Polyozosia percrenata (H. Magn.) S.Y. Kondr., Lőkös & Farkas
in Kondratyuk & al., Acta Bot. Hung. 62, 1-2: 102, 2020. Basionym: Lecanora percrenata H. Magn. - Lichens of Central Asia: 88, 1940.
Synonyms:
Distribution:
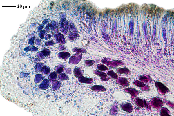
Description: Thallus crustose, endosubstratic or rarely very thinly episubstratic and mostly continuous to rimose, whitish to pale grey. Apothecia lecanorine, scattered or clustered in mall groups, sessile or slightly immersed in the rock at base, 0.3-0.9 mm across, with a flat, smooth, dark brown to black, usually epruinose (rarely faintly pruinose) disc and a prominent, markedly cracked, epruinose thalline margin. Thalline exciple 80-120(-200) μm thick, corticate, bluish in upper part, the cortex indistinctly delimited, 30-35 μm thick laterally, often obscured by crystals visible under polarized light, which are insoluble in K and soluble in N; proper exciple indistinct or up to 10 μm wide; epithecium brown to olive, or partly bluish-green or greenish, the green parts K+ intensifying, N+ red, without granules and without a well-developed epipsamma; hymenium pigmented in upper part for up to 1/3 of its height, colourless in lower part, 30-50 μm high; paraphyses thick and coherent, often branched at tips, the uppermost part submoniliform and pigmented, the terminal cell up to 6 μm wide; subhymenium distinct, granular; hypothecium colourless, 45-70 μm high, of adglutinated hyphae, with oil droplets.. Asci 8-spored, elongate-clavate, very thin-walled, with a K/I+ blue, tall tholus penetrated by a faintly amyloid apical cushion, the wall K/I-, surrounded by a K/I+ blue outer layer, Lecanora-type. Ascospores 1-celled, hyaline, narrowly ellipsoid, 12-18 x 4-6 μm, 2.3-3.7 times as long as wide. Pycnidia black, inconspicuous. Conidia sickle-shaped, curved, 16-19 x c. 1 μm. Photobiont chlorococcoid. Spot tests: thallus and apothecia K-, C-, KC-, P-, UV-. Chemistry: without lichen substances.Note: a mainly calcicolous species, sometimes also found on base-rich volcanic rocks, described from China and later found in Southeast Asia and North America, also reported from the Alps (France, see Roux & Coll. 2025) where it is probably more widespread due to confusion with P. caesioalba. To be looked for in the Italian Alps.
Growth form: Crustose
Substrata: rocks
Photobiont: green algae other than Trentepohlia
Reproductive strategy: mainly sexual

Predictive model


Felix Schumm - CC BY.SA 4.0
[LIAF_54], Afghanistan, Prov. Bamyan, Band-i-Amir, nördliches Seeufer, unmittelbar beim islamischen Heiligtum, 67°10.5’ E, 34°49’ N, ca. 2900 m. Weiche junge Kalktuffe unmittelbar am Seeufer, ca 0.5-1 m über dem Seespiegel. Leg A. Dieterle (Pod 36/2), 30.05.1970. LICHENOTHECA AFGHANICA NR. 54


Felix Schumm - CC BY.SA 4.0
[LIAF_54], Afghanistan, Prov. Bamyan, Band-i-Amir, nördliches Seeufer, unmittelbar beim islamischen Heiligtum, 67°10.5’ E, 34°49’ N, ca. 2900 m. Weiche junge Kalktuffe unmittelbar am Seeufer, ca 0.5-1 m über dem Seespiegel. Leg A. Dieterle (Pod 36/2), 30.05.1970. LICHENOTHECA AFGHANICA NR. 54


Felix Schumm - CC BY.SA 4.0
[LIAF_54], Afghanistan, Prov. Bamyan, Band-i-Amir, nördliches Seeufer, unmittelbar beim islamischen Heiligtum, 67°10.5’ E, 34°49’ N, ca. 2900 m. Weiche junge Kalktuffe unmittelbar am Seeufer, ca 0.5-1 m über dem Seespiegel. Leg A. Dieterle (Pod 36/2), 30.05.1970. LICHENOTHECA AFGHANICA NR. 54


Felix Schumm - CC BY.SA 4.0
[LIAF_54], Afghanistan, Prov. Bamyan, Band-i-Amir, nördliches Seeufer, unmittelbar beim islamischen Heiligtum, 67°10.5’ E, 34°49’ N, ca. 2900 m. Weiche junge Kalktuffe unmittelbar am Seeufer, ca 0.5-1 m über dem Seespiegel. Leg A. Dieterle (Pod 36/2), 30.05.1970. LICHENOTHECA AFGHANICA NR. 54


Felix Schumm - CC BY.SA 4.0
[LIAF_54], Afghanistan, Prov. Bamyan, Band-i-Amir, nördliches Seeufer, unmittelbar beim islamischen Heiligtum, 67°10.5’ E, 34°49’ N, ca. 2900 m. Weiche junge Kalktuffe unmittelbar am Seeufer, ca 0.5-1 m über dem Seespiegel. Leg A. Dieterle (Pod 36/2), 30.05.1970. LICHENOTHECA AFGHANICA NR. 54


Felix Schumm - CC BY.SA 4.0
[LIAF_54], Afghanistan, Prov. Bamyan, Band-i-Amir, nördliches Seeufer, unmittelbar beim islamischen Heiligtum, 67°10.5’ E, 34°49’ N, ca. 2900 m. Weiche junge Kalktuffe unmittelbar am Seeufer, ca 0.5-1 m über dem Seespiegel. Leg A. Dieterle (Pod 36/2), 30.05.1970. LICHENOTHECA AFGHANICA NR. 54


Felix Schumm - CC BY.SA 4.0
[LIAF_54], Afghanistan, Prov. Bamyan, Band-i-Amir, nördliches Seeufer, unmittelbar beim islamischen Heiligtum, 67°10.5’ E, 34°49’ N, ca. 2900 m. Weiche junge Kalktuffe unmittelbar am Seeufer, ca 0.5-1 m über dem Seespiegel. Leg A. Dieterle (Pod 36/2), 30.05.1970. LICHENOTHECA AFGHANICA NR. 54


Felix Schumm - CC BY.SA 4.0
[LIAF_54], Afghanistan, Prov. Bamyan, Band-i-Amir, nördliches Seeufer, unmittelbar beim islamischen Heiligtum, 67°10.5’ E, 34°49’ N, ca. 2900 m. Weiche junge Kalktuffe unmittelbar am Seeufer, ca 0.5-1 m über dem Seespiegel. Leg A. Dieterle (Pod 36/2), 30.05.1970. LICHENOTHECA AFGHANICA NR. 54


Felix Schumm - CC BY.SA 4.0
[LIAF_54], Afghanistan, Prov. Bamyan, Band-i-Amir, nördliches Seeufer, unmittelbar beim islamischen Heiligtum, 67°10.5’ E, 34°49’ N, ca. 2900 m. Weiche junge Kalktuffe unmittelbar am Seeufer, ca 0.5-1 m über dem Seespiegel. Leg A. Dieterle (Pod 36/2), 30.05.1970. LICHENOTHECA AFGHANICA NR. 54


Felix Schumm - CC BY.SA 4.0
[LIAF_54], Afghanistan, Prov. Bamyan, Band-i-Amir, nördliches Seeufer, unmittelbar beim islamischen Heiligtum, 67°10.5’ E, 34°49’ N, ca. 2900 m. Weiche junge Kalktuffe unmittelbar am Seeufer, ca 0.5-1 m über dem Seespiegel. Leg A. Dieterle (Pod 36/2), 30.05.1970. LICHENOTHECA AFGHANICA NR. 54


Felix Schumm - CC BY.SA 4.0
[LIAF_54], Afghanistan, Prov. Bamyan, Band-i-Amir, nördliches Seeufer, unmittelbar beim islamischen Heiligtum, 67°10.5’ E, 34°49’ N, ca. 2900 m. Weiche junge Kalktuffe unmittelbar am Seeufer, ca 0.5-1 m über dem Seespiegel. Leg A. Dieterle (Pod 36/2), 30.05.1970. LICHENOTHECA AFGHANICA NR. 54


Felix Schumm - CC BY.SA 4.0
[LIAF_54], Afghanistan, Prov. Bamyan, Band-i-Amir, nördliches Seeufer, unmittelbar beim islamischen Heiligtum, 67°10.5’ E, 34°49’ N, ca. 2900 m. Weiche junge Kalktuffe unmittelbar am Seeufer, ca 0.5-1 m über dem Seespiegel. Leg A. Dieterle (Pod 36/2), 30.05.1970. LICHENOTHECA AFGHANICA NR. 54


Felix Schumm - CC BY.SA 4.0
[LIAF_54], Afghanistan, Prov. Bamyan, Band-i-Amir, nördliches Seeufer, unmittelbar beim islamischen Heiligtum, 67°10.5’ E, 34°49’ N, ca. 2900 m. Weiche junge Kalktuffe unmittelbar am Seeufer, ca 0.5-1 m über dem Seespiegel. Leg A. Dieterle (Pod 36/2), 30.05.1970. LICHENOTHECA AFGHANICA NR. 54


Felix Schumm - CC BY.SA 4.0
[LIAF_54], Afghanistan, Prov. Bamyan, Band-i-Amir, nördliches Seeufer, unmittelbar beim islamischen Heiligtum, 67°10.5’ E, 34°49’ N, ca. 2900 m. Weiche junge Kalktuffe unmittelbar am Seeufer, ca 0.5-1 m über dem Seespiegel. Leg A. Dieterle (Pod 36/2), 30.05.1970. LICHENOTHECA AFGHANICA NR. 54


Felix Schumm - CC BY.SA 4.0
[LIAF_54], Afghanistan, Prov. Bamyan, Band-i-Amir, nördliches Seeufer, unmittelbar beim islamischen Heiligtum, 67°10.5’ E, 34°49’ N, ca. 2900 m. Weiche junge Kalktuffe unmittelbar am Seeufer, ca 0.5-1 m über dem Seespiegel. Leg A. Dieterle (Pod 36/2), 30.05.1970. LICHENOTHECA AFGHANICA NR. 54


Felix Schumm - CC BY.SA 4.0
[LIAF_54], Afghanistan, Prov. Bamyan, Band-i-Amir, nördliches Seeufer, unmittelbar beim islamischen Heiligtum, 67°10.5’ E, 34°49’ N, ca. 2900 m. Weiche junge Kalktuffe unmittelbar am Seeufer, ca 0.5-1 m über dem Seespiegel. Leg A. Dieterle (Pod 36/2), 30.05.1970. LICHENOTHECA AFGHANICA NR. 54


Felix Schumm - CC BY.SA 4.0
[LIAF_54], Afghanistan, Prov. Bamyan, Band-i-Amir, nördliches Seeufer, unmittelbar beim islamischen Heiligtum, 67°10.5’ E, 34°49’ N, ca. 2900 m. Weiche junge Kalktuffe unmittelbar am Seeufer, ca 0.5-1 m über dem Seespiegel. Leg A. Dieterle (Pod 36/2), 30.05.1970. LICHENOTHECA AFGHANICA NR. 54


Felix Schumm - CC BY.SA 4.0
[LIAF_54], Afghanistan, Prov. Bamyan, Band-i-Amir, nördliches Seeufer, unmittelbar beim islamischen Heiligtum, 67°10.5’ E, 34°49’ N, ca. 2900 m. Weiche junge Kalktuffe unmittelbar am Seeufer, ca 0.5-1 m über dem Seespiegel. Leg A. Dieterle (Pod 36/2), 30.05.1970. LICHENOTHECA AFGHANICA NR. 54


Felix Schumm CC BY.SA 4.0
[LIAF_54], Afghanistan, Prov. Bamyan, Band-i-Amir, nördliches Seeufer, unmittelbar beim islamischen Heiligtum, 67°10.5’ E, 34°49’ N, ca. 2900 m. Weiche junge Kalktuffe unmittelbar am Seeufer, ca 0.5-1 m über dem Seespiegel.
Leg A. Dieterle (Pod 36/2), 30.05.1970. LICHENOTHECA AFGHANICA NR. 54
Growth form: Crustose
Substrata: rocks
Photobiont: green algae other than Trentepohlia
Reproductive strategy: mainly sexual

Predictive model

Felix Schumm - CC BY.SA 4.0
[LIAF_54], Afghanistan, Prov. Bamyan, Band-i-Amir, nördliches Seeufer, unmittelbar beim islamischen Heiligtum, 67°10.5’ E, 34°49’ N, ca. 2900 m. Weiche junge Kalktuffe unmittelbar am Seeufer, ca 0.5-1 m über dem Seespiegel. Leg A. Dieterle (Pod 36/2), 30.05.1970. LICHENOTHECA AFGHANICA NR. 54

Felix Schumm - CC BY.SA 4.0
[LIAF_54], Afghanistan, Prov. Bamyan, Band-i-Amir, nördliches Seeufer, unmittelbar beim islamischen Heiligtum, 67°10.5’ E, 34°49’ N, ca. 2900 m. Weiche junge Kalktuffe unmittelbar am Seeufer, ca 0.5-1 m über dem Seespiegel. Leg A. Dieterle (Pod 36/2), 30.05.1970. LICHENOTHECA AFGHANICA NR. 54

Felix Schumm - CC BY.SA 4.0
[LIAF_54], Afghanistan, Prov. Bamyan, Band-i-Amir, nördliches Seeufer, unmittelbar beim islamischen Heiligtum, 67°10.5’ E, 34°49’ N, ca. 2900 m. Weiche junge Kalktuffe unmittelbar am Seeufer, ca 0.5-1 m über dem Seespiegel. Leg A. Dieterle (Pod 36/2), 30.05.1970. LICHENOTHECA AFGHANICA NR. 54

Felix Schumm - CC BY.SA 4.0
[LIAF_54], Afghanistan, Prov. Bamyan, Band-i-Amir, nördliches Seeufer, unmittelbar beim islamischen Heiligtum, 67°10.5’ E, 34°49’ N, ca. 2900 m. Weiche junge Kalktuffe unmittelbar am Seeufer, ca 0.5-1 m über dem Seespiegel. Leg A. Dieterle (Pod 36/2), 30.05.1970. LICHENOTHECA AFGHANICA NR. 54

Felix Schumm - CC BY.SA 4.0
[LIAF_54], Afghanistan, Prov. Bamyan, Band-i-Amir, nördliches Seeufer, unmittelbar beim islamischen Heiligtum, 67°10.5’ E, 34°49’ N, ca. 2900 m. Weiche junge Kalktuffe unmittelbar am Seeufer, ca 0.5-1 m über dem Seespiegel. Leg A. Dieterle (Pod 36/2), 30.05.1970. LICHENOTHECA AFGHANICA NR. 54

Felix Schumm - CC BY.SA 4.0
[LIAF_54], Afghanistan, Prov. Bamyan, Band-i-Amir, nördliches Seeufer, unmittelbar beim islamischen Heiligtum, 67°10.5’ E, 34°49’ N, ca. 2900 m. Weiche junge Kalktuffe unmittelbar am Seeufer, ca 0.5-1 m über dem Seespiegel. Leg A. Dieterle (Pod 36/2), 30.05.1970. LICHENOTHECA AFGHANICA NR. 54

Felix Schumm - CC BY.SA 4.0
[LIAF_54], Afghanistan, Prov. Bamyan, Band-i-Amir, nördliches Seeufer, unmittelbar beim islamischen Heiligtum, 67°10.5’ E, 34°49’ N, ca. 2900 m. Weiche junge Kalktuffe unmittelbar am Seeufer, ca 0.5-1 m über dem Seespiegel. Leg A. Dieterle (Pod 36/2), 30.05.1970. LICHENOTHECA AFGHANICA NR. 54

Felix Schumm - CC BY.SA 4.0
[LIAF_54], Afghanistan, Prov. Bamyan, Band-i-Amir, nördliches Seeufer, unmittelbar beim islamischen Heiligtum, 67°10.5’ E, 34°49’ N, ca. 2900 m. Weiche junge Kalktuffe unmittelbar am Seeufer, ca 0.5-1 m über dem Seespiegel. Leg A. Dieterle (Pod 36/2), 30.05.1970. LICHENOTHECA AFGHANICA NR. 54

Felix Schumm - CC BY.SA 4.0
[LIAF_54], Afghanistan, Prov. Bamyan, Band-i-Amir, nördliches Seeufer, unmittelbar beim islamischen Heiligtum, 67°10.5’ E, 34°49’ N, ca. 2900 m. Weiche junge Kalktuffe unmittelbar am Seeufer, ca 0.5-1 m über dem Seespiegel. Leg A. Dieterle (Pod 36/2), 30.05.1970. LICHENOTHECA AFGHANICA NR. 54

Felix Schumm - CC BY.SA 4.0
[LIAF_54], Afghanistan, Prov. Bamyan, Band-i-Amir, nördliches Seeufer, unmittelbar beim islamischen Heiligtum, 67°10.5’ E, 34°49’ N, ca. 2900 m. Weiche junge Kalktuffe unmittelbar am Seeufer, ca 0.5-1 m über dem Seespiegel. Leg A. Dieterle (Pod 36/2), 30.05.1970. LICHENOTHECA AFGHANICA NR. 54

Felix Schumm - CC BY.SA 4.0
[LIAF_54], Afghanistan, Prov. Bamyan, Band-i-Amir, nördliches Seeufer, unmittelbar beim islamischen Heiligtum, 67°10.5’ E, 34°49’ N, ca. 2900 m. Weiche junge Kalktuffe unmittelbar am Seeufer, ca 0.5-1 m über dem Seespiegel. Leg A. Dieterle (Pod 36/2), 30.05.1970. LICHENOTHECA AFGHANICA NR. 54

Felix Schumm - CC BY.SA 4.0
[LIAF_54], Afghanistan, Prov. Bamyan, Band-i-Amir, nördliches Seeufer, unmittelbar beim islamischen Heiligtum, 67°10.5’ E, 34°49’ N, ca. 2900 m. Weiche junge Kalktuffe unmittelbar am Seeufer, ca 0.5-1 m über dem Seespiegel. Leg A. Dieterle (Pod 36/2), 30.05.1970. LICHENOTHECA AFGHANICA NR. 54

Felix Schumm - CC BY.SA 4.0
[LIAF_54], Afghanistan, Prov. Bamyan, Band-i-Amir, nördliches Seeufer, unmittelbar beim islamischen Heiligtum, 67°10.5’ E, 34°49’ N, ca. 2900 m. Weiche junge Kalktuffe unmittelbar am Seeufer, ca 0.5-1 m über dem Seespiegel. Leg A. Dieterle (Pod 36/2), 30.05.1970. LICHENOTHECA AFGHANICA NR. 54

Felix Schumm - CC BY.SA 4.0
[LIAF_54], Afghanistan, Prov. Bamyan, Band-i-Amir, nördliches Seeufer, unmittelbar beim islamischen Heiligtum, 67°10.5’ E, 34°49’ N, ca. 2900 m. Weiche junge Kalktuffe unmittelbar am Seeufer, ca 0.5-1 m über dem Seespiegel. Leg A. Dieterle (Pod 36/2), 30.05.1970. LICHENOTHECA AFGHANICA NR. 54

Felix Schumm - CC BY.SA 4.0
[LIAF_54], Afghanistan, Prov. Bamyan, Band-i-Amir, nördliches Seeufer, unmittelbar beim islamischen Heiligtum, 67°10.5’ E, 34°49’ N, ca. 2900 m. Weiche junge Kalktuffe unmittelbar am Seeufer, ca 0.5-1 m über dem Seespiegel. Leg A. Dieterle (Pod 36/2), 30.05.1970. LICHENOTHECA AFGHANICA NR. 54

Felix Schumm - CC BY.SA 4.0
[LIAF_54], Afghanistan, Prov. Bamyan, Band-i-Amir, nördliches Seeufer, unmittelbar beim islamischen Heiligtum, 67°10.5’ E, 34°49’ N, ca. 2900 m. Weiche junge Kalktuffe unmittelbar am Seeufer, ca 0.5-1 m über dem Seespiegel. Leg A. Dieterle (Pod 36/2), 30.05.1970. LICHENOTHECA AFGHANICA NR. 54

Felix Schumm - CC BY.SA 4.0
[LIAF_54], Afghanistan, Prov. Bamyan, Band-i-Amir, nördliches Seeufer, unmittelbar beim islamischen Heiligtum, 67°10.5’ E, 34°49’ N, ca. 2900 m. Weiche junge Kalktuffe unmittelbar am Seeufer, ca 0.5-1 m über dem Seespiegel. Leg A. Dieterle (Pod 36/2), 30.05.1970. LICHENOTHECA AFGHANICA NR. 54

Felix Schumm - CC BY.SA 4.0
[LIAF_54], Afghanistan, Prov. Bamyan, Band-i-Amir, nördliches Seeufer, unmittelbar beim islamischen Heiligtum, 67°10.5’ E, 34°49’ N, ca. 2900 m. Weiche junge Kalktuffe unmittelbar am Seeufer, ca 0.5-1 m über dem Seespiegel. Leg A. Dieterle (Pod 36/2), 30.05.1970. LICHENOTHECA AFGHANICA NR. 54
