Verrucaria alpicola Zschacke
Hedwigia, 67: 75, 1931.
Synonyms:
Distribution: N - Ven (Thüs & al. 2015), TAA (Thüs & al. 2015, Nascimbene & al. 2022), Lomb (Pistocchi & al. 2026), VA (Thüs & al. 2015).
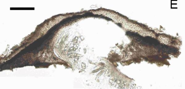
Description: Thallus crustose, episubstratic, 15-50 μm thick, subgelatinous when wet, usually cracked at least around the perithecia, smooth, pale to usually dark grey-brown to almost black. Cortex paraplectenchymatous, with a yellowish to black-brown pigment, the upper layer darker; medulla white, rarely with a thin black basal layer. Perithecia black, covered with a thalline layer, forming distinct, 0.4-0.8 mm wide projections. Involucrellum 17-38 μm thick, reaching to base-level and laterally spreading; exciple 0.24-0.34 mm across, the wall brown throughout; hamathecium of (15-)25-35(-43) μm long periphysoids, interascal filaments absent; hymenial gel hemiamyloid, I+ red (I+ blue at very low concentrations of I), K/I+ blue. Asci 8-spored, clavate, I-, fissitunicate, the wall thickened above, with an ocular chamber, dehiscent by extrusion of an endotunica to form a delicate rostrum, Verrucaria-type. Ascospores 1-celled, hyaline, ellipsoid to narrowly ellipsoid, (20-)23-35(-43) x (9-)12-16(-19) μm, (1.5-)1.7-2.3(-3.6) times as long as wide, without a gelatinous perispore. Photobiont chlorococcoid. Spot tests: K-, C-, KC-, P-, UV-. Chemistry: without lichen substances.Note: a typically sub-aquatic species which often occurs in the splash water zone in streams, but also at temporarily inundated sites in springs, both on calcareous and on siliceous rocks, in sunny to moderately shaded sites, mostly in upland areas; probably more widespread, at least in the Alps. For further information see Thüs & al. (2015) and Orange & al. (2023).
Growth form: Crustose endolithic
Substrata: rocks
Photobiont: green algae other than Trentepohlia
Reproductive strategy: mainly sexual
Pioneer species
Poorly known taxon in need of further study
Commonnes-rarity: (info)
Alpine belt: rare
Subalpine belt: rare
Oromediterranean belt: absent
Montane belt: very rare
Submediterranean belt: absent
Padanian area: absent
Humid submediterranean belt: absent
Humid mediterranean belt: absent
Dry mediterranean belt: absent

Predictive model
Herbarium samples


Source: Thüs H., Orange A., Gueidan C., Pykälä J., Ruberti C., Lo Schiavo F. & Nascimbene, J. (2015) Phytotaxa 197(3): 161-185 Revision of the Verrucaria elaeomelaena species complex and morphologically similar freshwater lichens (Verrucariaceae, Ascomycota).
Cross-section of a perithecium of Verrucaria alpicola (lectotype B). Scale bar: 50 μm
Growth form: Crustose endolithic
Substrata: rocks
Photobiont: green algae other than Trentepohlia
Reproductive strategy: mainly sexual
Pioneer species
Poorly known taxon in need of further study
Commonnes-rarity: (info)
Alpine belt: rare
Subalpine belt: rare
Oromediterranean belt: absent
Montane belt: very rare
Submediterranean belt: absent
Padanian area: absent
Humid submediterranean belt: absent
Humid mediterranean belt: absent
Dry mediterranean belt: absent

Predictive model
| Herbarium samples |

INDEX FUNGORUM
GBIF
DOLICHENS