Trapelia elacista (Ach.) Orange
Lichenologist, 50: 22, 2018. Basionym: Parmelia elacista Ach. - Meth. Lich., Sectio post.: 159, 1803.
Synonyms: Biatora coarctata f. elacista (Ach.) Arnold; Lecanora elacista (Ach.) A. Massal.; Lecidea coarctata var. elacista (Ach.) Th. Fr.; Patellaria elacista (Ach.) Trevis.
Distribution: N - Ven.
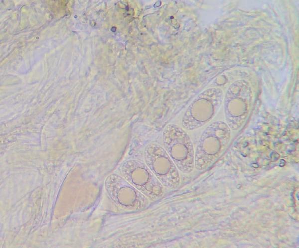
Description: Thallus crustose, episubstratic, initially continuous, then rimose, sometimes delimited by a very thin, pale prothallus, pale grey or pale pinkish grey, rarely with a faintly brownish hue, thinning to the margin, the margin at most with slightly convex and indistinct areoles, soon coalescing to form an entire or cracked crust, which may be discontinuous in less favourable habitats. Apothecia up to 0.6 mm across, often at first visible as a pale pruinose disc, with a pinkish-grey to pale or dark reddish-brown, flat to slightly convex disc and a usually white, slightly roughened or pruinose, sometimes irregularly crenulate, often finally excluded margin, some of them sometimes surrounded by a more or less circular fissure with a white-pruinose surface. Proper exciple of colourless hyphae embedded in a colourless to weakly pigmented gel; epithecium almost colourless to pale yellowish brown; hymenium colourless, 90-140 µm high; paraphyses coherent, thin, densely branched and anastomosing, not thickened at apex; hypothecium colourless to yellowish. Asci 8-spored, cylindrical-clavate, unitunicate, thin-walled, the apical dome K/I-, or weakly K/I+ blue, Trapelia-type. Ascospores 1-celled, hyaline, ellipsoid, 14-24.5 x 8-12.5 μm. Photobiont chlorococcoid. Spot tests: thallus K-, C+ red, KC+ red, P-, UV+ bluish white. Chemistry: thallus with gyrophoric acid (major) and 5-O-methylhiascic acid (trace).Note: a cryptic species, hardly distinguishable from T. coarctata without molecular analysis, growing on base-rich siliceous rocks and soil, mostly below the montane belt. For further details see Orange (2018) and Orange & al. (2021).
Growth form: Crustose
Substrata: rocks
Photobiont: green algae other than Trentepohlia
Reproductive strategy: mainly sexual
Pioneer species
Poorly known taxon in need of further study
Commonnes-rarity: (info)
Alpine belt: absent
Subalpine belt: absent
Oromediterranean belt: absent
Montane belt: extremely rare
Submediterranean belt: very rare
Padanian area: absent
Humid submediterranean belt: very rare
Humid mediterranean belt: absent
Dry mediterranean belt: absent

Predictive model

Bernard Bouffinier - Source: http://www.lichensmaritimes.org/index.php?task=fiche&lichen=1348&lang=en
France, Tregarvan

Bernard Bouffinier - Source: http://www.lichensmaritimes.org/index.php?task=fiche&lichen=1348&lang=en
France, Tregarvan

Bernard Bouffinier - Source: http://www.lichensmaritimes.org/index.php?task=fiche&lichen=1348&lang=en
France, Tregarvan

Bernard Bouffinier - Source: http://www.lichensmaritimes.org/index.php?task=fiche&lichen=1348&lang=en
France, Roscanvel

Bernard Bouffinier - Source: http://www.lichensmaritimes.org/index.php?task=fiche&lichen=1348&lang=en
France, Coadry

Bernard Bouffinier - Source: http://www.lichensmaritimes.org/index.php?task=fiche&lichen=1348&lang=en
France, Fontenay le Comte

Bernard Bouffinier - Source: http://www.lichensmaritimes.org/index.php?task=fiche&lichen=1348&lang=en
France, Fontenay le Comte

Bernard Bouffinier - Source: http://www.lichensmaritimes.org/index.php?task=fiche&lichen=1348&lang=en
France, Fontenay le Comte

Bernard Bouffinier - Source: http://www.lichensmaritimes.org/index.php?task=fiche&lichen=1348&lang=en
France, Fontenay le Comte

Bernard Bouffinier - Source: http://www.lichensmaritimes.org/index.php?task=fiche&lichen=1348&lang=en
France, Roscanvel

Bernard Bouffinier - Source: http://www.lichensmaritimes.org/index.php?task=fiche&lichen=1348&lang=en
France, Roscanvel
Growth form: Crustose
Substrata: rocks
Photobiont: green algae other than Trentepohlia
Reproductive strategy: mainly sexual
Pioneer species
Poorly known taxon in need of further study
Commonnes-rarity: (info)
Alpine belt: absent
Subalpine belt: absent
Oromediterranean belt: absent
Montane belt: extremely rare
Submediterranean belt: very rare
Padanian area: absent
Humid submediterranean belt: very rare
Humid mediterranean belt: absent
Dry mediterranean belt: absent

Predictive model
DOLICHENS