Pisutiella phaeothamnos (Kalb & Poelt) S.Y. Kondr., Lőkös & Farkas
in Kondratyuk & al., Acta Bot. Hung,. 62, 1-2: 122, 2020. Basionym: Caloplaca phaeothamnos Kalb & Poelt - in Poelt & Kalb, Flora, 176: 137, 1985.
Synonyms:
Distribution:
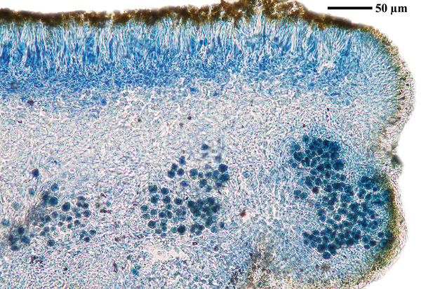
Description: Thallus minutely fruticose, pale grey-brown to dark brown, dull, developing inside the cushions of mosses (esp. Grimmia-species), consisting of densely packed, 4-5 mm tall, branched lobes which start the development as bullate squamules that soon become elongate, dorsiventral and branched, at first prostrate, then ascending to erect, often with terminal, phyllocladia-like, 0.3-0,5 mm wide, simple to sparingly branched lobules. Cortex 15-80 µm thick, of thick-walled hyphae, the lumina and the walls 1-1.5 µm thick, the terminal cells arranged anticlinally, overlain by a thick epinecral layer; the cortex of the flattened thallus parts is continuous, that of the erect parts is often interrupted by a medullary layer rich in crystals. Apothecia lecanorine, rounded to irregular in outline, at first immersed, then sessile, (0.3-)0.6-2(-3) mm across, with a cinnamon-orange, concave to flat disc and a very thick, smooth, brownish to brownish grey, often lobulate thalline margin. Thalline exciple corticate, of radially arranged hyphae; epithecium orange, with a granular epipsamma, K+ purple; hymenium colourless, c. 50 µm high; paraphyses (1.5-)2-2.5 µm thick at mid-level, the apical cells only slightly swollen; hypothecium colourless. Asci 8-spored, clavate, functionally unitunicate, apically thickened with a broad internal beak, the inner part of apex and external cap I+ blue, Teloschistes-type. Ascospores 2-celled, polarilocular, hyaline, ellipsoid, (7-)9-10(-11) x (4-)5-6.5 μm, the equatorial thickening (“septum”) 2-3.5 µm. Photobiont chlorococcoid. Spot tests: thallus K-, C-, KC-, P-; apothecial disc K+ purple. Chemistry: thallus without lichen substances; epithecium with unidentified anthraquinones.Note: a characteristic species growing on silicicolous mosses, especially species of Grimmia, on base rich volcanic rocks in dry-warm areas, mostly below treeline. Known from the Canary Islands, Central Spain, Greece and the Caucasus (Aragón & al. 2025), it should be looked for in Mediterranean Italy, especially in the mountains of Sardinia. For further details see Poelt & Kalb (1985).
Growth form: Fruticose
Substrata: soil, terricolous mosses, and plant debris
Photobiont: green algae other than Trentepohlia
Reproductive strategy: mainly sexual
Subcontinental: restricted to areas with a dry-subcontinental climate (e.g. dry Alpine valleys, parts of Mediterranean Italy)

Predictive model


Felix Schumm; Owner: Felix Schumm - CC BY-SA 4.0
[B 60 0192192], Turkey, Kurdistan, Lake Van, lava stream 7 km W of Ünseli, muscicolous in moss cushions on volcanic boulders in steppe. 8°59.8' N, 43°30.0' E, 1670 m. Leg. J. Vondrák & J. Šoun, 11.05.2007, det. J. Vondrák. VONDRáK: SELECTED EXSICCATES OF CALOPLACA NO 70.


Felix Schumm; Owner: Felix Schumm - CC BY-SA 4.0
[B 60 0192192], Turkey, Kurdistan, Lake Van, lava stream 7 km W of Ünseli, muscicolous in moss cushions on volcanic boulders in steppe. 8°59.8' N, 43°30.0' E, 1670 m. Leg. J. Vondrák & J. Šoun, 11.05.2007, det. J. Vondrák. VONDRáK: SELECTED EXSICCATES OF CALOPLACA NO 70.


Felix Schumm; Owner: Felix Schumm - CC BY-SA 4.0
[B 60 0192192], Turkey, Kurdistan, Lake Van, lava stream 7 km W of Ünseli, muscicolous in moss cushions on volcanic boulders in steppe. 8°59.8' N, 43°30.0' E, 1670 m. Leg. J. Vondrák & J. Šoun, 11.05.2007, det. J. Vondrák. VONDRáK: SELECTED EXSICCATES OF CALOPLACA NO 70.


Felix Schumm; Owner: Felix Schumm - CC BY-SA 4.0
[B 60 0192192], Turkey, Kurdistan, Lake Van, lava stream 7 km W of Ünseli, muscicolous in moss cushions on volcanic boulders in steppe. 8°59.8' N, 43°30.0' E, 1670 m. Leg. J. Vondrák & J. Šoun, 11.05.2007, det. J. Vondrák. VONDRáK: SELECTED EXSICCATES OF CALOPLACA NO 70.


Felix Schumm; Owner: Felix Schumm - CC BY-SA 4.0
[B 60 0192192], Turkey, Kurdistan, Lake Van, lava stream 7 km W of Ünseli, muscicolous in moss cushions on volcanic boulders in steppe. 8°59.8' N, 43°30.0' E, 1670 m. Leg. J. Vondrák & J. Šoun, 11.05.2007, det. J. Vondrák. VONDRáK: SELECTED EXSICCATES OF CALOPLACA NO 70.


Felix Schumm; Owner: Felix Schumm - CC BY-SA 4.0
[B 60 0192192], Turkey, Kurdistan, Lake Van, lava stream 7 km W of Ünseli, muscicolous in moss cushions on volcanic boulders in steppe. 8°59.8' N, 43°30.0' E, 1670 m. Leg. J. Vondrák & J. Šoun, 11.05.2007, det. J. Vondrák. VONDRáK: SELECTED EXSICCATES OF CALOPLACA NO 70.


Felix Schumm; Owner: Felix Schumm - CC BY-SA 4.0
[B 60 0192192], Turkey, Kurdistan, Lake Van, lava stream 7 km W of Ünseli, muscicolous in moss cushions on volcanic boulders in steppe. 8°59.8' N, 43°30.0' E, 1670 m. Leg. J. Vondrák & J. Šoun, 11.05.2007, det. J. Vondrák. VONDRáK: SELECTED EXSICCATES OF CALOPLACA NO 70.


Felix Schumm; Owner: Felix Schumm - CC BY-SA 4.0
[B 60 0192192], Turkey, Kurdistan, Lake Van, lava stream 7 km W of Ünseli, muscicolous in moss cushions on volcanic boulders in steppe. 8°59.8' N, 43°30.0' E, 1670 m. Leg. J. Vondrák & J. Šoun, 11.05.2007, det. J. Vondrák. VONDRáK: SELECTED EXSICCATES OF CALOPLACA NO 70.


Felix Schumm; Owner: Felix Schumm - CC BY-SA 4.0
[B 60 0192192], Turkey, Kurdistan, Lake Van, lava stream 7 km W of Ünseli, muscicolous in moss cushions on volcanic boulders in steppe. 8°59.8' N, 43°30.0' E, 1670 m. Leg. J. Vondrák & J. Šoun, 11.05.2007, det. J. Vondrák. VONDRáK: SELECTED EXSICCATES OF CALOPLACA NO 70.


Felix Schumm; Owner: Felix Schumm - CC BY-SA 4.0
[B 60 0192192], Turkey, Kurdistan, Lake Van, lava stream 7 km W of Ünseli, muscicolous in moss cushions on volcanic boulders in steppe. 8°59.8' N, 43°30.0' E, 1670 m. Leg. J. Vondrák & J. Šoun, 11.05.2007, det. J. Vondrák. VONDRáK: SELECTED EXSICCATES OF CALOPLACA NO 70.


Felix Schumm; Owner: Felix Schumm - CC BY-SA 4.0
[B 60 0192192], Turkey, Kurdistan, Lake Van, lava stream 7 km W of Ünseli, muscicolous in moss cushions on volcanic boulders in steppe. 8°59.8' N, 43°30.0' E, 1670 m. Leg. J. Vondrák & J. Šoun, 11.05.2007, det. J. Vondrák. VONDRáK: SELECTED EXSICCATES OF CALOPLACA NO 70.


Felix Schumm; Owner: Felix Schumm - CC BY-SA 4.0
[B 60 0192192], Turkey, Kurdistan, Lake Van, lava stream 7 km W of Ünseli, muscicolous in moss cushions on volcanic boulders in steppe. 8°59.8' N, 43°30.0' E, 1670 m. Leg. J. Vondrák & J. Šoun, 11.05.2007, det. J. Vondrák. VONDRáK: SELECTED EXSICCATES OF CALOPLACA NO 70.


Felix Schumm; Owner: Felix Schumm - CC BY-SA 4.0
[B 60 0192192], Turkey, Kurdistan, Lake Van, lava stream 7 km W of Ünseli, muscicolous in moss cushions on volcanic boulders in steppe. 8°59.8' N, 43°30.0' E, 1670 m. Leg. J. Vondrák & J. Šoun, 11.05.2007, det. J. Vondrák. VONDRáK: SELECTED EXSICCATES OF CALOPLACA NO 70.


Felix Schumm; Owner: Felix Schumm - CC BY-SA 4.0
[B 60 0192192], Turkey, Kurdistan, Lake Van, lava stream 7 km W of Ünseli, muscicolous in moss cushions on volcanic boulders in steppe. 8°59.8' N, 43°30.0' E, 1670 m. Leg. J. Vondrák & J. Šoun, 11.05.2007, det. J. Vondrák. VONDRáK: SELECTED EXSICCATES OF CALOPLACA NO 70.


Felix Schumm; Owner: Felix Schumm - CC BY-SA 4.0
[B 60 0192192], Turkey, Kurdistan, Lake Van, lava stream 7 km W of Ünseli, muscicolous in moss cushions on volcanic boulders in steppe. 8°59.8' N, 43°30.0' E, 1670 m. Leg. J. Vondrák & J. Šoun, 11.05.2007, det. J. Vondrák. VONDRáK: SELECTED EXSICCATES OF CALOPLACA NO 70.


Felix Schumm; Owner: Felix Schumm - CC BY-SA 4.0
[B 60 0192192], Turkey, Kurdistan, Lake Van, lava stream 7 km W of Ünseli, muscicolous in moss cushions on volcanic boulders in steppe. 8°59.8' N, 43°30.0' E, 1670 m. Leg. J. Vondrák & J. Šoun, 11.05.2007, det. J. Vondrák. VONDRáK: SELECTED EXSICCATES OF CALOPLACA NO 70.


Felix Schumm; Owner: Felix Schumm - CC BY-SA 4.0
[B 60 0192192], Turkey, Kurdistan, Lake Van, lava stream 7 km W of Ünseli, muscicolous in moss cushions on volcanic boulders in steppe. 8°59.8' N, 43°30.0' E, 1670 m. Leg. J. Vondrák & J. Šoun, 11.05.2007, det. J. Vondrák. VONDRáK: SELECTED EXSICCATES OF CALOPLACA NO 70.


Felix Schumm; Owner: Felix Schumm - CC BY-SA 4.0
[B 60 0192192], Turkey, Kurdistan, Lake Van, lava stream 7 km W of Ünseli, muscicolous in moss cushions on volcanic boulders in steppe. 8°59.8' N, 43°30.0' E, 1670 m. Leg. J. Vondrák & J. Šoun, 11.05.2007, det. J. Vondrák. VONDRáK: SELECTED EXSICCATES OF CALOPLACA NO 70.


Felix Schumm; Owner: Felix Schumm - CC BY-SA 4.0
[B 60 0192192], Turkey, Kurdistan, Lake Van, lava stream 7 km W of Ünseli, muscicolous in moss cushions on volcanic boulders in steppe. 8°59.8' N, 43°30.0' E, 1670 m. Leg. J. Vondrák & J. Šoun, 11.05.2007, det. J. Vondrák. VONDRáK: SELECTED EXSICCATES OF CALOPLACA NO 70.


Felix Schumm; Owner: Felix Schumm - CC BY-SA 4.0
[B 60 0192192], Turkey, Kurdistan, Lake Van, lava stream 7 km W of Ünseli, muscicolous in moss cushions on volcanic boulders in steppe. 8°59.8' N, 43°30.0' E, 1670 m. Leg. J. Vondrák & J. Šoun, 11.05.2007, det. J. Vondrák. VONDRáK: SELECTED EXSICCATES OF CALOPLACA NO 70.


Felix Schumm; Owner: Felix Schumm - CC BY-SA 4.0
[B 60 0192192], Turkey, Kurdistan, Lake Van, lava stream 7 km W of Ünseli, muscicolous in moss cushions on volcanic boulders in steppe. 8°59.8' N, 43°30.0' E, 1670 m. Leg. J. Vondrák & J. Šoun, 11.05.2007, det. J. Vondrák. VONDRáK: SELECTED EXSICCATES OF CALOPLACA NO 70.


Felix Schumm; Owner: Felix Schumm - CC BY-SA 4.0
[B 60 0192192], Turkey, Kurdistan, Lake Van, lava stream 7 km W of Ünseli, muscicolous in moss cushions on volcanic boulders in steppe. 8°59.8' N, 43°30.0' E, 1670 m. Leg. J. Vondrák & J. Šoun, 11.05.2007, det. J. Vondrák. VONDRáK: SELECTED EXSICCATES OF CALOPLACA NO 70.


Felix Schumm; Owner: Felix Schumm - CC BY-SA 4.0
[B 60 0192192], Turkey, Kurdistan, Lake Van, lava stream 7 km W of Ünseli, muscicolous in moss cushions on volcanic boulders in steppe. 8°59.8' N, 43°30.0' E, 1670 m. Leg. J. Vondrák & J. Šoun, 11.05.2007, det. J. Vondrák. VONDRáK: SELECTED EXSICCATES OF CALOPLACA NO 70.


Felix Schumm; Owner: Felix Schumm - CC BY-SA 4.0
[B 60 0192192], Turkey, Kurdistan, Lake Van, lava stream 7 km W of Ünseli, muscicolous in moss cushions on volcanic boulders in steppe. 8°59.8' N, 43°30.0' E, 1670 m. Leg. J. Vondrák & J. Šoun, 11.05.2007, det. J. Vondrák. VONDRáK: SELECTED EXSICCATES OF CALOPLACA NO 70.


Felix Schumm; Owner: Felix Schumm - CC BY-SA 4.0
[B 60 0192192], Turkey, Kurdistan, Lake Van, lava stream 7 km W of Ünseli, muscicolous in moss cushions on volcanic boulders in steppe. 8°59.8' N, 43°30.0' E, 1670 m. Leg. J. Vondrák & J. Šoun, 11.05.2007, det. J. Vondrák. VONDRáK: SELECTED EXSICCATES OF CALOPLACA NO 70.


Felix Schumm; Owner: Felix Schumm - CC BY-SA 4.0
[B 60 0192192], Turkey, Kurdistan, Lake Van, lava stream 7 km W of Ünseli, muscicolous in moss cushions on volcanic boulders in steppe. 8°59.8' N, 43°30.0' E, 1670 m. Leg. J. Vondrák & J. Šoun, 11.05.2007, det. J. Vondrák. VONDRáK: SELECTED EXSICCATES OF CALOPLACA NO 70.


Felix Schumm; Owner: Felix Schumm - CC BY-SA 4.0
[B 60 0192192], Turkey, Kurdistan, Lake Van, lava stream 7 km W of Ünseli, muscicolous in moss cushions on volcanic boulders in steppe. 8°59.8' N, 43°30.0' E, 1670 m. Leg. J. Vondrák & J. Šoun, 11.05.2007, det. J. Vondrák. VONDRáK: SELECTED EXSICCATES OF CALOPLACA NO 70.


Felix Schumm; Owner: Felix Schumm - CC BY-SA 4.0
[B 60 0192192], Turkey, Kurdistan, Lake Van, lava stream 7 km W of Ünseli, muscicolous in moss cushions on volcanic boulders in steppe. 8°59.8' N, 43°30.0' E, 1670 m. Leg. J. Vondrák & J. Šoun, 11.05.2007, det. J. Vondrák. VONDRáK: SELECTED EXSICCATES OF CALOPLACA NO 70.
Growth form: Fruticose
Substrata: soil, terricolous mosses, and plant debris
Photobiont: green algae other than Trentepohlia
Reproductive strategy: mainly sexual
Subcontinental: restricted to areas with a dry-subcontinental climate (e.g. dry Alpine valleys, parts of Mediterranean Italy)

Predictive model


Felix Schumm; Owner: Felix Schumm - CC BY-SA 4.0
[B 60 0192192], Turkey, Kurdistan, Lake Van, lava stream 7 km W of Ünseli, muscicolous in moss cushions on volcanic boulders in steppe. 8°59.8' N, 43°30.0' E, 1670 m. Leg. J. Vondrák & J. Šoun, 11.05.2007, det. J. Vondrák. VONDRáK: SELECTED EXSICCATES OF CALOPLACA NO 70.


Felix Schumm; Owner: Felix Schumm - CC BY-SA 4.0
[B 60 0192192], Turkey, Kurdistan, Lake Van, lava stream 7 km W of Ünseli, muscicolous in moss cushions on volcanic boulders in steppe. 8°59.8' N, 43°30.0' E, 1670 m. Leg. J. Vondrák & J. Šoun, 11.05.2007, det. J. Vondrák. VONDRáK: SELECTED EXSICCATES OF CALOPLACA NO 70.


Felix Schumm; Owner: Felix Schumm - CC BY-SA 4.0
[B 60 0192192], Turkey, Kurdistan, Lake Van, lava stream 7 km W of Ünseli, muscicolous in moss cushions on volcanic boulders in steppe. 8°59.8' N, 43°30.0' E, 1670 m. Leg. J. Vondrák & J. Šoun, 11.05.2007, det. J. Vondrák. VONDRáK: SELECTED EXSICCATES OF CALOPLACA NO 70.


Felix Schumm; Owner: Felix Schumm - CC BY-SA 4.0
[B 60 0192192], Turkey, Kurdistan, Lake Van, lava stream 7 km W of Ünseli, muscicolous in moss cushions on volcanic boulders in steppe. 8°59.8' N, 43°30.0' E, 1670 m. Leg. J. Vondrák & J. Šoun, 11.05.2007, det. J. Vondrák. VONDRáK: SELECTED EXSICCATES OF CALOPLACA NO 70.


Felix Schumm; Owner: Felix Schumm - CC BY-SA 4.0
[B 60 0192192], Turkey, Kurdistan, Lake Van, lava stream 7 km W of Ünseli, muscicolous in moss cushions on volcanic boulders in steppe. 8°59.8' N, 43°30.0' E, 1670 m. Leg. J. Vondrák & J. Šoun, 11.05.2007, det. J. Vondrák. VONDRáK: SELECTED EXSICCATES OF CALOPLACA NO 70.


Felix Schumm; Owner: Felix Schumm - CC BY-SA 4.0
[B 60 0192192], Turkey, Kurdistan, Lake Van, lava stream 7 km W of Ünseli, muscicolous in moss cushions on volcanic boulders in steppe. 8°59.8' N, 43°30.0' E, 1670 m. Leg. J. Vondrák & J. Šoun, 11.05.2007, det. J. Vondrák. VONDRáK: SELECTED EXSICCATES OF CALOPLACA NO 70.


Felix Schumm; Owner: Felix Schumm - CC BY-SA 4.0
[B 60 0192192], Turkey, Kurdistan, Lake Van, lava stream 7 km W of Ünseli, muscicolous in moss cushions on volcanic boulders in steppe. 8°59.8' N, 43°30.0' E, 1670 m. Leg. J. Vondrák & J. Šoun, 11.05.2007, det. J. Vondrák. VONDRáK: SELECTED EXSICCATES OF CALOPLACA NO 70.


Felix Schumm; Owner: Felix Schumm - CC BY-SA 4.0
[B 60 0192192], Turkey, Kurdistan, Lake Van, lava stream 7 km W of Ünseli, muscicolous in moss cushions on volcanic boulders in steppe. 8°59.8' N, 43°30.0' E, 1670 m. Leg. J. Vondrák & J. Šoun, 11.05.2007, det. J. Vondrák. VONDRáK: SELECTED EXSICCATES OF CALOPLACA NO 70.


Felix Schumm; Owner: Felix Schumm - CC BY-SA 4.0
[B 60 0192192], Turkey, Kurdistan, Lake Van, lava stream 7 km W of Ünseli, muscicolous in moss cushions on volcanic boulders in steppe. 8°59.8' N, 43°30.0' E, 1670 m. Leg. J. Vondrák & J. Šoun, 11.05.2007, det. J. Vondrák. VONDRáK: SELECTED EXSICCATES OF CALOPLACA NO 70.


Felix Schumm; Owner: Felix Schumm - CC BY-SA 4.0
[B 60 0192192], Turkey, Kurdistan, Lake Van, lava stream 7 km W of Ünseli, muscicolous in moss cushions on volcanic boulders in steppe. 8°59.8' N, 43°30.0' E, 1670 m. Leg. J. Vondrák & J. Šoun, 11.05.2007, det. J. Vondrák. VONDRáK: SELECTED EXSICCATES OF CALOPLACA NO 70.


Felix Schumm; Owner: Felix Schumm - CC BY-SA 4.0
[B 60 0192192], Turkey, Kurdistan, Lake Van, lava stream 7 km W of Ünseli, muscicolous in moss cushions on volcanic boulders in steppe. 8°59.8' N, 43°30.0' E, 1670 m. Leg. J. Vondrák & J. Šoun, 11.05.2007, det. J. Vondrák. VONDRáK: SELECTED EXSICCATES OF CALOPLACA NO 70.


Felix Schumm; Owner: Felix Schumm - CC BY-SA 4.0
[B 60 0192192], Turkey, Kurdistan, Lake Van, lava stream 7 km W of Ünseli, muscicolous in moss cushions on volcanic boulders in steppe. 8°59.8' N, 43°30.0' E, 1670 m. Leg. J. Vondrák & J. Šoun, 11.05.2007, det. J. Vondrák. VONDRáK: SELECTED EXSICCATES OF CALOPLACA NO 70.


Felix Schumm; Owner: Felix Schumm - CC BY-SA 4.0
[B 60 0192192], Turkey, Kurdistan, Lake Van, lava stream 7 km W of Ünseli, muscicolous in moss cushions on volcanic boulders in steppe. 8°59.8' N, 43°30.0' E, 1670 m. Leg. J. Vondrák & J. Šoun, 11.05.2007, det. J. Vondrák. VONDRáK: SELECTED EXSICCATES OF CALOPLACA NO 70.


Felix Schumm; Owner: Felix Schumm - CC BY-SA 4.0
[B 60 0192192], Turkey, Kurdistan, Lake Van, lava stream 7 km W of Ünseli, muscicolous in moss cushions on volcanic boulders in steppe. 8°59.8' N, 43°30.0' E, 1670 m. Leg. J. Vondrák & J. Šoun, 11.05.2007, det. J. Vondrák. VONDRáK: SELECTED EXSICCATES OF CALOPLACA NO 70.


Felix Schumm; Owner: Felix Schumm - CC BY-SA 4.0
[B 60 0192192], Turkey, Kurdistan, Lake Van, lava stream 7 km W of Ünseli, muscicolous in moss cushions on volcanic boulders in steppe. 8°59.8' N, 43°30.0' E, 1670 m. Leg. J. Vondrák & J. Šoun, 11.05.2007, det. J. Vondrák. VONDRáK: SELECTED EXSICCATES OF CALOPLACA NO 70.


Felix Schumm; Owner: Felix Schumm - CC BY-SA 4.0
[B 60 0192192], Turkey, Kurdistan, Lake Van, lava stream 7 km W of Ünseli, muscicolous in moss cushions on volcanic boulders in steppe. 8°59.8' N, 43°30.0' E, 1670 m. Leg. J. Vondrák & J. Šoun, 11.05.2007, det. J. Vondrák. VONDRáK: SELECTED EXSICCATES OF CALOPLACA NO 70.


Felix Schumm; Owner: Felix Schumm - CC BY-SA 4.0
[B 60 0192192], Turkey, Kurdistan, Lake Van, lava stream 7 km W of Ünseli, muscicolous in moss cushions on volcanic boulders in steppe. 8°59.8' N, 43°30.0' E, 1670 m. Leg. J. Vondrák & J. Šoun, 11.05.2007, det. J. Vondrák. VONDRáK: SELECTED EXSICCATES OF CALOPLACA NO 70.


Felix Schumm; Owner: Felix Schumm - CC BY-SA 4.0
[B 60 0192192], Turkey, Kurdistan, Lake Van, lava stream 7 km W of Ünseli, muscicolous in moss cushions on volcanic boulders in steppe. 8°59.8' N, 43°30.0' E, 1670 m. Leg. J. Vondrák & J. Šoun, 11.05.2007, det. J. Vondrák. VONDRáK: SELECTED EXSICCATES OF CALOPLACA NO 70.


Felix Schumm; Owner: Felix Schumm - CC BY-SA 4.0
[B 60 0192192], Turkey, Kurdistan, Lake Van, lava stream 7 km W of Ünseli, muscicolous in moss cushions on volcanic boulders in steppe. 8°59.8' N, 43°30.0' E, 1670 m. Leg. J. Vondrák & J. Šoun, 11.05.2007, det. J. Vondrák. VONDRáK: SELECTED EXSICCATES OF CALOPLACA NO 70.


Felix Schumm; Owner: Felix Schumm - CC BY-SA 4.0
[B 60 0192192], Turkey, Kurdistan, Lake Van, lava stream 7 km W of Ünseli, muscicolous in moss cushions on volcanic boulders in steppe. 8°59.8' N, 43°30.0' E, 1670 m. Leg. J. Vondrák & J. Šoun, 11.05.2007, det. J. Vondrák. VONDRáK: SELECTED EXSICCATES OF CALOPLACA NO 70.


Felix Schumm; Owner: Felix Schumm - CC BY-SA 4.0
[B 60 0192192], Turkey, Kurdistan, Lake Van, lava stream 7 km W of Ünseli, muscicolous in moss cushions on volcanic boulders in steppe. 8°59.8' N, 43°30.0' E, 1670 m. Leg. J. Vondrák & J. Šoun, 11.05.2007, det. J. Vondrák. VONDRáK: SELECTED EXSICCATES OF CALOPLACA NO 70.


Felix Schumm; Owner: Felix Schumm - CC BY-SA 4.0
[B 60 0192192], Turkey, Kurdistan, Lake Van, lava stream 7 km W of Ünseli, muscicolous in moss cushions on volcanic boulders in steppe. 8°59.8' N, 43°30.0' E, 1670 m. Leg. J. Vondrák & J. Šoun, 11.05.2007, det. J. Vondrák. VONDRáK: SELECTED EXSICCATES OF CALOPLACA NO 70.


Felix Schumm; Owner: Felix Schumm - CC BY-SA 4.0
[B 60 0192192], Turkey, Kurdistan, Lake Van, lava stream 7 km W of Ünseli, muscicolous in moss cushions on volcanic boulders in steppe. 8°59.8' N, 43°30.0' E, 1670 m. Leg. J. Vondrák & J. Šoun, 11.05.2007, det. J. Vondrák. VONDRáK: SELECTED EXSICCATES OF CALOPLACA NO 70.


Felix Schumm; Owner: Felix Schumm - CC BY-SA 4.0
[B 60 0192192], Turkey, Kurdistan, Lake Van, lava stream 7 km W of Ünseli, muscicolous in moss cushions on volcanic boulders in steppe. 8°59.8' N, 43°30.0' E, 1670 m. Leg. J. Vondrák & J. Šoun, 11.05.2007, det. J. Vondrák. VONDRáK: SELECTED EXSICCATES OF CALOPLACA NO 70.


Felix Schumm; Owner: Felix Schumm - CC BY-SA 4.0
[B 60 0192192], Turkey, Kurdistan, Lake Van, lava stream 7 km W of Ünseli, muscicolous in moss cushions on volcanic boulders in steppe. 8°59.8' N, 43°30.0' E, 1670 m. Leg. J. Vondrák & J. Šoun, 11.05.2007, det. J. Vondrák. VONDRáK: SELECTED EXSICCATES OF CALOPLACA NO 70.


Felix Schumm; Owner: Felix Schumm - CC BY-SA 4.0
[B 60 0192192], Turkey, Kurdistan, Lake Van, lava stream 7 km W of Ünseli, muscicolous in moss cushions on volcanic boulders in steppe. 8°59.8' N, 43°30.0' E, 1670 m. Leg. J. Vondrák & J. Šoun, 11.05.2007, det. J. Vondrák. VONDRáK: SELECTED EXSICCATES OF CALOPLACA NO 70.


Felix Schumm; Owner: Felix Schumm - CC BY-SA 4.0
[B 60 0192192], Turkey, Kurdistan, Lake Van, lava stream 7 km W of Ünseli, muscicolous in moss cushions on volcanic boulders in steppe. 8°59.8' N, 43°30.0' E, 1670 m. Leg. J. Vondrák & J. Šoun, 11.05.2007, det. J. Vondrák. VONDRáK: SELECTED EXSICCATES OF CALOPLACA NO 70.

