Vahliella atlantica (P.M. Jørg. & P. James) P.M. Jørg.
Lichenologist, 40: 223, 2008. Basionym: Fuscopannaria atlantica P.M. Jørg. & P. James - Lichenologist, 37, 5: 2005.
Synonyms: Pannaria italica Gyeln.; Pannaria microphylla var. italica Gyeln. nom. inval.
Distribution: N - Lig (Jørgensen 2005).
Description: Thallus crustose to subsquamulose, heteromerous, thick, dark grey, partly coevred with 0.1-0.2 mm thick, corticate isidia, forming up to 5 cm wide, irregular patches, sometimes delimited by an inconspicuous, blue-black prothallus. Upper cortex of 2-3 layers of thick-walled cells; medulla white, loose, gradually merging into the rhizohyphae; lower cortex absent. Apothecia lecanorine, to 2 mm across, often clustered, with a brown, flat to finally convex disc and a granular thalline margin. Proper exciple paraplectenchymatous, up to 40 μm wide; epithecium brownish; hymenium pale brown, 100-120 μm high, I+ blue-green turning reddish; paraphyses simple, c. 2 μm thick, the apical cells clavate; hypothecium colourless to brownish, up to 150 μm high. Asci 8-spored, clavate to subcylindrical, with a thin, sheet-like, densely and persistently amyloid layer capping the endoascus and an amyloid exoascus, but no other densely amyloid internal structures. Ascospores 1-celled, hyaline, ellipsoid, 15-25(-30) x 6-8 μm, smooth-walled, without a perispore, often guttulate. Photobiont cyanobacterial (Nostoc, the cells in clusters). Spot tests: cortex and medulla K-, C-, KC-, P-, UV-. Chemistry: without lichen substances. Note: a Macaronesian-subatlantic, terricolous lichen extending as far north as Scotland and western Scandinavia, with a single disjunct station in Liguria (Varazze).
Growth form: Crustose
Substrata: soil, terricolous mosses, and plant debris
Photobiont: cyanobacteria, filamentous (e.g. Nostoc, Scytonema)
Reproductive strategy: mainly sexual
Restricted to humid-warm, oceanic areas
Taxon bound to maritime-coastal situations
Commonnes-rarity: (info)
Alpine belt: absent
Subalpine belt: absent
Oromediterranean belt: absent
Montane belt: absent
Submediterranean belt: absent
Padanian area: absent
Humid submediterranean belt: extremely rare
Humid mediterranean belt: absent
Dry mediterranean belt: absent

Predictive model


Felix Schumm - CC BY-SA 4.0
[11167], Portugal, Azoren, Sao Miguel: Zwischen Provoacao und Fajal
da Terra, Straßenböschung, wind- und Nebeloffen, 37°45.009' N,
25°13.073' W, 420 m, an Steinen. Leg. F. Schumm 05.06.2003, det. P.
M.Jørgensen, 2007. - Ohne Thalluslappen nur aus "sorediösen", homoeomeren,
Isidien bestehend, Hymenium J+ rot, Sporen 15,3 x 8,7 μm,
Apothecien mit Eigenrand ohne echten Thallusrand (keine AZ im
Rand). Thallus P-.

Source: Printzen, C., Cezanne, R., Eichler, M., Jørgensen, P.M. & Teuber, D. 2018. An unusual record of Vahliella atlantica from Central Europe. Graphis Scripta 30 (6): 88–93. Oslo. ISSN 2002-4495. - CC BY-4.0
V. atlantica, Teuber 3831 (FR-0048449). Scale bar = 0.5 mm.


Felix Schumm - CC BY-SA 4.0
[11167], Portugal, Azoren, Sao Miguel: Zwischen Provoacao und Fajal
da Terra, Straßenböschung, wind- und Nebeloffen, 37°45.009' N,
25°13.073' W, 420 m, an Steinen. Leg. F. Schumm 05.06.2003, det. P.
M.Jørgensen, 2007. - Ohne Thalluslappen nur aus "sorediösen", homoeomeren,
Isidien bestehend, Hymenium J+ rot, Sporen 15,3 x 8,7 μm,
Apothecien mit Eigenrand ohne echten Thallusrand (keine AZ im
Rand). Thallus P-.


Felix Schumm - CC BY-SA 4.0
[11167], Portugal, Azoren, Sao Miguel: Zwischen Provoacao und Fajal
da Terra, Straßenböschung, wind- und Nebeloffen, 37°45.009' N,
25°13.073' W, 420 m, an Steinen. Leg. F. Schumm 05.06.2003, det. P.
M.Jørgensen, 2007. - Ohne Thalluslappen nur aus "sorediösen", homoeomeren,
Isidien bestehend, Hymenium J+ rot, Sporen 15,3 x 8,7 μm,
Apothecien mit Eigenrand ohne echten Thallusrand (keine AZ im
Rand). Thallus P-.


Felix Schumm - CC BY-SA 4.0
[11167], Portugal, Azoren, Sao Miguel: Zwischen Provoacao und Fajal
da Terra, Straßenböschung, wind- und Nebeloffen, 37°45.009' N,
25°13.073' W, 420 m, an Steinen. Leg. F. Schumm 05.06.2003, det. P.
M.Jørgensen, 2007. - Ohne Thalluslappen nur aus "sorediösen", homoeomeren,
Isidien bestehend, Hymenium J+ rot, Sporen 15,3 x 8,7 μm,
Apothecien mit Eigenrand ohne echten Thallusrand (keine AZ im
Rand). Thallus P-.


Felix Schumm - CC BY-SA 4.0
[11167], Portugal, Azoren, Sao Miguel: Zwischen Provoacao und Fajal
da Terra, Straßenböschung, wind- und Nebeloffen, 37°45.009' N,
25°13.073' W, 420 m, an Steinen. Leg. F. Schumm 05.06.2003, det. P.
M.Jørgensen, 2007. - Ohne Thalluslappen nur aus "sorediösen", homoeomeren,
Isidien bestehend, Hymenium J+ rot, Sporen 15,3 x 8,7 μm,
Apothecien mit Eigenrand ohne echten Thallusrand (keine AZ im
Rand). Thallus P-.


Felix Schumm - CC BY-SA 4.0
[11167], Portugal, Azoren, Sao Miguel: Zwischen Provoacao und Fajal
da Terra, Straßenböschung, wind- und Nebeloffen, 37°45.009' N,
25°13.073' W, 420 m, an Steinen. Leg. F. Schumm 05.06.2003, det. P.
M.Jørgensen, 2007. - Ohne Thalluslappen nur aus "sorediösen", homoeomeren,
Isidien bestehend, Hymenium J+ rot, Sporen 15,3 x 8,7 μm,
Apothecien mit Eigenrand ohne echten Thallusrand (keine AZ im
Rand). Thallus P-.


Felix Schumm - CC BY-SA 4.0
[11167], Portugal, Azoren, Sao Miguel: Zwischen Provoacao und Fajal
da Terra, Straßenböschung, wind- und Nebeloffen, 37°45.009' N,
25°13.073' W, 420 m, an Steinen. Leg. F. Schumm 05.06.2003, det. P.
M.Jørgensen, 2007. - Ohne Thalluslappen nur aus "sorediösen", homoeomeren,
Isidien bestehend, Hymenium J+ rot, Sporen 15,3 x 8,7 μm,
Apothecien mit Eigenrand ohne echten Thallusrand (keine AZ im
Rand). Thallus P-.


Felix Schumm - CC BY-SA 4.0
[11167], Portugal, Azoren, Sao Miguel: Zwischen Provoacao und Fajal
da Terra, Straßenböschung, wind- und Nebeloffen, 37°45.009' N,
25°13.073' W, 420 m, an Steinen. Leg. F. Schumm 05.06.2003, det. P.
M.Jørgensen, 2007. - Ohne Thalluslappen nur aus "sorediösen", homoeomeren,
Isidien bestehend, Hymenium J+ rot, Sporen 15,3 x 8,7 μm,
Apothecien mit Eigenrand ohne echten Thallusrand (keine AZ im
Rand). Thallus P-.


Felix Schumm - CC BY-SA 4.0
[11167], Portugal, Azoren, Sao Miguel: Zwischen Provoacao und Fajal
da Terra, Straßenböschung, wind- und Nebeloffen, 37°45.009' N,
25°13.073' W, 420 m, an Steinen. Leg. F. Schumm 05.06.2003, det. P.
M.Jørgensen, 2007. - Ohne Thalluslappen nur aus "sorediösen", homoeomeren,
Isidien bestehend, Hymenium J+ rot, Sporen 15,3 x 8,7 μm,
Apothecien mit Eigenrand ohne echten Thallusrand (keine AZ im
Rand). Thallus P-.


Felix Schumm - CC BY-SA 4.0
[11167], Portugal, Azoren, Sao Miguel: Zwischen Provoacao und Fajal
da Terra, Straßenböschung, wind- und Nebeloffen, 37°45.009' N,
25°13.073' W, 420 m, an Steinen. Leg. F. Schumm 05.06.2003, det. P.
M.Jørgensen, 2007. - Ohne Thalluslappen nur aus "sorediösen", homoeomeren,
Isidien bestehend, Hymenium J+ rot, Sporen 15,3 x 8,7 μm,
Apothecien mit Eigenrand ohne echten Thallusrand (keine AZ im
Rand). Thallus P-.


Felix Schumm - CC BY-SA 4.0
[11167], Portugal, Azoren, Sao Miguel: Zwischen Provoacao und Fajal
da Terra, Straßenböschung, wind- und Nebeloffen, 37°45.009' N,
25°13.073' W, 420 m, an Steinen. Leg. F. Schumm 05.06.2003, det. P.
M.Jørgensen, 2007. - Ohne Thalluslappen nur aus "sorediösen", homoeomeren,
Isidien bestehend, Hymenium J+ rot, Sporen 15,3 x 8,7 μm,
Apothecien mit Eigenrand ohne echten Thallusrand (keine AZ im
Rand). Thallus P-.


Felix Schumm - CC BY-SA 4.0
[11167], Portugal, Azoren, Sao Miguel: Zwischen Provoacao und Fajal
da Terra, Straßenböschung, wind- und Nebeloffen, 37°45.009' N,
25°13.073' W, 420 m, an Steinen. Leg. F. Schumm 05.06.2003, det. P.
M.Jørgensen, 2007. - Ohne Thalluslappen nur aus "sorediösen", homoeomeren,
Isidien bestehend, Hymenium J+ rot, Sporen 15,3 x 8,7 μm,
Apothecien mit Eigenrand ohne echten Thallusrand (keine AZ im
Rand). Thallus P-.


Felix Schumm - CC BY-SA 4.0
[11167], Portugal, Azoren, Sao Miguel: Zwischen Provoacao und Fajal
da Terra, Straßenböschung, wind- und Nebeloffen, 37°45.009' N,
25°13.073' W, 420 m, an Steinen. Leg. F. Schumm 05.06.2003, det. P.
M.Jørgensen, 2007. - Ohne Thalluslappen nur aus "sorediösen", homoeomeren,
Isidien bestehend, Hymenium J+ rot, Sporen 15,3 x 8,7 μm,
Apothecien mit Eigenrand ohne echten Thallusrand (keine AZ im
Rand). Thallus P-.


Felix Schumm – CC BY-SA 4.0
Image from: F. Schumm (2008) - Flechten Madeiras, der Kanaren und Azoren. Beck, OHG - ISBN: 978-3-00-023700-3

Source: Printzen, C., Cezanne, R., Eichler, M., Jørgensen, P.M. & Teuber, D. 2018. An unusual record of Vahliella atlantica from Central Europe. Graphis Scripta 30 (6): 88–93. Oslo. ISSN 2002-4495. - CC BY-4.0
U.K., Cornwall, Isles of Scilly, Printzen 825 (FR-0077387). Scale bar = 0.5 mm.

Source: Printzen, C., Cezanne, R., Eichler, M., Jørgensen, P.M. & Teuber, D. 2018. An unusual record of Vahliella atlantica from Central Europe. Graphis Scripta 30 (6): 88–93. Oslo. ISSN 2002-4495. - CC BY-4.0
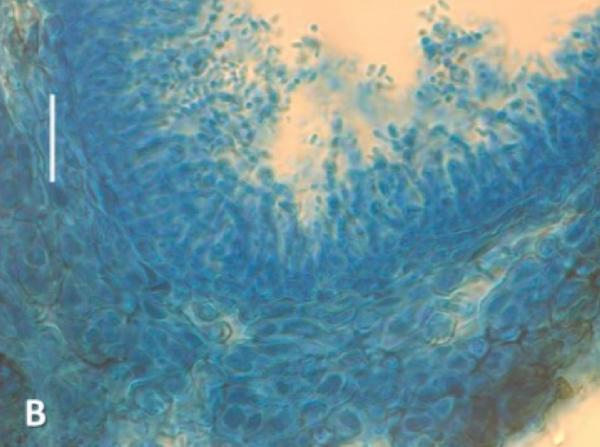
Cross sections of thalli in LCB showing differences in cortex structure: brown, multi-layered in
Vahliella atlantica. Scale bar = 50 μm

Source: Printzen, C., Cezanne, R., Eichler, M., Jørgensen, P.M. & Teuber, D. 2018. An unusual record of Vahliella atlantica from Central Europe. Graphis Scripta 30 (6): 88–93. Oslo. ISSN 2002-4495. - CC BY-4.0
Vahliella atlantica, Teuber 3831 (FR-0048449). A. Overview of
pycnidium in LCB. Scale bar: 50 micron

Source: Printzen, C., Cezanne, R., Eichler, M., Jørgensen, P.M. & Teuber, D. 2018. An unusual record of Vahliella atlantica from Central Europe. Graphis Scripta 30 (6): 88–93. Oslo. ISSN 2002-4495. - CC BY-4.0
Vahliella atlantica, . Detail of pycnidium in LCB showing short, bacilliform conidia. Scale bar: 20 micron

Source: Printzen, C., Cezanne, R., Eichler, M., Jørgensen, P.M. & Teuber, D. 2018. An unusual record of Vahliella atlantica from Central Europe. Graphis Scripta 30 (6): 88–93. Oslo. ISSN 2002-4495. - CC BY-4.0
Vahliella atlantica, . Teuber 3831 (FR-0048449).. C. Asci in Lugol’s
solution showing dark amyloid apical part. Scale bar: 20 micron
Growth form: Crustose
Substrata: soil, terricolous mosses, and plant debris
Photobiont: cyanobacteria, filamentous (e.g. Nostoc, Scytonema)
Reproductive strategy: mainly sexual
Restricted to humid-warm, oceanic areas
Taxon bound to maritime-coastal situations
Commonnes-rarity: (info)
Alpine belt: absent
Subalpine belt: absent
Oromediterranean belt: absent
Montane belt: absent
Submediterranean belt: absent
Padanian area: absent
Humid submediterranean belt: extremely rare
Humid mediterranean belt: absent
Dry mediterranean belt: absent

Predictive model

Felix Schumm - CC BY-SA 4.0
[11167], Portugal, Azoren, Sao Miguel: Zwischen Provoacao und Fajal da Terra, Straßenböschung, wind- und Nebeloffen, 37°45.009' N, 25°13.073' W, 420 m, an Steinen. Leg. F. Schumm 05.06.2003, det. P. M.Jørgensen, 2007. - Ohne Thalluslappen nur aus "sorediösen", homoeomeren, Isidien bestehend, Hymenium J+ rot, Sporen 15,3 x 8,7 μm, Apothecien mit Eigenrand ohne echten Thallusrand (keine AZ im Rand). Thallus P-.
Source: Printzen, C., Cezanne, R., Eichler, M., Jørgensen, P.M. & Teuber, D. 2018. An unusual record of Vahliella atlantica from Central Europe. Graphis Scripta 30 (6): 88–93. Oslo. ISSN 2002-4495. - CC BY-4.0
V. atlantica, Teuber 3831 (FR-0048449). Scale bar = 0.5 mm.

Felix Schumm - CC BY-SA 4.0
[11167], Portugal, Azoren, Sao Miguel: Zwischen Provoacao und Fajal da Terra, Straßenböschung, wind- und Nebeloffen, 37°45.009' N, 25°13.073' W, 420 m, an Steinen. Leg. F. Schumm 05.06.2003, det. P. M.Jørgensen, 2007. - Ohne Thalluslappen nur aus "sorediösen", homoeomeren, Isidien bestehend, Hymenium J+ rot, Sporen 15,3 x 8,7 μm, Apothecien mit Eigenrand ohne echten Thallusrand (keine AZ im Rand). Thallus P-.

Felix Schumm - CC BY-SA 4.0
[11167], Portugal, Azoren, Sao Miguel: Zwischen Provoacao und Fajal da Terra, Straßenböschung, wind- und Nebeloffen, 37°45.009' N, 25°13.073' W, 420 m, an Steinen. Leg. F. Schumm 05.06.2003, det. P. M.Jørgensen, 2007. - Ohne Thalluslappen nur aus "sorediösen", homoeomeren, Isidien bestehend, Hymenium J+ rot, Sporen 15,3 x 8,7 μm, Apothecien mit Eigenrand ohne echten Thallusrand (keine AZ im Rand). Thallus P-.

Felix Schumm - CC BY-SA 4.0
[11167], Portugal, Azoren, Sao Miguel: Zwischen Provoacao und Fajal da Terra, Straßenböschung, wind- und Nebeloffen, 37°45.009' N, 25°13.073' W, 420 m, an Steinen. Leg. F. Schumm 05.06.2003, det. P. M.Jørgensen, 2007. - Ohne Thalluslappen nur aus "sorediösen", homoeomeren, Isidien bestehend, Hymenium J+ rot, Sporen 15,3 x 8,7 μm, Apothecien mit Eigenrand ohne echten Thallusrand (keine AZ im Rand). Thallus P-.

Felix Schumm - CC BY-SA 4.0
[11167], Portugal, Azoren, Sao Miguel: Zwischen Provoacao und Fajal da Terra, Straßenböschung, wind- und Nebeloffen, 37°45.009' N, 25°13.073' W, 420 m, an Steinen. Leg. F. Schumm 05.06.2003, det. P. M.Jørgensen, 2007. - Ohne Thalluslappen nur aus "sorediösen", homoeomeren, Isidien bestehend, Hymenium J+ rot, Sporen 15,3 x 8,7 μm, Apothecien mit Eigenrand ohne echten Thallusrand (keine AZ im Rand). Thallus P-.

Felix Schumm - CC BY-SA 4.0
[11167], Portugal, Azoren, Sao Miguel: Zwischen Provoacao und Fajal da Terra, Straßenböschung, wind- und Nebeloffen, 37°45.009' N, 25°13.073' W, 420 m, an Steinen. Leg. F. Schumm 05.06.2003, det. P. M.Jørgensen, 2007. - Ohne Thalluslappen nur aus "sorediösen", homoeomeren, Isidien bestehend, Hymenium J+ rot, Sporen 15,3 x 8,7 μm, Apothecien mit Eigenrand ohne echten Thallusrand (keine AZ im Rand). Thallus P-.

Felix Schumm - CC BY-SA 4.0
[11167], Portugal, Azoren, Sao Miguel: Zwischen Provoacao und Fajal da Terra, Straßenböschung, wind- und Nebeloffen, 37°45.009' N, 25°13.073' W, 420 m, an Steinen. Leg. F. Schumm 05.06.2003, det. P. M.Jørgensen, 2007. - Ohne Thalluslappen nur aus "sorediösen", homoeomeren, Isidien bestehend, Hymenium J+ rot, Sporen 15,3 x 8,7 μm, Apothecien mit Eigenrand ohne echten Thallusrand (keine AZ im Rand). Thallus P-.

Felix Schumm - CC BY-SA 4.0
[11167], Portugal, Azoren, Sao Miguel: Zwischen Provoacao und Fajal da Terra, Straßenböschung, wind- und Nebeloffen, 37°45.009' N, 25°13.073' W, 420 m, an Steinen. Leg. F. Schumm 05.06.2003, det. P. M.Jørgensen, 2007. - Ohne Thalluslappen nur aus "sorediösen", homoeomeren, Isidien bestehend, Hymenium J+ rot, Sporen 15,3 x 8,7 μm, Apothecien mit Eigenrand ohne echten Thallusrand (keine AZ im Rand). Thallus P-.

Felix Schumm - CC BY-SA 4.0
[11167], Portugal, Azoren, Sao Miguel: Zwischen Provoacao und Fajal da Terra, Straßenböschung, wind- und Nebeloffen, 37°45.009' N, 25°13.073' W, 420 m, an Steinen. Leg. F. Schumm 05.06.2003, det. P. M.Jørgensen, 2007. - Ohne Thalluslappen nur aus "sorediösen", homoeomeren, Isidien bestehend, Hymenium J+ rot, Sporen 15,3 x 8,7 μm, Apothecien mit Eigenrand ohne echten Thallusrand (keine AZ im Rand). Thallus P-.

Felix Schumm - CC BY-SA 4.0
[11167], Portugal, Azoren, Sao Miguel: Zwischen Provoacao und Fajal da Terra, Straßenböschung, wind- und Nebeloffen, 37°45.009' N, 25°13.073' W, 420 m, an Steinen. Leg. F. Schumm 05.06.2003, det. P. M.Jørgensen, 2007. - Ohne Thalluslappen nur aus "sorediösen", homoeomeren, Isidien bestehend, Hymenium J+ rot, Sporen 15,3 x 8,7 μm, Apothecien mit Eigenrand ohne echten Thallusrand (keine AZ im Rand). Thallus P-.

Felix Schumm - CC BY-SA 4.0
[11167], Portugal, Azoren, Sao Miguel: Zwischen Provoacao und Fajal da Terra, Straßenböschung, wind- und Nebeloffen, 37°45.009' N, 25°13.073' W, 420 m, an Steinen. Leg. F. Schumm 05.06.2003, det. P. M.Jørgensen, 2007. - Ohne Thalluslappen nur aus "sorediösen", homoeomeren, Isidien bestehend, Hymenium J+ rot, Sporen 15,3 x 8,7 μm, Apothecien mit Eigenrand ohne echten Thallusrand (keine AZ im Rand). Thallus P-.

Felix Schumm - CC BY-SA 4.0
[11167], Portugal, Azoren, Sao Miguel: Zwischen Provoacao und Fajal da Terra, Straßenböschung, wind- und Nebeloffen, 37°45.009' N, 25°13.073' W, 420 m, an Steinen. Leg. F. Schumm 05.06.2003, det. P. M.Jørgensen, 2007. - Ohne Thalluslappen nur aus "sorediösen", homoeomeren, Isidien bestehend, Hymenium J+ rot, Sporen 15,3 x 8,7 μm, Apothecien mit Eigenrand ohne echten Thallusrand (keine AZ im Rand). Thallus P-.

Felix Schumm - CC BY-SA 4.0
[11167], Portugal, Azoren, Sao Miguel: Zwischen Provoacao und Fajal da Terra, Straßenböschung, wind- und Nebeloffen, 37°45.009' N, 25°13.073' W, 420 m, an Steinen. Leg. F. Schumm 05.06.2003, det. P. M.Jørgensen, 2007. - Ohne Thalluslappen nur aus "sorediösen", homoeomeren, Isidien bestehend, Hymenium J+ rot, Sporen 15,3 x 8,7 μm, Apothecien mit Eigenrand ohne echten Thallusrand (keine AZ im Rand). Thallus P-.

INDEX FUNGORUM
GBIF