen relativ dick, mäßig verzweigt, in K leicht trennbar.


Felix Schumm - CC BY-SA 4.0
[16498], GERMANY: Baden-Württemberg, Kreis Göppingen, südlich des Krettenhofes beim Parkplatz Hohrain, 48,73991° N, 9,67280° E, 400m, auf Carpinus. TK: 7224. Leg. F. Schumm, 01.05.2010. det. F. Schumm, 2010. - Thallus K+ gelblich, C-, KC+ orange, UVL+ dunkelorange. Sporen hyalin, 1-zellig, 8/Ascus, Excipipulum außen grünlichschwärzlich, Hypothecium braun, Epith. grünlich-schwärzlich.


Felix Schumm - CC BY-SA 4.0
[16498], GERMANY: Baden-Württemberg, Kreis Göppingen, südlich des Krettenhofes beim Parkplatz Hohrain, 48,73991° N, 9,67280° E, 400m, auf Carpinus. TK: 7224. Leg. F. Schumm, 01.05.2010. det. F. Schumm, 2010. - Thallus K+ gelblich, C-, KC+ orange, UVL+ dunkelorange. Sporen hyalin, 1-zellig, 8/Ascus, Excipipulum außen grünlichschwärzlich, Hypothecium braun, Epith. grünlich-schwärzlich.


Felix Schumm - CC BY-SA 4.0
[16498], GERMANY: Baden-Württemberg, Kreis Göppingen, südlich des Krettenhofes beim Parkplatz Hohrain, 48,73991° N, 9,67280° E, 400m, auf Carpinus. TK: 7224. Leg. F. Schumm, 01.05.2010. det. F. Schumm, 2010. - Thallus K+ gelblich, C-, KC+ orange, UVL+ dunkelorange. Sporen hyalin, 1-zellig, 8/Ascus, Excipipulum außen grünlichschwärzlich, Hypothecium braun, Epith. grünlich-schwärzlich.


Felix Schumm - CC BY-SA 4.0
[16498], GERMANY: Baden-Württemberg, Kreis Göppingen, südlich des Krettenhofes beim Parkplatz Hohrain, 48,73991° N, 9,67280° E, 400m, auf Carpinus. TK: 7224. Leg. F. Schumm, 01.05.2010. det. F. Schumm, 2010. - Thallus K+ gelblich, C-, KC+ orange, UVL+ dunkelorange. Sporen hyalin, 1-zellig, 8/Ascus, Excipipulum außen grünlichschwärzlich, Hypothecium braun, Epith. grünlich-schwärzlich.


Felix Schumm - CC BY-SA 4.0
[16498], GERMANY: Baden-Württemberg, Kreis Göppingen, südlich des Krettenhofes beim Parkplatz Hohrain, 48,73991° N, 9,67280° E, 400m, auf Carpinus. TK: 7224. Leg. F. Schumm, 01.05.2010. det. F. Schumm, 2010. - Thallus K+ gelblich, C-, KC+ orange, UVL+ dunkelorange. Sporen hyalin, 1-zellig, 8/Ascus, Excipipulum außen grünlichschwärzlich, Hypothecium braun, Epith. grünlich-schwärzlich.


Felix Schumm - CC BY-SA 4.0
[16498], GERMANY: Baden-Württemberg, Kreis Göppingen, südlich des Krettenhofes beim Parkplatz Hohrain, 48,73991° N, 9,67280° E, 400m, auf Carpinus. TK: 7224. Leg. F. Schumm, 01.05.2010. det. F. Schumm, 2010. - Thallus K+ gelblich, C-, KC+ orange, UVL+ dunkelorange. Sporen hyalin, 1-zellig, 8/Ascus, Excipipulum außen grünlichschwärzlich, Hypothecium braun, Epith. grünlich-schwärzlich.


Felix Schumm - CC BY-SA 4.0
[16498], GERMANY: Baden-Württemberg, Kreis Göppingen, südlich des Krettenhofes beim Parkplatz Hohrain, 48,73991° N, 9,67280° E, 400m, auf Carpinus. TK: 7224. Leg. F. Schumm, 01.05.2010. det. F. Schumm, 2010. - Thallus K+ gelblich, C-, KC+ orange, UVL+ dunkelorange. Sporen hyalin, 1-zellig, 8/Ascus, Excipipulum außen grünlichschwärzlich, Hypothecium braun, Epith. grünlich-schwärzlich.


Felix Schumm - CC BY-SA 4.0
[16498], GERMANY: Baden-Württemberg, Kreis Göppingen, südlich des Krettenhofes beim Parkplatz Hohrain, 48,73991° N, 9,67280° E, 400m, auf Carpinus. TK: 7224. Leg. F. Schumm, 01.05.2010. det. F. Schumm, 2010. - Thallus K+ gelblich, C-, KC+ orange, UVL+ dunkelorange. Sporen hyalin, 1-zellig, 8/Ascus, Excipipulum außen grünlichschwärzlich, Hypothecium braun, Epith. grünlich-schwärzlich.


Felix Schumm - CC BY-SA 4.0
[16498], GERMANY: Baden-Württemberg, Kreis Göppingen, südlich des Krettenhofes beim Parkplatz Hohrain, 48,73991° N, 9,67280° E, 400m, auf Carpinus. TK: 7224. Leg. F. Schumm, 01.05.2010. det. F. Schumm, 2010. - Thallus K+ gelblich, C-, KC+ orange, UVL+ dunkelorange. Sporen hyalin, 1-zellig, 8/Ascus, Excipipulum außen grünlichschwärzlich, Hypothecium braun, Epith. grünlich-schwärzlich.


Felix Schumm - CC BY-SA 4.0
[16498], GERMANY: Baden-Württemberg, Kreis Göppingen, südlich des Krettenhofes beim Parkplatz Hohrain, 48,73991° N, 9,67280° E, 400m, auf Carpinus. TK: 7224. Leg. F. Schumm, 01.05.2010. det. F. Schumm, 2010. - Thallus K+ gelblich, C-, KC+ orange, UVL+ dunkelorange. Sporen hyalin, 1-zellig, 8/Ascus, Excipipulum außen grünlichschwärzlich, Hypothecium braun, Epith. grünlich-schwärzlich.


Felix Schumm - CC BY-SA 4.0
[16498], GERMANY: Baden-Württemberg, Kreis Göppingen, südlich des Krettenhofes beim Parkplatz Hohrain, 48,73991° N, 9,67280° E, 400m, auf Carpinus. TK: 7224. Leg. F. Schumm, 01.05.2010. det. F. Schumm, 2010. - Thallus K+ gelblich, C-, KC+ orange, UVL+ dunkelorange. Sporen hyalin, 1-zellig, 8/Ascus, Excipipulum außen grünlichschwärzlich, Hypothecium braun, Epith. grünlich-schwärzlich.


Felix Schumm - CC BY-SA 4.0
[16498], GERMANY: Baden-Württemberg, Kreis Göppingen, südlich des Krettenhofes beim Parkplatz Hohrain, 48,73991° N, 9,67280° E, 400m, auf Carpinus. TK: 7224. Leg. F. Schumm, 01.05.2010. det. F. Schumm, 2010. - Thallus K+ gelblich, C-, KC+ orange, UVL+ dunkelorange. Sporen hyalin, 1-zellig, 8/Ascus, Excipipulum außen grünlichschwärzlich, Hypothecium braun, Epith. grünlich-schwärzlich.


Felix Schumm - CC BY-SA 4.0
[LS18132], Niederlande, Wilg, Houten, Fort „Memeltje“.ex Hervario Leo Spier (nr. 1832) - Notizen von L. Spier: Hymenium nicht inspers. Paraphysen unverzweigt, locker, 1-1.5 μm dick, apical unverdickt. Hypothecium hyalin, bis schwach gelblich. Sporen hyalin, 1-zellig, 8/Ascus, 8.3-10 x 5-6.7 μm. Chemie: P- - Farbvariante!.


Felix Schumm - CC BY-SA 4.0
[LS18132], Niederlande, Wilg, Houten, Fort „Memeltje“.ex Hervario Leo Spier (nr. 1832) - Notizen von L. Spier: Hymenium nicht inspers. Paraphysen unverzweigt, locker, 1-1.5 μm dick, apical unverdickt. Hypothecium hyalin, bis schwach gelblich. Sporen hyalin, 1-zellig, 8/Ascus, 8.3-10 x 5-6.7 μm. Chemie: P- - Farbvariante!.


Felix Schumm - CC BY-SA 4.0
[LS18132], Niederlande, Wilg, Houten, Fort „Memeltje“.ex Hervario Leo Spier (nr. 1832) - Notizen von L. Spier: Hymenium nicht inspers. Paraphysen unverzweigt, locker, 1-1.5 μm dick, apical unverdickt. Hypothecium hyalin, bis schwach gelblich. Sporen hyalin, 1-zellig, 8/Ascus, 8.3-10 x 5-6.7 μm. Chemie: P- - Farbvariante!.


Felix Schumm - CC BY-SA 4.0
[LS18132], Niederlande, Wilg, Houten, Fort „Memeltje“.ex Hervario Leo Spier (nr. 1832) - Notizen von L. Spier: Hymenium nicht inspers. Paraphysen unverzweigt, locker, 1-1.5 μm dick, apical unverdickt. Hypothecium hyalin, bis schwach gelblich. Sporen hyalin, 1-zellig, 8/Ascus, 8.3-10 x 5-6.7 μm. Chemie: P- - Farbvariante!.


Felix Schumm - CC BY-SA 4.0
[LS18132], Niederlande, Wilg, Houten, Fort „Memeltje“.ex Hervario Leo Spier (nr. 1832) - Notizen von L. Spier: Hymenium nicht inspers. Paraphysen unverzweigt, locker, 1-1.5 μm dick, apical unverdickt. Hypothecium hyalin, bis schwach gelblich. Sporen hyalin, 1-zellig, 8/Ascus, 8.3-10 x 5-6.7 μm. Chemie: P- - Farbvariante!.


Felix Schumm - CC BY-SA 4.0
[LS18132], Niederlande, Wilg, Houten, Fort „Memeltje“.ex Hervario Leo Spier (nr. 1832) - Notizen von L. Spier: Hymenium nicht inspers. Paraphysen unverzweigt, locker, 1-1.5 μm dick, apical unverdickt. Hypothecium hyalin, bis schwach gelblich. Sporen hyalin, 1-zellig, 8/Ascus, 8.3-10 x 5-6.7 μm. Chemie: P- - Farbvariante!.


Felix Schumm - CC BY-SA 4.0
[LS18132], Niederlande, Wilg, Houten, Fort „Memeltje“.ex Hervario Leo Spier (nr. 1832) - Notizen von L. Spier: Hymenium nicht inspers. Paraphysen unverzweigt, locker, 1-1.5 μm dick, apical unverdickt. Hypothecium hyalin, bis schwach gelblich. Sporen hyalin, 1-zellig, 8/Ascus, 8.3-10 x 5-6.7 μm. Chemie: P- - Farbvariante!.


Felix Schumm - CC BY-SA 4.0
[LS18132], Niederlande, Wilg, Houten, Fort „Memeltje“.ex Hervario Leo Spier (nr. 1832) - Notizen von L. Spier: Hymenium nicht inspers. Paraphysen unverzweigt, locker, 1-1.5 μm dick, apical unverdickt. Hypothecium hyalin, bis schwach gelblich. Sporen hyalin, 1-zellig, 8/Ascus, 8.3-10 x 5-6.7 μm. Chemie: P- - Farbvariante!.


Felix Schumm - CC BY-SA 4.0
[LS18132], Niederlande, Wilg, Houten, Fort „Memeltje“.ex Hervario Leo Spier (nr. 1832) - Notizen von L. Spier: Hymenium nicht inspers. Paraphysen unverzweigt, locker, 1-1.5 μm dick, apical unverdickt. Hypothecium hyalin, bis schwach gelblich. Sporen hyalin, 1-zellig, 8/Ascus, 8.3-10 x 5-6.7 μm. Chemie: P- - Farbvariante!.


Felix Schumm - CC BY-SA 4.0
[LS18132], Niederlande, Wilg, Houten, Fort „Memeltje“.ex Hervario Leo Spier (nr. 1832) - Notizen von L. Spier: Hymenium nicht inspers. Paraphysen unverzweigt, locker, 1-1.5 μm dick, apical unverdickt. Hypothecium hyalin, bis schwach gelblich. Sporen hyalin, 1-zellig, 8/Ascus, 8.3-10 x 5-6.7 μm. Chemie: P- - Farbvariante!.


Felix Schumm - CC BY-SA 4.0
[LS18132], Niederlande, Wilg, Houten, Fort „Memeltje“.ex Hervario Leo Spier (nr. 1832) - Notizen von L. Spier: Hymenium nicht inspers. Paraphysen unverzweigt, locker, 1-1.5 μm dick, apical unverdickt. Hypothecium hyalin, bis schwach gelblich. Sporen hyalin, 1-zellig, 8/Ascus, 8.3-10 x 5-6.7 μm. Chemie: P- - Farbvariante!.


Felix Schumm - CC BY-SA 4.0
[LS18132], Niederlande, Wilg, Houten, Fort „Memeltje“.ex Hervario Leo Spier (nr. 1832) - Notizen von L. Spier: Hymenium nicht inspers. Paraphysen unverzweigt, locker, 1-1.5 μm dick, apical unverdickt. Hypothecium hyalin, bis schwach gelblich. Sporen hyalin, 1-zellig, 8/Ascus, 8.3-10 x 5-6.7 μm. Chemie: P- - Farbvariante!.


Felix Schumm - CC BY-SA 4.0
[LS18132], Niederlande, Wilg, Houten, Fort „Memeltje“.ex Hervario Leo Spier (nr. 1832) - Notizen von L. Spier: Hymenium nicht inspers. Paraphysen unverzweigt, locker, 1-1.5 μm dick, apical unverdickt. Hypothecium hyalin, bis schwach gelblich. Sporen hyalin, 1-zellig, 8/Ascus, 8.3-10 x 5-6.7 μm. Chemie: P- - Farbvariante!.


Felix Schumm - CC BY-SA 4.0
[LS18132], Niederlande, Wilg, Houten, Fort „Memeltje“.ex Hervario Leo Spier (nr. 1832) - Notizen von L. Spier: Hymenium nicht inspers. Paraphysen unverzweigt, locker, 1-1.5 μm dick, apical unverdickt. Hypothecium hyalin, bis schwach gelblich. Sporen hyalin, 1-zellig, 8/Ascus, 8.3-10 x 5-6.7 μm. Chemie: P- - Farbvariante!.


Felix Schumm - CC BY-SA 4.0
[LS18132], Niederlande, Wilg, Houten, Fort „Memeltje“.ex Hervario Leo Spier (nr. 1832) - Notizen von L. Spier: Hymenium nicht inspers. Paraphysen unverzweigt, locker, 1-1.5 μm dick, apical unverdickt. Hypothecium hyalin, bis schwach gelblich. Sporen hyalin, 1-zellig, 8/Ascus, 8.3-10 x 5-6.7 μm. Chemie: P- - Farbvariante!.


Felix Schumm - CC BY-SA 4.0
[LS18132], Niederlande, Wilg, Houten, Fort „Memeltje“.ex Hervario Leo Spier (nr. 1832) - Notizen von L. Spier: Hymenium nicht inspers. Paraphysen unverzweigt, locker, 1-1.5 μm dick, apical unverdickt. Hypothecium hyalin, bis schwach gelblich. Sporen hyalin, 1-zellig, 8/Ascus, 8.3-10 x 5-6.7 μm. Chemie: P- - Farbvariante!.


Felix Schumm - CC BY-SA 4.0
[LS18132], Niederlande, Wilg, Houten, Fort „Memeltje“.ex Hervario Leo Spier (nr. 1832) - Notizen von L. Spier: Hymenium nicht inspers. Paraphysen unverzweigt, locker, 1-1.5 μm dick, apical unverdickt. Hypothecium hyalin, bis schwach gelblich. Sporen hyalin, 1-zellig, 8/Ascus, 8.3-10 x 5-6.7 μm. Chemie: P- - Farbvariante!.


Felix Schumm - CC BY-SA 4.0
[LS18132], Niederlande, Wilg, Houten, Fort „Memeltje“.ex Hervario Leo Spier (nr. 1832) - Notizen von L. Spier: Hymenium nicht inspers. Paraphysen unverzweigt, locker, 1-1.5 μm dick, apical unverdickt. Hypothecium hyalin, bis schwach gelblich. Sporen hyalin, 1-zellig, 8/Ascus, 8.3-10 x 5-6.7 μm. Chemie: P- - Farbvariante!.


Felix Schumm - CC BY-SA 4.0
[LS18132], Niederlande, Wilg, Houten, Fort „Memeltje“.ex Hervario Leo Spier (nr. 1832) - Notizen von L. Spier: Hymenium nicht inspers. Paraphysen unverzweigt, locker, 1-1.5 μm dick, apical unverdickt. Hypothecium hyalin, bis schwach gelblich. Sporen hyalin, 1-zellig, 8/Ascus, 8.3-10 x 5-6.7 μm. Chemie: P- - Farbvariante!.


Felix Schumm - CC BY-SA 4.0
[LS18132], Niederlande, Wilg, Houten, Fort „Memeltje“.ex Hervario Leo Spier (nr. 1832) - Notizen von L. Spier: Hymenium nicht inspers. Paraphysen unverzweigt, locker, 1-1.5 μm dick, apical unverdickt. Hypothecium hyalin, bis schwach gelblich. Sporen hyalin, 1-zellig, 8/Ascus, 8.3-10 x 5-6.7 μm. Chemie: P- - Farbvariante!.


Felix Schumm - CC BY-SA 4.0
[LS18132], Niederlande, Wilg, Houten, Fort „Memeltje“.ex Hervario Leo Spier (nr. 1832) - Notizen von L. Spier: Hymenium nicht inspers. Paraphysen unverzweigt, locker, 1-1.5 μm dick, apical unverdickt. Hypothecium hyalin, bis schwach gelblich. Sporen hyalin, 1-zellig, 8/Ascus, 8.3-10 x 5-6.7 μm. Chemie: P- - Farbvariante!.

Collezione lichenologica Abramo Massalongo del Museo di Storia Naturale G. Ligabue di Venezia - Autori: Seggi, Linda; Trabucco, Raffaella Proprietà: Fondazione Musei Civici di Venezia - CC BY-NC
Italy, Veneto, in Euganeis (Rua)
ISOTYPE of Biatora ambigua

Collezione lichenologica Abramo Massalongo del Museo di Storia Naturale G. Ligabue di Venezia - Autori: Seggi, Linda; Trabucco, Raffaella Proprietà: Fondazione Musei Civici di Venezia - CC BY-NC
Italy, Veneto, in op. Tregnago
as Lecidea enteroleuca ?

Collezione lichenologica Abramo Massalongo del Museo di Storia Naturale G. Ligabue di Venezia - Autori: Seggi, Linda; Trabucco, Raffaella Proprietà: Fondazione Musei Civici di Venezia - CC BY-NC
Italy, Veneto, in op. Galzignano 1855
As Lecidea olivaces
