Xanthomendoza huculica (S.Y. Kondr.) Diederich
Bull. Soc. Nat. Luxemb., 115: 163, 2014. Basionym: Oxneria huculica S.Y. Kondr. - Flora Lischaĭnikiv Ukraïni (Kiev), 2, 3: 435, 2010.
Synonyms: Xanthomendoza fallax auct. non (Hepp) Søchting, Kärnefelt & S.Y. Kondr.; Xanthoria fallax auct. non (Hepp) Arnold
Distribution: N - VG (Castello 1996), Frl (Badin & Nimis 1996, Castello & Skert 2005, Tretiach & Molaro 2007), Ven (Nimis & al. 1996c, Caniglia & al. 1999, Lazzarin 2000, Nascimbene 2005c, 2008), TAA (Zieger & al. 2003, Obermayer 2003, Nascimbene 2005b, 2006c, 2014, Nascimbene & al. 2007b, 2014, 2022, Cristofolini & al. 2008, Zarabska & al. 2009, Brackel 2013, Nimis & al. 2015), Lomb (Rivellini 1994, Arosio & Rinaldi 1995, Valcuvia & Brusoni 1996, Brusoni & al. 1997, Zocchi & al. 1997, Roella 1999, Brusoni & Valcuvia 2000, Casarini & al. 2000, Arosio & al. 2000, 2003, Furlanetto 2010, Brackel 2013, Gheza & al. 2015, 2020, Gheza 2019), Piem (Caniglia & al. 1992, Piervittori & al. 1996b, Arosio & al. 1998, Piervittori 1998, 2003, Clerc & al. 1999, Isocrono & Falletti 1999, Griselli & al. 2000, 2003, Castino 2004, Isocrono & al. 2004, 2005b, 2007, Isocrono & Piervittori 2008, Furlanetto 2010, Matteucci & al. 2010), VA (Piervittori & Maffei 1996, 2001, Piervittori & Isocrono 1999, Valcuvia & al. 2000b, Piervittori & al. 2001, Matteucci & al. 2008, 2008c, Isocrono & al. 2008, Ongaro & al. 2022), Emil (Bassi 1995, Gasparo & Tretiach 1996, Marconi & al. 2006, Morselli & Regazzi 2006, Cioffi 2009, Fariselli & al. 2020), Lig (Giordani & Incerti 2008). C - Tosc, Marc (Frati & Brunialti 2006), Abr (Olivieri & al. 1997, 1997b, Loppi & al. 1999), Sar (Rizzi & al. 2011, Di Nuzzo & al. 2022).
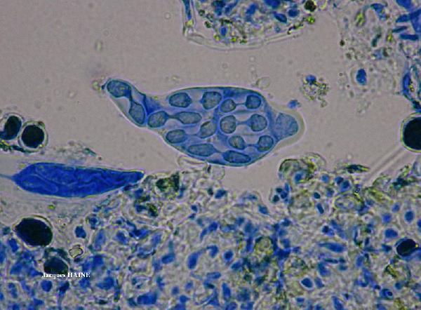
Description: Thallus foliose, heteromerous, dorsiventral, orange to orange-yellow, adnate to loosely adnate, lobed, forming regular to irregular, 1-2.5 cm wide rosettes which often coalesce to cover much larger surfaces. Lobes flattened, 2.5-5(-7) mm long, the marginal ones (0.7-)2-3(-4) mm wide, smooth, at first with helmet-shaped soralia at the apex of short, inner, appressed lobes, formed between the upper and lower cortices, soon becoming crescent-shaped to almost crater-like, the soredia yellow, contrasting with the orange thallus colour. Lower surface white to yellow, somewhat wrinkled, with many short, white rhizines. Upper and lower cortex paraplectenchymatous; medulla white. Apothecia lecanorine, very rare, 0.5-0.7 mm across, laminal, stipitate, the margin initially smooth but often becoming sorediate. Thalline exciple paraplectenchymatous; proper exciple a strongly gelatinized plectenchyma with unoriented, short-celled hyphae; epithecium orange-brown, K+ purple-red; hymenium colourless; paraphyses simple or sparingly branched; hypothecium colourless. Asci 8-spored, clavate, functionally unitunicate, apically thickened with a broad internal beak, the inner part of apex and external cap I+ blue, Teloschistes-type. Ascospores 2-celled, polarilocular, hyaline, ellipsoid, (10.5-)12-16 x 5-6 µm, the equatorial thickening (“septum”) 3-5(-6) µm. Pycnidia common, immersed to projecting, darker orange than thallus. Conidia short-bacilliform, 3.5-4.2 x 0.9-1 µm. Spot tests: thallus and soredia K+ purple-red, C-, KC-, P-, UV+ orange. Chemistry: parietin (major), fallacinal (major), emodin, teloschistin (major) and parietinic acid (chemosyndrome A3 of Søchting 1997).Note: a recently-described epiphytic species differing from X. fallax in the much larger lobes with numerous rhizines, in the narrower spores with shorter septum, and in the ecology (epiphytic versus mainly saxicolous). From a preliminary analysis of the epiphytic samples filed under X. fallax in TSB, most of them appear to belong to X. huculica. Thus, I have placed here all records of epiphytic X. fallax from Italy. The species seems to be most frequent in areas with a subcontinental climate (dry alpine valleys and eastern side of the Peninsula). Earlier records from Southern Italy (see Nimis 1995, 2016) may be due to confusion with X. fulva, and are not accepted here.
Growth form: Foliose, narrow lobed
Substrata: bark
Photobiont: green algae other than Trentepohlia
Reproductive strategy: mainly asexual, by soredia, or soredia-like structures (e.g. blastidia)
Subcontinental: restricted to areas with a dry-subcontinental climate (e.g. dry Alpine valleys, parts of Mediterranean Italy)
Commonnes-rarity: (info)
Alpine belt: absent
Subalpine belt: absent
Oromediterranean belt: absent
Montane belt: rare
Submediterranean belt: very rare
Padanian area: extremely rare
Humid submediterranean belt: very rare
Humid mediterranean belt: absent
Dry mediterranean belt: absent

Predictive model
Herbarium samples

Bernard Bouffinier - Source: http://www.lichensmaritimes.org/index.php?task=fiche&lichen=1035&lang=en
France, Pyrénées-Orientales 1400 m

Bernard Bouffinier - Source: http://www.lichensmaritimes.org/index.php?task=fiche&lichen=1035&lang=en
France, Pyrénées-Orientales 1400 m


Andrea Moro; Owner: Department of Life Sciences, University of Trieste
Slovenia, Lipica/Lipizza; altitude: 2
2008.02.21

Bernard Bouffinier - Source: http://www.lichensmaritimes.org/index.php?task=fiche&lichen=1035&lang=en
France, Pyrénées-Orientales 1400 m


Andrea Moro; Owner: Department of Life Sciences, University of Trieste
Slovenia, Lipica/Lipizza; altitude: 2
2008.02.21

Bernard Bouffinier - Source: http://www.lichensmaritimes.org/index.php?task=fiche&lichen=1035&lang=en
France, Saillagouse, Pyrénées-Orientales 1400 m


Andrea Moro; Owner: Department of Life Sciences, University of Trieste
Slovenia, Lipica/Lipizza; altitude: 2
2008.02.21

Bernard Bouffinier - Source: http://www.lichensmaritimes.org/index.php?task=fiche&lichen=1035&lang=en
France, Saillagouse, Pyrénées-Orientales 1400 m


Juri Nascimbene; Owner: Department of Life Sciences, University of Trieste
Italy, Trentino-Alto Adige, Trento, Villa Welsperg, Centro Visitatori del Parco di Paneveggio; altitude: 1030 m
03.04.2009

Jacques Haine - Source: http://www.lichensmaritimes.org/index.php?task=fiche&lichen=1035&lang=en
France, Drôme Provençale, Remuzat


Juri Nascimbene; Owner: Department of Life Sciences, University of Trieste
Italy, Trentino-Alto Adige, Trento, Villa Welsperg, Centro Visitatori del Parco di Paneveggio; altitude: 1030 m
03.04.2009

Jacques Haine - Source: http://www.lichensmaritimes.org/index.php?task=fiche&lichen=1035&lang=en
France, Drôme Provençale, Remuzat

Jacques Haine - Source: http://www.lichensmaritimes.org/index.php?task=fiche&lichen=1035&lang=en
France, Drôme Provençale, Remuzat


P.L. Nimis; Owner: Department of Life Sciences, University of Trieste
Italy, Friuli Venezia Giulia, Trieste, Trieste Karst, Rocca di Monrupino (Rupingrande)
07.07.2016

Jacques Haine - Source: http://www.lichensmaritimes.org/index.php?task=fiche&lichen=1035&lang=en
France, Drôme Provençale, Remuzat


P.L. Nimis; Owner: Department of Life Sciences, University of Trieste
Italy, Friuli Venezia Giulia, Trieste, Trieste Karst, Rocca di Monrupino (Rupingrande)
07.07.2016

Jacques Haine - Source: http://www.lichensmaritimes.org/index.php?task=fiche&lichen=1035&lang=en
France, Drôme Provençale, Remuzat


P.L. Nimis; Owner: Department of Life Sciences, University of Trieste
Italy, Friuli Venezia Giulia, Udine, Ampezzo Carnico, 650 m
09.09.2016

Jacques Haine - Source: http://www.lichensmaritimes.org/index.php?task=fiche&lichen=1035&lang=en
France, Drôme Provençale, Remuzat


P.L. Nimis; Owner: Department of Life Sciences, University of Trieste
Italy, Friuli Venezia Giulia, Udine, Ampezzo Carnico, 650 m
09.09.2016

Jacques Haine - Source: http://www.lichensmaritimes.org/index.php?task=fiche&lichen=1035&lang=en
France, Drôme Provençale, Remuzat

Jacques Haine - Source: http://www.lichensmaritimes.org/index.php?task=fiche&lichen=1035&lang=en
France, Drôme Provençale, Remuzat

Jacques Haine - Source: http://www.lichensmaritimes.org/index.php?task=fiche&lichen=1035&lang=en
France, Drôme Provençale, Remuzat

Jacques Haine - Source: http://www.lichensmaritimes.org/index.php?task=fiche&lichen=1035&lang=en
France, Drôme Provençale, Remuzat

Walter Obermayer CC BY-SA 4.0 - Source: Lichens of Noricum - http://lichens-of-noricum.uni-graz.at/
as X. huculica

Ulrich Kirschbaum CC BY-SA 4.0 – Source: https://www.thm.de/lse/ulrich-kirschbaum/flechtenbilder
Central Europe; Germany: Bavaria. Collected by M. Henze.

Walter Obermayer CC BY-SA 4.0 - Source: Lichens of Noricum - http://lichens-of-noricum.uni-graz.at/
as X. huculica

Ulrich Kirschbaum CC BY-SA 4.0 – Source: https://www.thm.de/lse/ulrich-kirschbaum/flechtenbilder
Central Europe; Germany: Bavaria. Collected by M. Henze.
Growth form: Foliose, narrow lobed
Substrata: bark
Photobiont: green algae other than Trentepohlia
Reproductive strategy: mainly asexual, by soredia, or soredia-like structures (e.g. blastidia)
Subcontinental: restricted to areas with a dry-subcontinental climate (e.g. dry Alpine valleys, parts of Mediterranean Italy)
Commonnes-rarity: (info)
Alpine belt: absent
Subalpine belt: absent
Oromediterranean belt: absent
Montane belt: rare
Submediterranean belt: very rare
Padanian area: extremely rare
Humid submediterranean belt: very rare
Humid mediterranean belt: absent
Dry mediterranean belt: absent

Predictive model
| Herbarium samples |
Bernard Bouffinier - Source: http://www.lichensmaritimes.org/index.php?task=fiche&lichen=1035&lang=en
France, Pyrénées-Orientales 1400 m
Bernard Bouffinier - Source: http://www.lichensmaritimes.org/index.php?task=fiche&lichen=1035&lang=en
France, Pyrénées-Orientales 1400 m

Andrea Moro; Owner: Department of Life Sciences, University of Trieste
Slovenia, Lipica/Lipizza; altitude: 2
2008.02.21
Bernard Bouffinier - Source: http://www.lichensmaritimes.org/index.php?task=fiche&lichen=1035&lang=en
France, Pyrénées-Orientales 1400 m

Andrea Moro; Owner: Department of Life Sciences, University of Trieste
Slovenia, Lipica/Lipizza; altitude: 2
2008.02.21
Bernard Bouffinier - Source: http://www.lichensmaritimes.org/index.php?task=fiche&lichen=1035&lang=en
France, Saillagouse, Pyrénées-Orientales 1400 m

Andrea Moro; Owner: Department of Life Sciences, University of Trieste
Slovenia, Lipica/Lipizza; altitude: 2
2008.02.21
Bernard Bouffinier - Source: http://www.lichensmaritimes.org/index.php?task=fiche&lichen=1035&lang=en
France, Saillagouse, Pyrénées-Orientales 1400 m

Juri Nascimbene; Owner: Department of Life Sciences, University of Trieste
Italy, Trentino-Alto Adige, Trento, Villa Welsperg, Centro Visitatori del Parco di Paneveggio; altitude: 1030 m
03.04.2009
Jacques Haine - Source: http://www.lichensmaritimes.org/index.php?task=fiche&lichen=1035&lang=en
France, Drôme Provençale, Remuzat

Juri Nascimbene; Owner: Department of Life Sciences, University of Trieste
Italy, Trentino-Alto Adige, Trento, Villa Welsperg, Centro Visitatori del Parco di Paneveggio; altitude: 1030 m
03.04.2009
Jacques Haine - Source: http://www.lichensmaritimes.org/index.php?task=fiche&lichen=1035&lang=en
France, Drôme Provençale, Remuzat
Jacques Haine - Source: http://www.lichensmaritimes.org/index.php?task=fiche&lichen=1035&lang=en
France, Drôme Provençale, Remuzat

P.L. Nimis; Owner: Department of Life Sciences, University of Trieste
Italy, Friuli Venezia Giulia, Trieste, Trieste Karst, Rocca di Monrupino (Rupingrande)
07.07.2016
Jacques Haine - Source: http://www.lichensmaritimes.org/index.php?task=fiche&lichen=1035&lang=en
France, Drôme Provençale, Remuzat

P.L. Nimis; Owner: Department of Life Sciences, University of Trieste
Italy, Friuli Venezia Giulia, Trieste, Trieste Karst, Rocca di Monrupino (Rupingrande)
07.07.2016
Jacques Haine - Source: http://www.lichensmaritimes.org/index.php?task=fiche&lichen=1035&lang=en
France, Drôme Provençale, Remuzat

P.L. Nimis; Owner: Department of Life Sciences, University of Trieste
Italy, Friuli Venezia Giulia, Udine, Ampezzo Carnico, 650 m
09.09.2016
Jacques Haine - Source: http://www.lichensmaritimes.org/index.php?task=fiche&lichen=1035&lang=en
France, Drôme Provençale, Remuzat

DOLICHENS